
47岁中年女性,活动后喘息近1年,加重3月,CT显示双肺弥漫磨玻璃影。事实的真相,直到问清病史之后才恍然大悟……
整理丨兰蕙
作者丨同济大学附属上海市肺科医院 毕莹
来源丨医学界呼吸频道
近日,在职业性呼吸系统疾病诊治进展暨尘肺病论坛上,同济大学附属上海市肺科医院毕莹医师为我们讲述了一个病例。
病例介绍
患者:女,47岁,农民
主诉:活动后喘息近1年、加重3月
现病史特点:
2013年3月无明显诱因出现重体力活动后喘息,到当地县医院行心电图及HOLTER检查未见明显异常。2013年9月出现喘息加重,日常活动下即感喘息明显。
2013-10-07到当地医院心内科行冠脉CTA提示左回旋支远端心肌桥,后给予曲美他嗪营养心肌等治疗。患者喘息仍进行性加重,并逐渐出现夜间阵发性呼吸困难。行血气分析提示Ⅰ型呼吸衰竭、胸部CT提示双肺弥漫性磨玻璃影及斑片影、可见空气潴留征,给予左氧氟沙星、头孢哌酮舒巴坦、头孢吡肟抗感染等治疗,并给予激素治疗(具体剂量、疗程不详),患者喘息较前稍好转。
2013-11-20复查胸部CT提示双肺斑片影较前吸收(图1-图2),于2013-12-05出院,出院后服用醋酸泼尼松片 8mg 1次/日。患者仍喘息明显,日常生活不能自理。

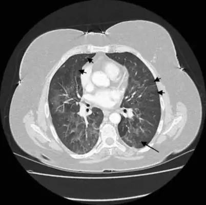
图 1:2013年11月胸部CT
注:双肺弥漫性磨玻璃影及斑片影、可见空气潴留征及小结节影

图 2:2013年11月胸部CT
疾病史:既往体健,否认传染病、慢性疾病史;
个人史:不嗜烟酒;
家族史:否认遗传病史。
体格检查:神志清楚,全身浅表淋巴结无肿大,口唇及粘膜轻度紫绀,双中下肺可闻及吸气末的爆裂音,未闻及明显干性啰音,心率 90次/分,律齐,双下肢无明显水肿,无杵状指。
读到此时,小编还不知道医院给了患者什么诊断。我们接着往下看:
患者症状以喘息为主,病程近1年,否认既往慢性疾病史,血气提示I型呼吸衰竭,胸部CT双肺弥漫性磨玻璃影,小编看来慢性阻塞性肺疾病、病毒性肺炎及心源性喘息暂不作重点考虑。
那么患者肺部改变的病因是什么?毕医师继续补充病史:
追问患者病史后发现,患者养鸽子约10年,近3月来与鸽子接触频繁。
禽类接触史应该是最主要的线索了,我们继续分析患者的辅助检查报告:
1.实验室检查(图3-图4)

图3:该患者血常规及血气分析报告

图4:该患者部分生化及肿瘤标记物
2.肺功能:
重度限制性肺通气功能障碍;气道阻力升高;肺弥散功能重度减低。
3.TBLB检查
肺泡灌洗液:有核细胞总数 40x103/ml、淋巴细胞百分比 28%、中性粒细胞百分比 26%、肺泡巨噬细胞百分比 46%
TBLB 病理: 见少量肺组织,肺泡腔缩窄,肺泡间隔纤维组织增生、增宽,局灶区小血管显着充血,纤维素样物渗出,泡沫细胞聚集并见多核巨细胞形成,间质少量炭沫沉积。特殊染色:PAS(-),抗酸染色(-),六胺银(-)。
读到此时,您有答案了吗?
根据患者的病史资料,毕医师考虑是职业性过敏性肺炎,遂予以如下对症支持治疗:
1.吸氧+多索茶碱平喘
2.阿奇霉素(因患者无发热、无咳黄脓痰、白细胞正常,虽然患者病情重但并未给与强力抗感染)
3.乙酰半胱氨酸
4.激素:吸入布地奈德
随后激素调整为甲泼尼龙琥珀酸钠60mg 1次/日。
患者于2014-01-02病情好转出院,毕医师治疗组建议患者避免接触鸽子及其它可能的过敏原,同时激素改为醋酸泼尼松片30mg 1次/日口服,并给与补钙、保护胃黏膜辅助治疗。
患者出院后,毕医师治疗组继续随访发现其病情进一步好转:肺部病灶有所吸收、肺功能改善、活动能力也相对提高。
2014-03-04患者返院复查:
1. 胸部CT提示双肺病变较前吸收(图5)。

图 5:该患者治疗前后胸部CT对比
2. 血气分析示:PH 7.43,PaO2 85 mmHg,PaCO2 33 mmHg,BE -1.6 mmol/L,HCO3-23.7 mmol/L,P(A-a)O2 28 mmHg。
3. 肺功能:轻度限制性肺通气功能障碍,气道阻力正常,肺弥散功能轻度下降。
2014年7月毕医师治疗组与患者家属联系得知患者已可下地劳动。
从该患者的住院过程及随访资料来看,治疗效果很明显。此时或许大家同小编一样对患者的诊断存在疑虑,为什么考虑职业性过敏性肺炎?
什么是职业过敏性肺炎?
职业性过敏性肺炎(occupational hypersensitivity pneumonitis,OHP)是指劳动者在职业活动中短时间或反复多次吸入生物性有机粉尘或特定的化学物质后所引起的以肺泡和肺间质炎症改变为主的免疫介导性肺部疾病。
我国在2013年最新颁布的《职业病分类与目录》中把其划分为其他呼吸系统疾病中的一项,2014年10月13日我国发布了最新的OHP的诊断标准,于2015年31日起正式实施。
原来OHP是有历史的!
1713年就有学者发现在收割小麦工作者中存在过敏性肺部疾病。到20世纪30年代,Campbell把这种疾病以“农民肺”的形式进行了描述。
捷克查尔斯综合大学医学院的Fenclová等报道,从20世纪90年*开代**始10几年的职业病国家登记册*共中**发现OHP 72例,这一数字占据了这段时间公布的职业病总人数的0.24%。
美国的一项关于OHP的流行病学调查报告中提到在美国发病率约 3/万,养鸽者、农民可分别达 20%和 7%,患者的平均发病年龄为48岁,性别无显着差异。
那么在我国是什么情况? 在1990年之前我国就已经对 OHP 进行了大量的研究。有报告农民中“农民肺”的发生率大约在0.5%~3.0%。目前,并没有关于我国OHP的发病率的确切结论。
哪些因素会导致OHP?
OHP的发病归因于含有放线菌和真菌孢子、动植物蛋白质、细菌及其产物、昆虫抗原等的有机粉尘和某些化学物质。
1、有机抗原
a.污染放线菌或霉菌孢子等微生物的粉尘
微生物主要包括嗜热放线菌及内毒素、干草多孢子菌、棒曲菌、产黄青霉菌、皮质隐子座菌、皮肤毛孢子菌和白色念球菌。
这些微生物主要存在经过发热的潮湿的、发酵的蔬菜(蘑菇、辣椒),或者发霉的甘蔗、干草、软木、乳酪以及存在于热管、空调、加湿器中等。
b.动物蛋白质粉尘
这类粉尘主要是动物的血清、皮毛和粪便如鸟血清、鸟粪或羽毛的蛋白质。
c.植物蛋白
酿酒过程中的小麦麦芽棒曲菌和小麦仓库中的象鼻虫已明确是外源性变应性肺泡炎(EAA)的病因。
d.昆虫粉尘
这类粉尘报道最多的是污染的小麦粉中谷仓象鼻虫引起的。
e.金属工作液
切割油、润滑剂或冷冻液等,在金属产品加工过程中去除金属表面的杂质,延长其使用寿命。但是而些水基的溶液可以循环使用,因此也成为微生物繁殖的培养基。
2、无机抗原(化学物质)
a. 油漆等刺激性气体、垂体后叶素滴鼻剂等含有-NCO的有机化学物质。
所以这类患者多见于装修工人,以入住新房或新装修房居民以及过敏性鼻炎患者等居多。
b. 异氰酸酯类:广泛用于弹性或硬质泡沫、人造橡胶、粘合剂、喷漆等行业。
有人认为甲苯二异氰酸酯和偏苯三酸酐是最常见的引起职业性过敏性肺炎的低分子量化学物。
OHP的病因原来如此之多!下图为OHP常见的抗原及其来源和暴露人群,便于大家收藏(图6)。

图 6:HOP病因分析图
知道了OHP的病因,我们继续了解一下该病的发病机制。
毕医师以简洁明了的语句,解析了OHP发病机制的四条路径:
1、III型免疫反应
患者应接触抗原后症状出现的时间一般为 4—6小时,产生血清特异性沉淀抗体。 在患者的病变肺组织中可发现抗原,免疫球蛋白和补体。免疫复合物刺激支气管肺泡灌洗(BAL)细胞释放细胞因子使得肉芽肿形成。
2、细胞免疫
组织学检查发现在OHP患者肺泡和间质内存在肉芽肿病变,而抑制细胞免疫的制剂可以抑制实验性肉芽肿性肺炎,伴随T cells↑ , CD4/CD8↓ or(-)。
3、细胞因子
IFN-γ、IL-2促进肉芽肿形成(Th1)Il-4, IL-10 (Th2)。
4、其他
内毒素效应,酶活性可直接损伤机体,补体旁路途径被直接激活导致血管通透性增加,中性粒细胞趋化转移至肺。但是该发病机制存在个体易感性,只有< 10%的常规暴露人群发病,而HLA可能为其遗传因素。
该发病机制表现为: 环境抗原→易感个体→免疫反应(III+Ⅳ)→肉芽肿性炎症
OHP肺组织病理表现分为急性期和慢性期。
1.急性期最常见的为肺泡及间质内有明显的淋巴细胞、浆细胞、肥大细胞及巨噬细胞,肺泡巨噬细胞胞质呈空泡样改变,肺泡腔内有渗出物,肺泡毛细血管呈血管炎表现。
2.慢性期主要表现为肺组织弥漫性间质纤维化甚至蜂窝肺。
临床上也将OHP分为急性型、慢性型。
1.急性型通常在吸入抗原后4-8h后出现干咳、胸闷、发热、明显的呼吸困难,肺部出现明显的湿性啰音,通常可逆。
急性期胸部CT表现为两肺弥漫的磨玻璃密度影或广泛的实变影,主要分布在中下肺(如图7)。

图 7:OHP急性期胸部CT表现
2.慢性型主要表现为逐渐加重的呼吸困难,容易劳累,体重减轻,晚期可出现呼吸衰竭,肺心病体征。
慢性期胸部CT表现为:两肺内不规则的线样、网状、或蜂窝状阴影结节影,靠近胸膜分布局部有磨玻璃样改变,并可见牵张性支气管扩张(图8)。

图 8: OHP慢性期胸部CT表现
OHP辅助检查包括肺泡灌洗液(BALF)、肺功能等。
1. 急性期的过敏性肺炎患者肺泡灌洗液中淋巴细胞通常明显增加(60-70%),中性粒细胞常见,嗜酸性粒细胞少有。
淋巴细胞中尤以CD8+细胞增加明显,导致CD4+/CD8+比例<1但CD8+淋巴细胞在亚急性期及病情好转后亦可出现下降。
此外,CD4+/CD8+ >1并不能排除过敏性肺泡炎。
2. 肺功能多为限制性肺通气功能障碍,弥散功能下降。
TLC↓,RV↓,VC↓,FEV1↓,FEV1/FVC(-)或↑
TLco↓,Kco↓
PaO2↓
3. 血清学检查主要以炎症表现为主:急性期白细胞可升高,血沉和C反应蛋白多升高;IgE和血嗜酸性粒细胞一般正常。
OHP的诊断依据有哪些以及需要与那些疾病鉴别?
在明确职业性接触史后,综合临床、肺功能及CT表现可以支持诊断OHP,如果能够具备支气管肺泡灌洗液及肺活检的典型表现则可明确诊断。
OHP急性期伴有发热需要鉴别病毒性肺炎、支原体肺炎、细菌性肺炎、肺结核、急*药性**物反应,隐源性机化性肺炎;
慢性 OH患者则需要与弥漫性肺部疾病鉴别如:弥漫性弥漫性泛支气管炎(DPB)、结节病(3期)、血源播散性肺结核特发性肺纤维化,肺腺癌。
OHP有哪些治疗措施?
首先脱离可能存在的过敏原;部分轻症患者经脱离刺激后可自行缓解,无需特殊治疗。
重症OHP患者则需要氧疗及经验性激素治疗,急性期经验性使用泼尼松20-50mg/d,症状完全缓解可以停用;非急性发作期,不提倡使用糖皮质激素进行治疗,因为糖皮质激素并不能长期改善OHP。
此外,如果是慢肺纤维化阶段,激素治疗无效,预后差,最后可考虑肺移植。
注:以上内容均来自毕莹医师课件。