把时间倒回到你小时候,有多小呢?
大概两、三岁,那时的你刚学会有模有样地独立刷牙
可能是爸妈教了 “自残式”的横向刷牙法

也可能为了偷懒
相信“大力出奇迹”
你开始拿着牙刷每天使劲儿横着刷。
常年如此,你的牙齿悄然发生了变化
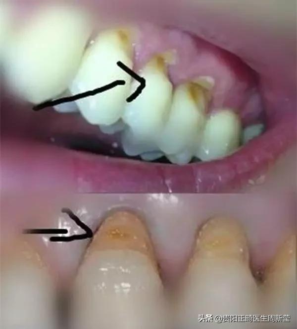
它出现了楔状缺损
!!!

啥是楔状缺损?
楔状缺损是指靠近脸颊和嘴唇一侧的牙颈部
因为缓慢而过量的磨耗而出现的楔形缺损

▲它长这样
长期用力横着刷牙
是造成楔状缺损的最主要原因
在牙齿外部的构造中
属牙颈部(靠近牙龈的牙齿部位)最为脆弱
因为该处的牙釉质相对薄弱
容易被磨去
你错误的刷牙方式就像拿着一把锯子锯木头
嗞嗞……差差……嗞嗞……差差……

牙颈部因此变得越来越脆弱
直到出现缺损

除了刷牙
咬合与酸性物质腐蚀也会造成楔状缺损
牙颈部是咬合力的集中反应区
长期有问题的咀嚼方式,或者“爱啃硬骨头”
都会让牙颈部被磨损
牙龈沟里的酸性分泌物增多、吃太多酸性食物
唾液pH值低、胃病反酸等
都会给牙颈部造成腐蚀
形成楔状缺损

根据缺损程度
楔状缺损可分为
浅形、深形和穿髓形三类
浅形和深形无明显症状
顶多有牙本质敏感的反应
具体表现为牙齿受不了刺激
吃东西时遇冷热就酸的直哆嗦

穿髓形则很可能伴随牙髓病、牙周病等
甚至在咬硬物时
牙齿突然啪的一声折了
时间是一把磨牙刀
拖得越久,楔状缺损越严重

看到这里,你还觉得我是在讲鬼故事吗

楔状缺损怎么办?
浅形楔缺:对于组织缺损较少且无酸痛症状者,局部不需要特殊处理。但要避免横刷,并选用较软的牙刷和磨料较细的牙膏。
深形楔缺:到医院就诊,选用与牙齿颜色近似又有一定粘接性的复合树脂或玻璃离子粘固粉等将楔状缺损补好,以防继续发展。
穿髓性楔缺:重度缺损而引起牙髓炎、根尖炎的患者,要及时进行治疗。楔状缺损不是太复杂的病症,治疗及时就能减少因牙病和掉牙带来的痛苦。

预防楔状缺损
防止缺损加重的最好方法就是:
采用正确的刷牙方法,定期到院洁牙,并定期检查牙齿
对你的牙齿好一点,从每天的刷牙开始,忘掉现有的“自残式”行为,回到还没学会刷牙之前,跟随“爱牙斯坦”的脚步一同学习正确的BASS刷牙法。