不少家长认为,孩子有蛀牙了,只是一个小黑点,不补也没事儿,等换恒牙就好了。然而,事实真的是如此吗?
雅悦齿科用图片来告诉你答案——乳牙蛀牙的小黑点没有及时补,会带来什么严重后果。
乳牙不补,会引发更严重的牙齿问题
一颗健康的牙齿是如何进展成蛀牙,继而变为严重蛀牙的?
健康的牙齿

然而并没有好好地护理
乳牙蛀了,刚开始是这样的。
这只是牙齿小部分变黑,
孩子可能也感觉不到疼。
家长觉得无所谓,不需要补。
↓

隔壁的大妈也说了,乳牙要换的,不用补。
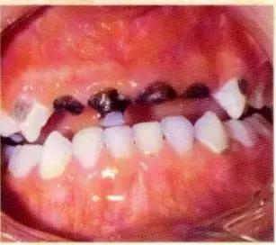
然后就变成这样了。
↓

别质疑一小点蛀牙到一大片蛀牙的发展,
牙齿又不是荷花,
怎么能做到出淤泥而不染呢?
传染是分分钟的事情。
还会这样
↓

↓
家长开始着急,
然而村口摆地摊“100块种牙”的老大爷又说了,
“这算事儿吗?换牙就好了!”
于是,牙齿就变成这样了。
↓

你以为这是结束吗?!

还有一张更震惊的
来自一位5岁孩子的口腔图
这只是噩梦的开始。
这样的牙齿还会引发更严重的牙齿问题。
↓

蛀牙细菌感染扩散成间隙感染,
整个上唇部,面部肿起来。
甚至会影响生命。
乳牙蛀牙不补,会让下方的恒牙“躺着中枪”
确实,乳牙反正是要换,
但是得知道乳牙和恒牙是那么那么的接近



乳牙蛀牙不补,孩子不敢用坏牙吃饭,长久形成偏侧咀嚼
偏侧咀嚼有问题吗?
你喜欢两侧一起来,效率
我喜欢一侧慢慢咬,品味
可是,偏侧咀嚼的后果
除了下巴骨不适、一侧牙齿磨损严重等问题外,
最糟糕的是,脸型可能变这样了

在这个颜值相当重要的社会,
别让牙齿有机会破坏孩子的美。

乳牙蛀牙不补,会影响美观和发音
牙齿好的孩子是这样笑的。

如果孩子的牙齿是这样的

只能“笑不露齿”了吧?
对小朋友的自信心也是重重的打击。
所以,一旦发现孩子有蛀牙,就尽快补吧。不然拖到最后,付出的代价会更大。
还有人唠叨你孩子蛀牙可以放任不管?
正好这篇文章给你撑腰,让你怼回去!
如果觉得这篇文章不错,就请收藏或分享给好友吧。添加雅悦齿科为好友,学习更多爱牙护齿科学方法。公众号:yyck2001