宝宝的健康问题是每位家长最为关心的事情,现如今家长们也越来越关注孩子的牙齿健康。在口腔门诊经常会有家长带孩子来检查牙齿,其中有些孩子的牙齿发黑让家长很担心,下面就说一下牙齿发黑究竟是怎么回事以及处理方法。
孩子牙齿发黑主要有以下几种情况:
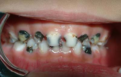
1、龋齿,也就是蛀牙,牙齿发生龋病后,颜色会发暗变黑。宝宝出现龋齿的原因很多,包括甜食吃的过多,不刷牙或者刷牙不到位、牙齿发育不良等。

如果出现了龋齿,形成了牙洞尽早补牙,并且督促孩子早晚各刷牙一次,并教给孩子正确的刷牙方法,形成良好的口腔保健习惯,并且可以到医院口腔科让口腔医生给予涂氟、窝沟封闭等预防蛀牙的措施。
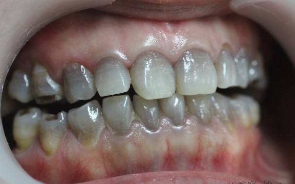
2、色素沉积,牙体并没有损坏,只是牙面上沉积色素,易形成黑色或者棕色,往往是由于牙表面釉质不够光滑,略粗糙,再加上深色饮食的关系,所以易沉积色素。

因为牙体本身没有问题,这种牙齿发黑主要是影响美观,对孩子的健康发育没什么影响,如果孩子较小,可以暂时不用处理,关注平时刷牙,饭后漱口即可。如果是大孩子或者说恒牙色素沉积,若是能耐受超声洁治(洗牙)的话,可以通过洗牙清除色素。
3.氟斑牙,一般很少发生于乳牙,只要发生于恒牙,也就是孩子换牙后的牙齿,牙齿表面有白垩色到褐色的斑块,说是牙齿发黑并不准确。主要原因是由于孩子6~7岁前饮水中含氟量过高引起。预防的话,当然就是选择含氟量适宜的水源,远离高氟区。

至于治疗,需要根据氟牙症严重程度选择合适的处理方法,包括磨除、酸蚀涂层法,复合树脂修复,瓷贴面修复,全瓷冠修复等。
4、四环素牙,根据严重程度不同,牙面颜色由黄灰色——黑灰色——黑色——灰褐色。原因是由于母亲妊娠期或者哺乳期服用四环素类药物,或者孩子8岁前服用四环素类药物。

治疗要根据严重程度不同,可选择漂白、复合树脂修复、瓷贴面或者全瓷冠修复等。
5、釉质发育不全,牙齿最表面的一层是釉质,如果釉质发育不全,部分缺损,形成带状或者窝状的棕色凹陷。原因主要是牙齿发育期间,维生素以及钙磷严重缺乏引起,如果已经出现了釉质发育不全,再去补充这些营养也是于事无补了。

对于釉质发育不全的牙齿,不耐磨耗,而且容易发生蛀牙,所以更要做好口腔护理,预防龋齿发生。如果是乳牙釉质发育不全,要关注平时口腔保健,认真刷牙,家长多加关注,出现龋齿及时处理。如果是恒牙釉质发育不全,可考虑复合树脂修复、烤瓷冠或者全瓷冠修复。