新闻 丨 漫画 丨 趣闻 丨 病例 丨 观点 丨 福利
为了方便大家学习沟通,【医看】特别推出了「资深专家」专栏,把好病例和好报告与大家分享~建议大家在看影像的时候认真思考,然后再对照文末的「专家报告」。
病例一
患者信息:男,60岁
检查部位:胸部
检查方法:胸部CT平扫
患者主诉:左侧胸部疼痛二十天左右,暂无其他不适症状。

长按扫描下方二维码
查看本病例的DICOM影像
专家报告
影像所见:
CT平扫胸廓对称,肺窗显示两肺纹理清晰,走向分布无异常,右肺中叶及下叶见数个小结节,密度均匀,边界清楚,大小约3x3mm;纵隔窗显示两肺门无增大,气管支气管通畅,纵隔未见肿大淋巴结,胸膜、肋骨及胸壁软组织未见异常。
诊断意见:
右肺中叶及下叶数个结节:炎性?转移瘤?建议复查。
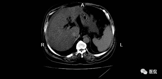
病例二
患者信息:男,57岁
检查部位:上腹部
检查方法:平扫
患者主诉:长期大量饮酒非常严重,现主要症状:全身颤抖,腹部发胀严重。

影像所见:
肝脏比例失衡,肝尾状叶变大,肝裂增宽,表面欠光滑,肝实质密度不均匀减低,CT值-3~9HU,肝脾包膜下见弧形水样密度影,CT值9HU;肝内外胆管无扩张,胆囊未见明显增大,壁不增厚;胰腺未见异常,脾脏增大,后余额63mm;腹膜后未见异常肿大淋巴结。
诊断意见:
肝脏改变、脾大、腹水:符合酒精性肝硬化改变。
如果本文满足了您的求知欲,一定要将文章分享给身边的同事或朋友哦!
快扫码关注医侃(yikantime),就差你啦!▼