陈忠实什么病 (陈忠实口腔癌)

原上曾经有白鹿,人间从此无忠实。让我们在哀悼一代文学大师的同时也用科学的方法对待可能到来的疾病→→超过两周不痊愈的慢性口腔溃疡就需要引起警惕,舌头的运动和直觉障碍,牙齿的松动,口腔的感觉异常、麻木,张口受限等是口腔癌的早期症状……来看复旦大学附属肿瘤医院头颈外科王玉龙医生的介绍↓

  • 什么是舌癌?舌癌和口腔卫生的关系是什么?

舌癌是最常见的口腔癌类型,舌癌与口腔卫生有一定关系,尤其与牙齿状况关系比较密切,口腔卫生不良,容易引起龋齿,而坏的牙齿,或者容易咬到或者摩擦舌体的牙齿,容易给舌体造成连续的机械刺激,容易引起舌癌。

陈忠实为什么会得舌癌,陈忠实的舌癌做了什么治疗舌癌患者图片↑

  • 舌癌的高危人群有哪些?

舌癌的高危人群有槟榔、烟酒等长期刺激性食物进食者;牙齿状况不好,有残根,牙齿咬合不良,摩擦舌体,假牙质量不好;有头颈部放疗病史的人;有口腔白斑、红斑、纤维化、经久不愈的溃疡病史的群体等。

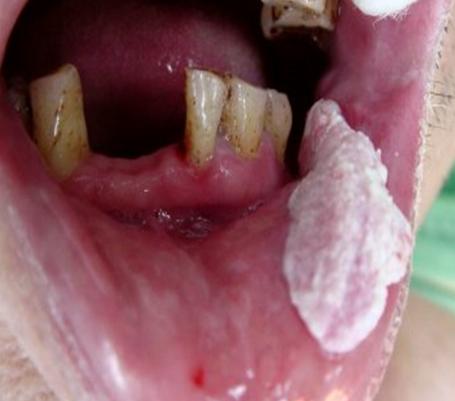
  • 警惕这些癌前病变

癌前病变是指具有潜在恶性转变可能的病变。超过两周不痊愈的慢性口腔溃疡,要警惕了,这可能是口腔癌的癌前病变。口腔癌的癌前病变还包括黏膜红斑、黏膜白斑、黏膜下纤维化、疣状增生、慢性溃疡等。癌前病变如果长期不治疗或者是刺激源一直存在,那么这样的病变转变为口腔癌的可能性就很高。例如,口腔内有尖锐蛀牙,或者残余的牙根对口腔形成慢性刺激,就有可能加大罹患口腔癌的潜在风险。

陈忠实为什么会得舌癌,陈忠实的舌癌做了什么治疗癌前病变——粘膜红斑↑

陈忠实为什么会得舌癌,陈忠实的舌癌做了什么治疗癌前病变——粘膜白斑↑

陈忠实为什么会得舌癌,陈忠实的舌癌做了什么治疗癌前病变——疣状增生↑

  • 舌癌等口腔癌的早期症状

相比于口腔癌的癌前病变,口腔癌的早期症状显得更为“隐蔽”,有时与口腔的癌前病变难以区分。癌前病变及时处理就可以避免病情向癌变发展。口腔癌的早期症状可表现为口腔黏膜颜色发生变化、超过2周以上的溃疡、伴或不伴疼痛的肿块等。另外,舌头的的运动和直觉障碍,牙齿的松动,口腔的感觉异常、麻木,张口受限等也是口腔癌的早期症状。一旦这些早期症状出现,这时候就应该及时就医,及时向专业医生咨询。

  • 怎样预防才能“防癌未然”

口腔癌常见的病因有嚼食槟榔、吸烟、饮酒、不良口腔卫生、尖锐的蛀牙、残根、制作不当或破损的补牙(假牙、套子)、HPV 感染等。保持良好的生活习惯,远离危险因素,是预防口腔癌的关键。此外,注重平时的自我检查,做到早发现、早治疗,可以明显提高癌后生存率。根据临床资料统计,口腔癌的一期生存率达86%,二期生存率达83%;而三期生存率只有60%,四期生存率为59%。可见,早期的口腔癌患者生存率要比晚期口腔癌患者高30%左右。

  • 6个方法自我检查是否患上口腔癌

【自我检查项目一:唇】

面对镜子,观察上下嘴唇,再用手触摸。用拇指和食指向下拉开下嘴唇检查内侧,用同样的步骤查上嘴唇内侧。重点检查嘴唇内侧有无肿块、白斑、溃疡等异常情况。

【自我检查项目二:面部与颈部】

面对镜子,向后仰头,查看下颌骨和颈部;用手触摸颈部两侧和下颌骨感受有无异样。若发现有肿块,或者感觉局部麻木感,就应该引起重视,应及时到医院就诊咨询。

【自我检查项目三:牙龈】

用手拉开口唇检查牙龈,并用手指触摸,检查否与平常一致。应当关注,牙龈肿块、牙龈溃疡、牙齿松动等症状,都有可能是口腔癌的癌前病变。

【自我检查项目四:口腔内】

用手指将嘴角向外拉开,对镜观察,同时用手触摸侧口腔内,查看有无溃疡、白斑等不良病变。

【自我检查项目五:舌头】

伸出舌头,观察并触摸舌面,并分别向左右方牵拉舌头,观察舌头两侧有无溃疡、白斑、肿块;将舌尽量上抬,如果有麻木感,或者触摸舌底有肿块或溃疡,这都是需要引起警惕的状况。

【自我检查项目六:咽与腭】

面对镜子,发“啊”音,观察咽部有无肿块;然后头部后仰,观察并触摸上腭,如果发现长期存在白斑、溃疡或肿块,就应当及时就诊,以避免这些病变转化为癌。

医生介绍:王玉龙,复旦大学附属肿瘤医院头颈外科副主任医师。主要从事甲状腺、涎腺、喉咽、口腔等头颈部肿瘤的诊治工作。

陈忠实为什么会得舌癌,陈忠实的舌癌做了什么治疗信息来源:复旦大学附属肿瘤医院