急性主动脉综合征(AAS)是一组危及生命的疾病,包括主动脉夹层(AD),壁内血肿(IMH)和穿透性主动脉溃疡(PAU)(图1)。难以忍受的疼痛是主要临床症状,但肺动脉栓塞等其它病变也有类似的临床表现,应该作为鉴别诊断。这些临床表现重叠和高死亡率的疾病,影像学检查在诊断和治疗计划中具有重要意义,本文我们将重点关注非创伤性AAS。

图1:急性主动脉综合征(AAS)的病理生理学。
主动脉夹层(AD)有内膜破裂,血液进入中间层并形成假腔。
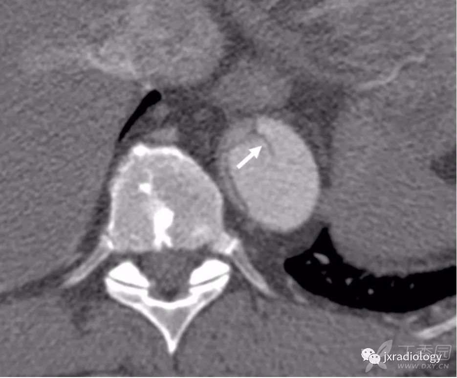
壁内血肿(IMH)动脉壁内出血或血肿,但无内膜撕裂。
穿透性主动脉溃疡(PAU)在晚期动脉粥样硬化的基础上,内膜斑块撕裂,最终形成假性动脉瘤或动脉破裂。
MDCT被认为是评估AAS的金标准,因为它具有普遍性,实时性和诊断的准确性。CTA具有96-100%的灵敏度和87-99%的特异性。超声心动图和MRI也起到一定的作用,但是随着CTA的广泛使用,它们在可疑AAS患者的应用近来有所减少。超声心动图因为可以床边操作,可以作为一线检查技术。MRI现在被保留作为非急性病人CT的替代检查方法。
升主动脉是从主动脉根部至右头臂动脉的起始部(图2)。主动脉根部是升主动脉的第一部分,包括:主动脉瓣、主动脉瓣环、主动脉瓣窦。

图2:升主动脉从主动脉根部至右头臂动脉起始部。
- 主动脉根部是升主动脉的第一部分,包括:主动脉瓣、主动脉瓣环、主动脉瓣窦。
- 主动脉弓起始于右侧头臂动脉的水平,其远侧边界是动脉韧带的附着;主动脉弓可以细分为近端(从右头臂动脉到左锁骨下动脉)和远端(直到动脉韧带附着)。
- 降主动脉从动脉韧带附着到膈肌之间的主动脉。
- 峡部是降主动脉近端较窄部分。
CT扫描技术
首先进行非增强扫描,这对于检测壁内血肿可能是必不可少的。随后是对比增强的扫描;这些患者的心输出量通常是降低的,因此对比剂到达主动脉的时间可能会延迟,所以我们建议使用团注后智能触发扫描技术,在主动脉弓水平设置100HU阈值。推荐动脉期和静脉期双期扫描,扫描范围从肺尖部至耻骨联合。右侧上肢注射对比剂,以减少主动脉弓中的对比剂伪影对内膜显示的影响。

图3:对比增强CT显示内膜瓣延伸至肠系膜上动脉的起始部,导致静态性阻塞。
A.主动脉夹层
主动脉夹层占AAS的70%,主要由主动脉内膜层撕裂引起,通常由于内膜变性和中膜囊性坏死,血液经内膜进入壁内。这产生了两个腔 - 真腔和假腔。新产生的假腔充满血液,并且可能具有与真腔相似或甚至更大的压力。这种压差会导致真腔塌陷和假腔的延伸,无论是顺行或逆行的方向。假腔可能会形成血栓、反流至真腔或破裂至心包腔,胸膜腔或腹腔。
主动脉夹层的一个重要的并发症是分支阻塞,可以是静态的或动态的。在第一种静态阻塞机制中,内膜瓣进入分支血管起始部而没有再延伸( 图3 )。这导致这个分支的压力上升和血栓形成,引起局部血管狭窄及器官缺血。
动态阻塞是指当撕裂内膜像窗帘一样覆盖主动脉的一个分支;也可导致局部缺血( 图4 )。

图4:A型主动脉夹层患者的对比增强CT。
在矢状MIP(a)中,可见真腔位于前面,假腔占据大部分主动脉直径。内膜钙化有助于识别真腔。从真腔(a图和c图)看来,即使腹腔干起源于真腔,假腔的压力增加会导致内膜向前移位,压迫真腔并阻塞腹腔干的开口(c图)。肠系膜上动脉(a图)的开口处可见相同的机制。
长期高血压是主动脉夹层的最常见因素,但其他原因也可以引起( 图5 )。

图5:主动脉夹层的主要病因列表。
Fig. 5: List of the main causes of aortic dissection.
主动脉夹层可以分为急性期和慢性期( 图6 ),取决于症状是否少于或超过2周。

图6:升主动脉慢性夹层患者。
CT显示围绕假腔的壁钙化(箭头),提示慢性过程。
升主动脉的右侧壁(即在Valsalva窦的远端)和降主动脉的近端段是应力最大的位置,因此是最常见的内膜撕裂部位。
A1. Imaging findings(影像表现)
平扫CT通过显示内膜钙化的位移和假腔的高密度来诊断主动脉夹层。
对比增强的CT可以显示内膜瓣。有时需要血管内治疗,因此真假腔之间的区别是重要的。CT报告应该包括主动脉的哪几个主要分支来自假腔以及开口点的位置。有几个影像征象用于正确识别真腔和假腔。在假腔中可以看到线状低密度应,代表内膜的不完全剪切下来的纤维组织带 - 蛛网征(cobweb sign)( 图7 )。

图7:增强CT显示降主动脉夹层。
假腔占据大部分主动脉管腔,真腔主要压缩在前内侧。在假腔中,可以看到不等长的线条影(箭头),当存在这个征象代表假腔 - 蛛网征。
假腔通常显示较大的面积,与真腔相比呈延迟强化,并且可能显示在假腔边上出现-鸟嘴征(beak sign)( 图8 )
如果是慢性夹层,假腔可能被血栓阻塞,通常表现为延迟增强。
不常见的是,可以存在夹层变异,其中多内膜瓣和多个假腔 - 多腔主动脉夹层( 图9 )。

图8:鸟嘴征(箭头)代表假腔。
它是指在假腔内扩张的楔形血肿,因为它可以占据空间并分离内膜。真腔(星号)可通过其较小的管腔和早期强化来与假腔区分。

图9:增强CT显示罕见的多腔型主动脉夹层的病例。
可见两个假腔,内膜瓣延伸至腹腔干(a图箭头所指)和肠系膜上动脉(b图箭头所指)。
真腔部分可连续地观察到,被钙化包围(如果存在钙化)并且通常管径较小。最常见的是,腹腔干,肠系膜上动脉和右肾动脉开口位于真腔。
内膜内套叠是一种环状的主动脉夹层,类似于风向袋( 图10 )。在这些情况下,内膜撕裂通常位于冠状动脉开口附近,通常内腔是真腔。

图10:增强CT显示内膜套叠。
一种特殊类型的主动脉夹层,主动脉壁内膜呈圆形分离。内腔是真腔(星号)。
螺旋形走行的夹层和光整的内膜瓣,在区分假腔伴血栓形成和动脉瘤伴外周血栓中是有用的。
2. Classification(分型)
主动脉夹层斯坦福分型(Stanford)是简单和最广泛使用的分型,与治疗方法相对应。分型是根据内膜撕裂的起始部位决定的, Stanford A型(占2/3)累及升主动脉或主动脉弓的夹层。Stanford B型左锁骨下动脉远端主动脉受累( 图11 )。

图11:主动脉夹层斯坦福分型。
根据内膜撕裂的部位分型;Stanford A型累及升主动脉或主动脉弓,左锁骨下动脉已远的夹层为Stanford B型。
B.壁内血肿(IMH)
一些作者认为壁内血肿是主动脉夹层的亚型,占AAS的5-20%,这些作者认为,局限于主动脉壁内的血肿可能是由于内膜微裂,与之相反的观点认为是由内膜的滋养血管破裂引起的,内膜完整没有撕裂。壁内血肿可能导致主动脉壁梗死和继发夹层。在第一个月内有40%的夹层病例存在进展风险,此后为20%。它可能进展为主动脉破裂,也可能血肿被完全吸收。
1.影像表现
由于增强扫描可能使其显示不清,所以平扫CT是必需的。CT平扫可能会在主动脉壁上显示新月形的高密度影,主动脉腔受压改变( 图12 )。

图12:平扫CT显示主动脉左壁(a图星号)的高密度应,没有轮廓变形。(b)增强后没有造影剂渗漏,结果符合壁内血肿的诊断。
在诊断壁内血肿时,一些特征很重要。血肿厚度超过2厘米,压迫真腔或心包/胸腔积液等是重要征象,因为它们提示IMH有进展为主动脉夹层的风险。根据斯主动脉夹层Stanford分型将IMH分为A型和B型。
C.穿透性主动脉溃疡(PAU)
动脉粥样硬化斑块的溃疡的基础上发生内膜侵蚀导致血液进入主动脉的中间层, 产生血肿,可以发展到动脉瘤和破裂。一些作者坚称,大多数主动脉囊状动脉瘤是由PAU产生的。这种病理学特征是晚期动脉粥样硬化的老年患者(常伴有冠状动脉疾病,外周动脉疾病和腹主动脉瘤)。PAU也可能发生在年轻的结缔组织病患者,常见于霉菌斑块破裂之后。
PAU在主动脉弓或降主动脉中更常见,罕见位于升主动脉,其血液的快速流动提供了防止动脉粥样硬化斑块形成的保护。
1.影像表现
平扫CT上显示广泛的动脉粥样硬化通常是PAU患者的一个特征。注射对比剂后,主动脉壁出现不规则边缘和围绕溃疡基底部的内膜钙化提示PAU诊断( 图13 )。

图13:在轴位非增强CT显示主动脉后壁广泛的动脉粥样硬化(a图中箭头)。注射对比剂后,没有内膜瓣的情况下主动脉的后囊袋状突起(b和c图的星号)。
当发生破裂时,很难区分破裂的是动脉瘤或复杂的动脉粥样硬化性溃疡。在这两种情况下,都需要立即进行手术治疗。非穿透性溃疡一般限于内膜并常常无症状( 图14 )。

图14:非穿透性溃疡的患者。
血栓伴局灶性溃疡(a和b图的箭头),但没有对比剂超出内膜,也不存在壁内血肿。病人无症状。
D.急性主动脉综合征的治疗
累及升主动脉和主动脉弓(Stanford A型)的急性主动脉综合征需要紧急手术,包括传统手术或血管内治疗。目标是避免致命的并发症,如心包积血/血胸,撕裂向冠状动脉或瓣膜环延伸。如果不治疗,在48小时内死亡率超过50%。
累及降主动脉的急性主动脉综合征(Stanford B)主要是内科治疗。治疗目的是限制夹层的进展,降低作用在脆弱主动脉壁上的应力。因此,控制收缩期动脉压至100-120mmHg,心率控制在60-80 bpm是必不可少的。β受体阻滞剂是一线使用的药物,但血管紧张素II拮抗剂在主动脉重塑中起作用,因此也可以使用。血管内治疗包括主动脉支架植入和分支血管成形术适用于复杂型AAS( 图15 )。

图15:复杂型急性主动脉综合征征象。
Fig. 15: Signs of complicated acute aortic syndrome
最近的研究表明,Stanford B型AAS患者,而且伴有夹层进展风险的疾病(升主动脉扩张,假腔扩大,马凡综合征,COPD,年龄超过60岁,女性)也可能从血管内治疗中获益。
E.AAS并发症
1.胸腔并发症
平扫CT发现纵隔,心包或胸膜腔内出现高密度影,可能是胸主动脉破裂的一个征象。增强后主动脉壁不规则或对比剂直接漏出,应提示主动脉破裂。
Stanford A型主动脉夹层患者出现急性心包积液时提示高死亡率,与心包填塞有关( 图16 )。

图16:平扫CT显示自发性高密度心包积液,符合心包积血(a图星号)。双侧胸腔积液可见。增强后示Stanford A型主动脉夹层,并出现假腔的局部血栓形成(b图箭头)。
2.神经系统并发症
主动脉夹层扩展至主动脉弓上分支不常见(约5-10%),但应提示,因为它可导致脑缺血( 图17 )。

图17:CT示升主动脉中的内膜瓣(a和b图箭头)延伸至降主动脉。内膜瓣延伸到头臂动脉,可见血栓形成(c图箭头显示头臂动脉中的血栓,d图显示颈动脉血栓形成的征象 - 星号显示左颈动脉中,而右颈动脉未见显示)。
3.腹部或肢体并发症
- 由于静态或动态机制而发生腹主动脉主要分支阻塞。
- 真腔呈月牙形或凹形朝向假腔,这种征象可能提示主动脉分支缺血风险,这可能是由于低压造成的。
- 对夹层延伸至髂血管也可能提示下肢缺血的风险( 图18 )。

图18:增强后CT显示主动脉夹层Stanford B型(内膜瓣不延伸到左锁骨下动脉的开口处 a和e)。
腹腔干、肠系膜上动脉从真腔中开口(b图星号),以及左肾动脉(c图星号),右肾动脉从假腔开口。 夹层延伸超过主动脉分叉累及髂总动脉。
4.主动脉瘘
主动脉与胃肠道之间的瘘可以是原发或继发的。原发性主动脉瘘常见于较大的主动脉瘤,霉菌性动脉瘤或肿瘤侵犯的患者( 图19 )。

图19:男,71岁,因呕血而急诊就诊。内镜检查显示食管后壁局部缺损伴附壁血栓。平扫CT显示广泛的主动脉壁钙化和在降主动脉外侧的高密度影,符合血肿伴新近出血(a图箭头)。(b图)示主动脉外对比剂渗漏。这种囊袋状的突出被动脉粥样硬化斑块包围(c图箭头)。食道侧向偏离(c图星号),并与血肿相连。CT和内镜检查结果是主动脉 - 食道瘘。
继发性主动脉瘘更常见,一般见于接受主动脉血运重建手术的患者中。瘘的发病机制可能来自机械侵蚀或感染。十二指肠(尤其是第三,四节段)最常累及,但也可能累及其他节段,如食管,与呕血或黑便有关的腹痛可能是诊断的线索。