精品推荐
详细解读思路
01
患者信息及影像
男性,3岁。头部包块进行性增大5个月余。

02
影像学表现
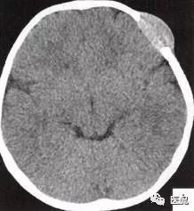
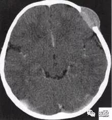
颅脑CT示:图A〜D,CT平扫示左侧额骨、蝶骨见溶骨性骨质缺损,边界清晰,周围无硬化边,伴有软组织肿块向脑外生长,边缘光滑,脑内无明显侵犯;
图E、F,横、 矢状位CT增强示软组织肿块轻度均匀强化,两病灶间亦见强化软组织影;
图G,矢状位骨窗示骨质破坏,边缘光整,无硬化边;
图H,为颅骨容积重建,提示类圆形骨质缺损,边缘光滑、整齐。
03
手术病理及最后的诊断
左侧额骨、蝶骨溶骨性骨质破坏,考虑肿瘤样病变,以组织细胞增生症-嗜酸 性肉芽肿可能性大。
04
诊断思路
1.有无病变:病变明确。
2.定位诊断:额骨、蝶骨均可见局限性骨质破坏,穿破颅骨内外板,见软组织肿块突向脑外;肿块与硬脑膜界限清楚,脑实质无侵犯;应考虑颅骨来源,向颅外侵犯。
3. 定性诊断:
①男性儿童;
②颅骨多处溶骨性破坏,穿透颅骨内外板;
③骨破坏无 硬化边,边缘光整,无膨胀;
④软组织肿块形态规则,边缘光滑;⑤脑膜及脑组织无侵犯, 表现为推压或移位。后三点均支持为良性肿块,结合年龄、实验室检查等,诊断不难。本例经病理(图I)证实为:嗜酸性肉芽肿。
4. 鉴别诊断:颅骨嗜酸性肉芽肿需与以下疾病鉴别:
①骨髓瘤:多见于40岁以上, 表现为颅骨弥漫性分布、边缘清楚的溶骨性破坏,无骨膜反应,常见软组织肿块,尿检本-周氏蛋白常呈阳性;
②血管瘤:以中老年患者多见,表现为颅骨板障膨胀,内外板破坏,边缘轻度硬化,有时见自中心向四周放射状排列的骨间隔;
③转移瘤表现为颅骨多发或单发的骨质破坏,边界不清,病灶内无残留小骨片;
④骨纤维异常增殖症:病变范围较广泛,呈轻度膨胀性生长,骨密度常不均匀,可见粗大条纹或钙化骨化影或呈磨玻璃密度,常伴骨骼畸形。
05
特征表现
朗格汉细胞组织细胞增生症(Lundgren han cell tissue hyperplasia),过去称组织细胞增生症,是一组原因不明的疾病。
分为嗜酸细胞肉芽肿、韩-薛-柯氏病(Hand-Schuller-Christian disease,HSC)和勒-雪氏病(Letter-Siwedisease,LS),好发于儿童,全身骨骼均可发病,造血功能旺盛的骨骼最容易受累,颅骨为著,又以额、顶骨多见。
骨朗格汉细胞组织细胞增生症基本病变以骨质破坏、组织细胞增生和嗜酸粒细胞浸 润为主。病理表现主要为肉芽肿从髓腔生长,压迫和破坏骨皮质,并可侵入软组织形成局部软组织肿块。实验室检查可有嗜酸性粒细胞增多,红细胞沉降率加快。早期或活动性肉芽肿表现为大小不等的圆形、类圆形或不规则溶骨性破坏,边界清楚,边缘无硬化;在病变修复时周边可有不同程度硬化。后期破坏区可出现小片致密骨质,呈典型“钮扣征”,为病灶修复的征象。CT显示骨质受侵犯的范围、边界、病灶内死骨、软组织肿块有较大价值;MRI对病灶范围、病灶内脂肪成分、软组织肿块改变以及病灶与硬脑膜、眼球等邻近结构关系的显示优于CT。