90岁男性,因食欲不振入院,有慢性心力衰竭、房颤和高血压病史。患者脚趾和脚掌可见蓝紫色改变(图1),由于近期有脑梗死病史造成肢体感觉异常,故未感到疼痛。
医脉通编译整理,未经授权请勿转载。

图1 患者的图像
(A)脚趾和脚掌局部蓝紫色;(B)5ml血液散布在滤纸上,可见轻微的花边样痕迹,比例尺1cm;(C)数字显微图像,比例尺1mm;(D)使用滤纸漂洗方法获得的游离多层胆固醇晶体,在偏光显微镜下显示为蓝色,比例尺50μm;(E)使用速冻方法获得的游离多层胆固醇晶体,在偏光显微镜下显示为橙色,在背景中也可以见到红细胞,比例尺50μm。
血管超声检查发现,双下肢动脉血流减少,无明显的髂动脉、股浅动脉、腘动脉狭窄。血肌酐水平从1.48 mg/dl增加到2.60 mg/dl。CT显示主动脉严重钙化,无扩张或动脉瘤改变;肾下腹主动脉和双侧髂总动脉周围钙化。
怀疑为自发性胆固醇结晶栓塞综合征,为求确诊,使用两种方法扫描了股动脉中的成分。从股动脉取血,并铺在滤纸上,孔径为7μm。肉眼和显微镜都观察到了花边样轮廓,提示存在晶体(图1B和1C)。用蒸馏水冲洗滤纸,使用偏光显微镜扫描。使用滤纸漂洗(图1D)和速冻(图1E)方法检测到了游离多层胆固醇晶体。
静脉注射甲强龙后,患者血肌酐水平降至1.34 mg/dl,蓝脚趾逐渐恢复。
关于胆固醇结晶栓塞综合征,你了解多少?
胆固醇结晶栓塞综合征(cholesterol crystal embolism, CCE)是一种累及多系统的疾病,主要由于大动脉粥样硬化斑块破裂,其中的胆固醇结晶剥离,随血流脱落至外周远端血管造成栓塞,阻塞下游的小动脉以及肢端、肾、肠系膜等微动脉,并引起栓塞部位炎性反应和终末靶器官损伤的综合征。通常亚急性起病,从发病到恶化一般仅需几个月。
胆固醇结晶栓塞综合征主要是医源性的,多见于介入或手术治疗患者,自发性的很少见,容易漏诊误诊。这种临床综合征并不少见,其发生率远比想象的要高。存在血汗管疾病及其高危因素(高血压、糖尿病、脂代谢紊乱、家族史和吸烟等)的老年男性更容易患CCE;血管外科操作、血管腔内介入操作、溶栓治疗以及抗凝治疗等因素均可促进其发生。有文献报道,造影或血管操作后死亡患者的CCE发生率为25%~77%;1年病死率高达70%~76%。
CCE临床表现与斑块破裂部位相关。蓝趾综合征、急性肾衰竭和嗜酸性粒细胞增多被视为CCE三联征,通常皮肤病变最先发生,表现为发绀、蓝趾、网状青斑、溃疡、坏疽、结节、紫癜。肾脏是最常受累的器官,临床可见肾功能进行性损害,突然或急剧加重的高血压,严重者出现肾衰竭。此外还可能累及消化、神经等系统,也可引发全身炎症反应。
通过组织病理学检查可确诊:皮肤活检的诊断敏感性为41%;肌肉活检的诊断敏感性可达100%;单次肾活检的诊断敏感性达75%,重复活检的诊断敏感性达94%。典型病理改变为两面凸起的裂隙状胆固醇结晶阻塞小动脉管腔。本病例使用偏光显微镜观察到从股动脉获得的游离多层胆固醇晶体。

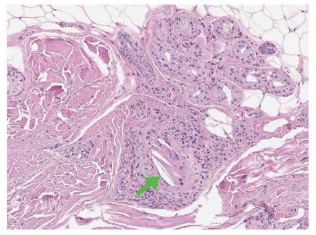
图2 68岁男性,全主动脉弓置换术和冠状动脉旁路移植术(CABG)术后足趾变蓝,对病变脚趾的皮肤进行活检发现了胆固醇结晶
目前CCE尚无特异性治疗,确诊CCE的患者以对症支持治疗为主。他汀类药物及糖皮质激素在稳定斑块及减轻全身炎症反应方面有一定帮助。
文献索引:
1. Sei Komatsu, Chikao Yutani, Mitsuhiko Takewa, et al. Detecting Free Cholesterol Crystals in a Patient With Spontaneous Cholesterol Embolization Syndrome. JACC: Case Reports, 2020; 2(4).
2. A 68-year-old man with a blue toe. Cleveland Clinic Journal of Medicine. 2017; 84(6): 436-437.