一说起德国这个严谨认真的民族
最让人印象深刻的
就是他们独具匠心的产品
不仅仅是品质好
更包含最先进的创新技术
例如德国人生产的锅具
除了买一口能用一辈子
锅子的锅盖还会比普通的锅
多精心设计出一些奇特花纹
这些花纹的目的在于锅盖盖上后
能让水蒸气上下自然循环
使得锅子不易烧干

要做到品质技术世界第一
时间和精力的巨大付出是必不可少的
因此德国人的加班时间在欧盟是排第一位的
德国人的每周实际工作时间为50.5小时
大大超出劳动法规定的37.7小时
现任欧盟社会事务专员安道尔(Andor)表示
在欧盟成员国中
还没有哪个国家民众的加班时间超过德国人

然而同样是
熬夜加班
神奇的德国人
却能做到每晚只睡四、五个小时
第二天仍然能够
精力充沛的展开新一天的工作
长时间“面对电脑、看手机、驾驶”
但几乎没有人患颈椎病、腰椎病

不是他们的颈、腰椎异于常人
或者是比别人多了“少睡”基因
这其中的秘密其实是
他们有白天小憩的习惯
德国劳动时间法第四条明确规定了
员工们的休息时间

且他们在小憩时
都会用到一种特制的“驼峰枕”
又名“SIGNEWKA 3D随行充气枕”
可以帮助
快速恢复精力、杜绝久坐引起的疾病

这件德国人发明的神器
延续了他们对产品品质和工艺
极致的追求
为了让
“颈椎、腰椎压力”获得最大程度的释放
“坐着睡觉”比躺着睡觉更舒服
由德国致力于
提供专业颈部支撑的团队
花了近1年的时间研究脖子的解剖学
从驼峰汲取灵感
再根据人体工学不断改进设计与工艺
才最终确定了“3D双驼峰 ”的造型

相比传统U型枕只支撑脖子
增加了厚实“双峰”的
“SIGNEWKA 3D随行充气枕”
多出了更 多的支撑点
仰睡时
头部、左右侧的颈部
都能获得稳固的支撑
无论是支撑的力度还是角度
至少是传统u型枕的三倍以上

现代人由于工作繁忙、压力大
普遍都特别容易疲惫
前一天没有休息好
若中午不及时午休,基本下午是崩溃的
且一整天坐下来,铁定是
脖子酸痛到僵硬
头痛到要炸裂

还有长时间驾驶的司机
都会有的感受
开车开久了
特别容易犯困
颈椎、腰背酸疼难忍

为了接下来能
高效率工作、学习和安全驾驶
备上一个
“SIGNEWKA 3D随行充气枕”
小小的休息15-30分钟是非常必要的
在脖子靠上枕头的瞬间
会感觉像平躺在床上一样放松舒服
酸疼感立马就消失了
在枕头全方位的支撑下
可释放脖子98%的压力

长途旅行、出差
有多少人和小编一样
一坐上车就特别犯困
然而
在我们不知不觉
开启“打盹”模式后
我们悬空的脑袋
会因为 肌肉放松而容易左倾右斜

头部直立和头部倾斜时
带给颈椎的压力是不一样的
头部倾斜时
颈椎需要承受额外的重量
与脖子的肌肉也会产生拉力
当头部倾斜45°的时候
颈椎承受的重量约 为22公斤
相当于脖子上挂了两个大西瓜
此时肌肉被拉扯过度
极其容易造成损伤甚至撕裂

而u型枕就像是安全带一样
保护我们的脖子在“打盹”时
避免受到伤害
遗憾的是
市面上太多质量一般的U型枕
由于填充物太过于柔软
亦或是枕头的支撑条太窄
等各种问题
导致了其的承重/承压的能力非常弱

为了固定住颈椎挺直不易歪曲
更好的托住头部
承受其的重量
避免脖子周围肌肉被拉伤
“SIGNEWKA 3D随行充气枕”
辅助的两侧端
加高加宽了支撑条

贴合颈部和脸颊
使的受力更均匀
分散了肩颈的压力
让颈椎不会因过度偏向而酸痛或者拉伤
肩背也不会一直僵硬紧绷

360°环绕防偏移全面托扶分区设计
有效的限制颈部的活动空间
即使在颠簸的路上小憩
头部也不会随意偏离
能起到一个很好的减速、缓冲的作用
避免颈椎一不谨慎就受伤

仰睡保持颈部「自然生理弯曲」
告别落枕,防治颈椎疾病
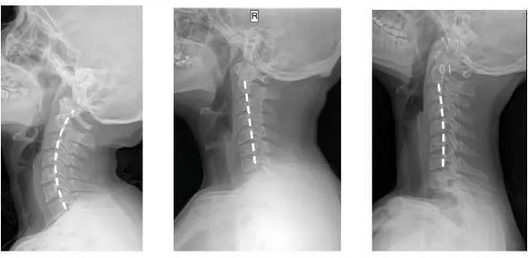
在中国,1.5亿人患有颈椎病
而90%的颈椎问题
都是因为
维持一个不正确的姿势时间太长引起的

人正常的颈椎是有弧度的
大约是前凸30-45°
但随着颈椎长时间承受着巨大压力
过于劳累状态
于是弧度就
逐渐退化 变直 甚至反弓

第一张为正常生理曲度,第二张曲度变直,第三张是反向弯曲
前凸的颈椎曲度被改变
结果就是引发椎间盘突出
造成对血管和神经的压迫
肩膀和脖子容易酸痛僵硬
这已是颈椎病的初期症状

长期处于绷紧状态的橡皮筋
有一天会被绷断
我们的颈椎也是如此
每天适当的给脖子放松减压很重要
最简单有效的预防措施
就是使用SIGNEWKA 3D随行充气枕
做颈部的“曲线牵引”
使颈部得到支撑
从而恢复颈部的正常生理弯曲
修复劳损点
让脖子感到舒适,预防缓解颈椎疾病

趴睡解放「手臂、眼睛、颈椎」
杜绝各种午睡小憩后遗症
很多学生*党**们由于场地和条件的原因
午休只能趴着睡
↓↓↓
手臂发麻、头晕眼花、胃部胀气、流口水……
一觉醒来不是神清气爽
而是明显感觉到脖子疼痛、僵硬、酸胀
像落枕一样的不适

新闻还曾经报道过:哈尔滨的张女士,因为长期枕着手臂睡觉,导致她左手桡神经受损,手臂抬不起来,动都不能都,经诊断,需要手术治疗!

长期手臂当枕头的危害
真不是危言耸听
SIGNEWKA 3D随行充气枕
对趴睡一样靠谱
解放手臂,将头埋进枕头中
可以明显感受到受力的变化
避免了脖子过度前倾压迫颈椎

枕头的高度有力的支撑起了颈椎和肩膀
释放了所有压力
完美解决了趴着午睡困境:
✔1.不压手!手臂再也不酸麻
✔2.不压眼睛!不担心影响视力
✔3.承托肩颈!保护脊椎

枕头的中空设置让空气流通
趴着也不怕闷到窒息

不同于普通U型枕
除了午睡时候使用
其他时候都显得累赘+多余
一物多用的
SIGNEWKA 3D随行充气枕
还是3合1的颈枕+趴枕+腰枕
既可以为脖子减压又能帮腰背减压

中午小憩结束之后
工作、驾驶时可将“随行枕”当作靠垫
腰椎压力能从一般椅子的130%
降到75%左右,有效分散身体55%的压力
有它舒舒服服的“撑腰”
纠正各种坐姿不正
远离腰酸背痛、腰椎疾病

实心填充类U型枕pk
SIGNEWKA 3D随行充气枕
可以说充气枕是完胜的
轻便的充气枕
不会给肩膀造成二次压力
其次填充类的枕头回弹性是非常慢的
而采用了PVC内胆的SIGNEWKA

其高抗压、高弹力的特点
让充气枕充满弹力的同时又不失柔软
且无论怎么靠,永远不会变形
靠的再久也不会累
越靠越舒服,越轻松

经过数次*力暴**测试
可承受住汽车的重压
产生漏气、爆炸情况为0次
好品质眼见为实

耐高温也耐寒、无毒无异味

作为一个有科技含量的枕头
SIGNEWKA 3D随行充气枕
并不需要老旧的嘴吹式充气
每用一次就考验一次肺活量
而且吹嘴处很容易滋生细菌
真的是又费劲又不干净
![]()
它的枕身上
自带了专利按压充气装置

这个独家气阀专利
让目前为止
SIGNEWKA 3D随行充气枕
是同类充气枕中
充气速度最快的
只需要不到20s的时间
就可以使内胆有足够的支撑力

每次使用时
只需轻轻按压枕身上的
按压充气设置
就可以快速充气

不需要使用时
只需轻轻一戳即可1秒排气

你见过自带收纳袋的
U型枕么?
↓↓↓

出门在外
实用的东西一定是方便携带的
SIGNEWKA 3D随行充气枕
放气之后
可将其轻轻卷起来
塞入自带收纳袋中

折叠收纳之后
大概只有一台苹果手机的大小
至少可以节省60%的空间
无论放在哪里都不占地
旅行达人、出差狂魔的福音
有木有~

无甲醛、无异味、无芳香致癌物
很多抱枕、颈枕
为降低成本
常用劣质化纤做面料,甲醛含量超标
闻上去浓浓的刺鼻的味道

“SIGNEWKA 3D随行充气枕”
不追求价格最低
只想把品质做到最好
因此外层的面料
采用的是给婴儿做衣服的
7.0升级版的水晶绒

细腻软糯
脸贴上去不刺不扎
亲肤,不脱毛,不掉色
用久了毛职依然垂顺

U型枕经常会接触到很多地方
难免会沾染细菌
“随行枕”因此做了两层过滤设置
更好的过滤掉毛絮粉尘等颗粒物
真正做到防菌、防尘蹒、防霉、抗敏
水晶绒外套外置有隐形拉链
脏了可进行拆卸清洗
手洗、机洗都OK
轻松解决卫生问题

无论是旅途还是午休
解决了无数客户
腰酸背痛问题的好帮手
↓↓↓

为大伙准备了三色可选
灰色、蓝色、藏青色
都是男女老少百搭色,还灰常耐脏
选择困难症的话
颜色一样一个我们也没有意见

累了就该
好好打个盹、补补觉
毕竟睡醒了才能元气满满
精神一整天呀~

3D随行充气枕
限时优惠
原价:¥149/个
特惠价 :¥99/个
特价包邮
▼
点击阅读原文,亦可购买!