半岛记者 刘雪莲
一个4岁的孩子,吞下一根将近5厘米长的钢钉……这事儿,是不是想想就觉得后背发麻。
就在中秋假期的第二天,山东大学齐鲁医院(青岛)儿外科,接到了这样一个孩子,孩子到医院时,钉子已经吞下了5个多小时……
孩子吞了根5公分的钢钉……
9月15日,18:20,大多数家庭还沉浸在中秋节日气氛中,山东大学齐鲁医院(青岛)急诊科接到一个外院转来的孩子,需要儿外科紧急会诊,考虑消化道异物。
当晚儿外科值班的刘超医生,尽管见过了数不清的小儿消化道异物,但是,这个孩子的情况,还是让他心头一紧。孩子在当地医院拍了X线片,上面赫然显示着孩子肚子里有一根钢钉,而且从孩子吞下钢钉到现在,已经有5个多小时了。
钢钉的一端非常尖锐,随时有刺穿消化道甚至腹腔内大血管的风险。不到5分钟的时间,刘超医生迅速和家属交代了孩子病情的严重性和风险。
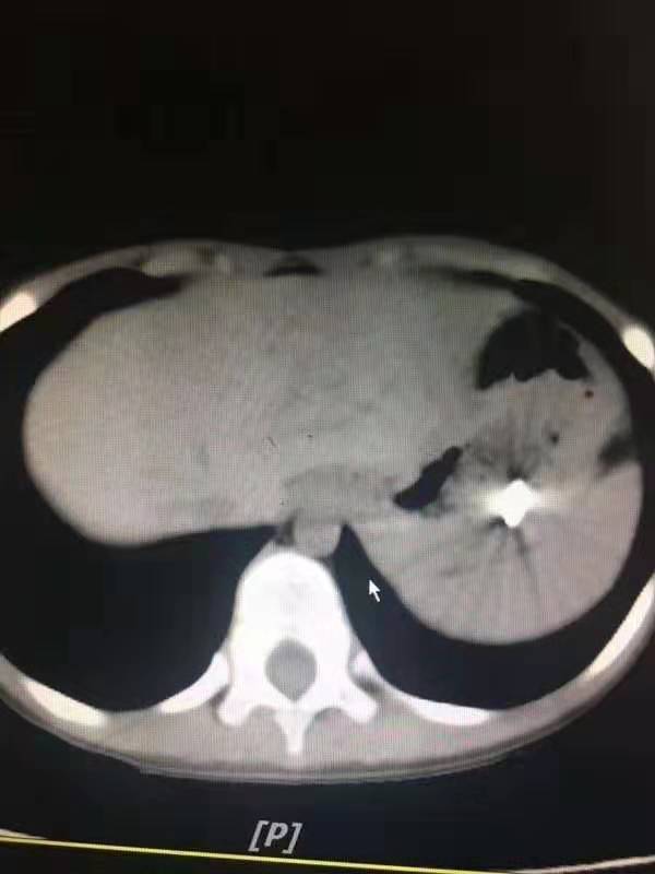
是采取胃镜探查还是腹腔镜探查?刘超医生带着刚刚办好住院手续的孩子做了x线片和CT,还好,钢钉还在孩子的胃里,胃壁没有穿孔。


胃里找不到钉子了……
接到通知的儿外科张蕾主任也迅速赶到了医院,因为钢钉随时有进入十二指肠和刺穿消化道、血管的风险,张蕾主任决定立即通知手术室和麻醉科行胃镜检查。
19:40,孩子被推进了手术室,可胃镜下的一幕又让医生们吃了一惊,明明CT上显示钢钉在胃里,可是胃镜下的胃里空无一物。
医生们继续向下寻找,终于在十二指肠球部和降部交界的地方发现了卡住的钢钉。钢钉的尖端已经刺入了十二指肠球部的粘膜,这后面就是重要的大血管,一旦钢钉刺穿肠壁和血管后果不堪设想。
说得再通俗一点儿,再过一会儿,钉子就要穿出肠子了,那会儿孩子父母真要肠子都悔青了。

不过,庆幸的是,山东大学齐鲁医院(青岛)儿外科拥有先进的PANTAX小儿胃肠镜设备,能够独立完成小儿胃肠镜如消化道异物取出,肠息肉检查切除,甚至贲门失迟缓的PEOM手术等复杂操作。
有了这套设备,20分钟后,钢钉被顺利取出,避免了开腹手术。第二天复查,没有肠壁穿孔,孩子开始进食,现在已顺利出院,也算是有惊无险了。
取出的钉子,将近5公分长。

这些年熊孩子们都吞了些啥……
熊孩子们手边有点儿东西,都想放嘴里尝尝,尝着尝着,不谨慎就尝进肚子里去了。
果核、扣子、硬币、别针、发卡、电池等等,这还都是常见的。
戒指、耳钉、干电池、绣花针、磁力珠、小木棒、拉链、螺丝钉……这些比较罕见的,也都是山东大学齐鲁医院(青岛)近几年接诊的消化道异物患儿中发现的。
来,眼见为实。





医生这样说:
对于体积较小、无毒害、无刺穿消化道风险的异物,如果核、扣子、硬币、玩具小配件等,可通过进食粗纤维食物及缓泻剂等通过排便排出。
对于有毒害风险、尖锐物品。如电池、针状物、螺钉等,还有造成消化道梗阻或长时间无法经排便排出的无毒害风险的异物,则需要通过胃肠镜或腹腔镜等手术取出。