活泼可爱的可卡犬旺达天生有腿部残疾,最近它得到了一台定制轮椅,自己行走终于不再是遥不可及的梦。
10个月大的旺达出生的时候,前腿和前爪几乎完全错位,独立行走对它而言无比艰难。
它曾接受了一场两个半小时的手术,然而手术后不到几周时间,它被固定的前肢又开始弯曲。
兽医建议让旺达安乐死,可志愿者Kerri Eilersten-Feeney和Eileen Mellis拒绝了这个建议,并筹集资金为旺达量身定制了一台轮椅。

旺达出生的时候,前肢几乎是完全弯曲的。

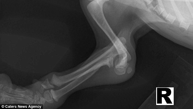
X光显示旺达腿部骨头完全错位。

旺达现在拥有一台定制轮椅,外出漫步不再是遥不可及的梦。
精彩推荐

实施质量品牌战略定西市拉长土豆产业链 连你穿的衣服都可能有土豆元素在其中(组图)

男子兰山滑坠遇不幸蓝天救援队夜间施救

兰州永登葡萄沟“一月红提”长势喜人

“探源渭水八百里,寻根文明八千年”——甘肃渭源山水相约(组图)

兰州:小朋友给一线工作人员送粥(图)

甘AKY522车主快来!你的车被砸了

网格员、环卫工、公交司机:你们都是“兰州蓝”的守护者(图)

中非珍稀面具艺术展在甘肃省博开展(图)