撰文|周磊 窦媛媛
一个关于“舌癌”的帖子,猛然间在微博和朋友圈里刷了屏。
帖子来源是《重庆晨报》前天刊发的一篇新闻,标题叫《男子吃蚕豆划伤舌头 2个月后恶化成舌癌》。两个月前,一位34岁的杨先生吃蚕豆时被蚕豆壳划伤了舌头中后部位,随后伤处结了一个小硬疖。两个月中,这个小硬疖不断长大,到后来已经明显影响进食、说话和吞咽。杨先生到医院检查,被确诊为“舌鳞状细胞癌”,即人们经常说的“舌癌”。

舌癌的发病与很多因素有关;并不是说划破了舌头不去治,就一定会恶化癌变,因此这个新闻标题实在不够严谨,也难怪很多网友会评论“这黑锅蚕豆不背”。也有人说,这种“标题*党**”的处理方式暴露了媒体和记者对医学的无知。


不过,作为每天要和肿瘤、癌症打交道的人,作为一个费尽心力想将更多医学知识科普出去的人,我倒是觉得:能引起读者关注,至少让人愿意打开文章了解一下“舌癌”是什么,如何防治,这标题也算功过相抵了。
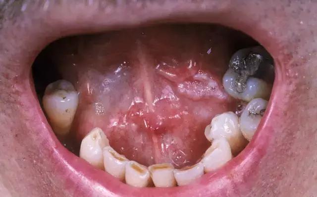
舌癌
舌癌是口腔颌面部恶性肿瘤中最常见的一种,恶性程度高,容易发生淋巴结转移,预后比较差,复发率高。流行病学显示,舌癌在我国口腔颌面部恶性肿瘤中的发病率为32.3%。
在临床上,很多患者是因为自觉“口腔溃疡”迁延不愈,疼痛难忍,才决定去医院检查,最终被确诊为舌癌。一般来讲,口腔溃疡发病比较短,10天左右即可治愈;因此如果舌缘、舌尖、舌背或者舌腹处的溃疡经过治疗,超过两周仍然无法愈合,就要提防癌变风险,需要进行病理检查。
舌癌癌前病变的表现有三种症状:白斑、红斑和扁平苔藓。如果发现口腔里长期有这样的症状表现,就要引起警惕。通常来讲,舌癌以老年人为高发群体,男性多于女性;但近年来,舌癌的年轻化趋势也很明显,二三十岁的患者不乏其人。

出现黏膜白斑,需要立即引起警惕
习惯
虽然包括舌癌在内的口腔癌病因不明,但从临床经验看,那些口腔卫生较差,牙齿修复不当的人群是患癌主体。磨损的假牙、锋利的牙齿残冠会刺激和磨损口腔黏膜和舌体舌根,容易导致溃疡恶变。特别需要警惕的是,抽烟喝酒的习惯都与舌癌的发病率正相关,每天抽40支烟的人,患舌癌几率是不吸烟人群的12.4倍。
此外,人的口腔、咽喉、舌头和食道等部位的黏膜受饮食习惯的影响很大,因此舌癌患者年轻化的趋势也可能与某些不良生活方式有关,例如过量食用咸、烫、腌制或辛辣刺激食品,长期熬夜等等。

所以,当你酣畅淋漓地趁热大吃麻辣火锅,或者不顾嘴里被烫起皮儿的刺激喝下一大碗热汤,又或是就着烈酒“暴搓”了一顿变态辣烤串的时候,都会对口腔甚至整个消化道黏膜造成强烈的刺激,加速黏膜细胞的分裂与更替,也增加了这些部位出现癌变的风险。
治疗
有人问:得了舌癌,是不是要做手术,把整条舌头都切除?那不就吃不了饭,说不了话了吗?
很遗憾地说:很大一部分情况下,的确是这样。
首先,任何一种癌症治疗方案的确定,都需要综合患者的诉求、年龄、身体状况、病变的部位和大小、临床分期和病理分级等因素来考虑。

显微镜下的鳞状细胞癌(病理染色切片图)
由于舌癌有着相对较高的转移率,因此手术治疗的创伤通常较大:除扩大切除病灶之外,临近部位也常需要清扫,包括颌骨、口底和颈部淋巴等。除了少数早期小范围肿瘤选择单纯手术切除,多数舌癌的治疗是综合性的,需要手术结合放化疗、免疫治疗和生物治疗等等;对于已经进入中晚期,发生远处转移,或因各种原因已经失去手术时机的舌癌,临床以姑息治疗为主,力求改善患者生存质量,延长生命。



舌癌的经口楔形切除术

下颌骨分段切除术

下颌骨切除术

口腔癌手术路径图
康复
舌是参与发音、咀嚼和进食的主要器官,舌癌扩大切除时,一般会损伤这些功能,给患者带来巨大的痛苦。颌骨切除的患者,面孔外观也会发生塌陷。因此,在手术中的修复和手术后的舌功能康复训练、口腔护理和营养支持都是非常重要的。可以说,要对抗舌癌这种“凶险恶症”,需要患者和医护人员都付出很大的耐心和勇气。
令人欣慰的是,随着3D打印技术的发展,其应用使外科手术向数字化和精确化发展。2012年,比利时一所大学的生物医学研究所采用3D打印技术,为一位83岁患者制作了一副钛合金的下颌骨,患者术后一天就恢复了语言和吞咽功能。对于颌面部肿瘤、外伤等造成的骨缺损,3D打印技术的应用能帮助恢复正常解剖形态,维持良好的咬合关系和语言功能,对提高生活质量意义重大。

2014年,我国一例钛合金3D打印下颌骨植入手术成功实施。上面这张图为3D打印的下颌骨修复体模型。
预防
保持良好的口腔卫生习惯,例如饭后漱口、认真刷牙等等,是预防所有口腔疾病的重要条件。此外,戒除抽烟、喝酒和嚼摈榔的不良习惯,少进食过烫、过咸的食物等也很重要。
正常的、位置固定的牙套和假牙不会引发舌癌,但是对于口腔黏膜和牙根形成刺激和磨损的牙科不良修复体,或是牙齿的残根、锋利的牙尖等,都应该尽早到专业的口腔医院妥善处理,避免成为口腔溃疡甚至恶变的致病因素。

各种口腔问题引发的黏膜刺激和磨损,应尽早妥善处理
如果感觉口腔中某种不适感持续存在甚至逐渐加重——例如唾液分泌不正常地增加,或是咀嚼、吞咽时有疼痛或异物感,说话时感觉舌头运动功能受限,或是口腔环境的外观出现明显变化例如白斑、红斑、糜烂、隆起或者肉芽等,都要引起警惕,及时到医院检查。
后记
关于舌癌的新闻在朋友圈刷屏,看看日历想起了另一件事情:再过5天就是作家陈忠实死一周年的纪念日;夺走他生命的正是舌癌。

很多纪念陈忠实的文章里都会引用这张图。殊不知,吸烟也是引发舌癌的危险因素之一。
2015年春节前后,陈忠实感觉口腔很不舒服,溃疡一直不好,导致进食障碍,吃了很多药都不见效。当年4月下旬,他被确诊为舌癌,却因为病灶在舌根部且错过了最佳时机无法手术,只能保守治疗。在治疗期间,陈忠实的病情曾经出现过好转,但毕竟癌症来势汹汹,医学手段已经无力回天。
2016年4月29日早上7点45分,在与病魔抗争了近一年之后,这位曾以一部《白鹿原》登顶文坛高峰的巨匠溘然长逝,享年73岁:“一个民族最伟大的书记员走了。”
——这是作家陈彦去年5月1日发表在《华商报》上的,对陈忠实生命里最后三天的记述。

今天写这篇关于舌癌的文章,既是为了对传播甚广的新闻消息“去伪存真”,也是为了纪念这位一年前离开的作家老人。
病魔面前,人人平等。
健康地活着,才有能力谈论生命的意义。
参考资料:
[1]黄晓斌,杨宏宇,徐志英,杨辉俊. 68例舌癌的治疗与预后分析[J]. 海南医学,2011,(10):116-117.
[2]颜彦,周海静,聂红兵. 舌癌患者预后的影响因素研究现状[J]. *警武**医学院学报,2012,(01):74-76.
[3]李力. 舌癌幸存者味觉功能障碍的调查研究[A]. 中国抗癌协会、中华医学会肿瘤学分会.第八届中国肿瘤学术大会暨第十三届海峡两岸肿瘤学术会议论文汇编[C].中国抗癌协会、中华医学会肿瘤学分会:,2014:1.
[4]赵丽. 舌癌患者的心理康复和生活护理指导[A]. 中华护理学会.全国口腔科护理学术沟通暨专题讲座会议论文汇编[C].中华护理学会:,2006:2.
[5]佘丽莎. 3D打印临床应用研究所在湘雅成立[N]. 中国医药报,2014-08-14(007).
[6]胡洪成,卢松鹤. 3D打印技术在口腔医学应用的国内外现状和趋势[J]. 中国医疗器械信息,2017,(03):6-10+21.
[7]陈忠实生命的最后三天.华商报,2016-05-01.
作者
周磊|医学博士,病理科医师,西医内科教师
窦媛媛|科普撰稿人,媒体人,心理咨询师