不想错过界哥的推送?
戳上方蓝字“医学界 呼吸 频道”关注我们
并点击右上角“···”菜单,选择“设为星标”

“密集恐惧症”的人怕是当不了病理医生吧?
来源 | DrWhy
在人满为患的医院里,有这么一群神秘的医生:他们几乎不跟病人沟通,却最终决定着病人的肿块要不要切、切多少,该用什么靶向药治疗最好。
他们像手艺精湛的匠人,每天用刀子、剪子、镊子、尺子,把送到他们面前的“人肉”切成厚度只有几毫米的小块儿。

他们还像细致的料理师,会用到烘箱、染料、专门的切片机,经过几十道工序把那几毫米的小肉块儿处理成只有几微米厚的薄片。
他们更像火眼金睛的侦探,根据显微镜下那个小小光圈里的影像,判断出病变组织是炎性病变还是肿瘤,是良性还是恶性,作出被称为“金标准”的诊断,保证病人不会被过度治疗也不会治疗不足。

没错,这群神秘的医生就是被称作“医生的医生”、隐藏在幕后的病理医生!
不同于一般的临床医生,终日与病理医生为伍的,是各种各样的人体组织、刺鼻的福尔马林(甲醛的水溶液)、冰冷的显微镜和数不尽的片子。
尽管工作环境极为恶劣、职业暴露风险很高,还是有一些病理医生苦中作乐,在诊断疾病之外化身艺术家,向我们展示了什么才是“艺术细胞”!
别致的字母表

这是病理医生Ma. Ivy Clemente的杰作。如此别致的字母,来自于乳腺纤维腺瘤和良性前列腺增生患者样本的组织病理学图像[1]。
乳腺纤维腺瘤和良性前列腺增生都是良性增生,有别于乳腺癌和前列腺癌,至于如何从病理上加以区分,那就看病理医生的了(非常欢迎病理医生留言指点)。Why君在这里倒是可以简单描述一下这两种疾病。
乳腺纤维腺瘤是一种良性的乳腺肿瘤,常见于15-35岁的女性,是年轻女性中最常见的良性乳房肿块。乳腺纤维腺瘤边缘光滑、多成圆形、无压痛,与皮肤无黏连、触摸时可移动[2]。
乳腺纤维腺瘤的病因尚不明确,可能与性激素有关。在孕期肿块可能变大,更年期性激素水平降低时可能会缩小。很多乳腺纤维腺瘤患者并不需要治疗,只需严密监测即可[2 ]。

病理医生用的切片机
良性前列腺增生(benign prostatic hyperplasia,BPH)是老年男性的常见疾病,51-60岁男性BPH患病率为40%-50%,而80岁以上男性BPH的患病率可高达80%以上[3]。
由于尿道穿过前列腺,增生的前列腺会阻碍尿液的流动,这就会让BPH患者出现尿路症状,比如尿频、夜尿增多、尿不尽等[4]。目前,BPH的治疗方式主要有药物治疗、微创治疗和手术等。
如果你觉得这张字母表刷新了你的认知,不要着急,下面还有一只你从来没有见过的“可爱”小狗呢!
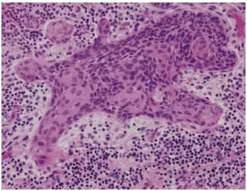
这个小狗并不可爱

这个看上去像小狗的图像其实并不可爱,它是外阴浸润性鳞癌的病理图像[5]。出自纽约表维医院(Bellevue Hospital)的两位病理医生Khush Mittal和 Deline Da Costa之手。
这张病理图片中至少有3个浸润灶,究竟分布在哪里,欢迎火眼金睛的病理医生们献上答案呀!
外阴鳞癌约占外阴癌症的90%(其他的癌症类型包括黑色素瘤、肉瘤、基底细胞癌等),多发于老年女性,而且还有一部分外阴鳞癌与人乳头瘤病毒(HPV)感染有关[6]。
手术是早期外阴鳞癌的主要治疗手段,然而由于有些老年人不愿意或者不方便到医院看病,失去了早期诊疗的机会。所以,如果家里有老人身体不适,请及时就医诊治,一拖再拖病不会自然好了,反而会加重病情。
上面两张图片都是在组织病理学中常见的病理切片结果,如果你嫌它们色彩不够绚丽,那么下面这张图片一定能让你眼前一亮!
是星空还是火山岩浆

这张看起来像星空又像火山岩浆的图片是佩吉特骨病(Paget’s disease of bone)的偏光显微照片[7]。拍下这张美轮美奂的病理图片的是约翰霍普金斯大学的病理医生Norman Barker。
佩吉特骨病又称变形性骨炎,是一种慢性老年性骨代谢病,多影响盆骨、股骨、腰椎、颅骨和胫骨。大多数患者没有症状,有些患者会感到骨痛。
该病多见于欧洲人群,而在我国很少见。据报道,80岁以上的英国男性和英国女性佩吉特骨病的患病率分别为8%和5%[8],仅次于骨质疏松。
佩吉特骨病以骨转换(bone turnover)增强为特征。所谓的骨转换就是指旧的骨质被新的骨质所代替,这个过程就像皮肤的更新一样。
在正常情况下,骨骼每年有15%的旧骨质被新骨质所代替,然而佩吉特骨病患者的骨转换速度提高了100倍以上[7],所以患者的骨骼会很脆弱,容易发生畸形和骨折。
骨质疏松药物双膦酸盐可用于佩吉特骨病的治疗,严重情况下,患者可能需要手术治疗。
如果你觉得只有这一张图片还过瘾,那么Why君就推荐给你一本书,名叫Hidden Beauty: Exploring the Aesthetics of Medical Science(某逊上有,价格不菲哦)。这本书的作者之一就是Norman Barker,懂医学的看门道,不懂医学的看看精美的图片也是不错的。
下面的这张图片也是出自Norman Barker之手,尽管色彩不够鲜艳,却也自带一种美感。
像不像水墨画

这张照片是正常人大脑神经元的显微照片,看上去颇有些吴冠中画作的感觉。图中较大的褐色圆球是神经元,而那些黑色的线条则是神经元的轴突和树突。
人类的大脑中有大概1,000亿个神经元,每一个神经元与10,000个以上的其他神经元连接,而负责神经元连接的就是轴突和树突(图中的黑色线条),它们所携带的电信号可以传达信息。
尽管我们可以用脑电图(EEG)监测神经元的信号,但是每一个神经元的活动究竟如何还是未知的。总之,大脑还有许多秘密等待着我们去发现。
最后送你一张表情包,来自意大利病理医生Vincenzo Arena的“微笑的骨小梁”[8],祝你天天开心!

小编叨叨叨
一个好的病理医生需要“阅片无数”才能作出最准确的诊断,其中的艰辛和苦闷恐怕只有病理医生自己知道。
而且,病理医生的日常远不只上文中写得那么简单。除了日常的石蜡切片,他们有时还要做术中冰冻切片,需要30分钟之内作出诊断,以便外科医生开展下一步的治疗,压力还是很大的。
此外,病理医生还要不断地掌握更多的检测技术,比如免疫组化、分子病理学检测技术等等,才能适应精准医疗的需求,这无疑又给他们增添了压力。
然而,由于工作环境差、工作压力大、工资相对较低,我们现在面临的是病理医生的严重短缺。 据悉,如果按照相关指南规定每百张病床配备1到2名病理医生的标准,那么我国的病理医生缺口高达4万-9万人。
所以,好好珍惜那些还在默默坚持的病理医生以及即将走上病理科岗位的医学生吧!
参考资料:
[1] https://lifeinthefastlane.com/glandular-alphabetum/
[2]https://www.mayoclinic.org/diseases-conditions/fibroadenoma/symptoms-causes/syc-20352752
[3] Cunningham G R, Kadmon D, O'Leary M P, et al. Epidemiology and pathogenesis of benign prostatic hyperplasia[J]. UpToDate Walth MA [Internet], 2014.
[4]https://www.mayoclinic.org/diseases-conditions/benign-prostatic-hyperplasia/symptoms-causes/syc-20370087
[5] Mittal K, Da Costa D. Invasive Squamous Cell Carcinoma of Vulva That Wanted to Be a Puppy[J]. International journal of surgical pathology, 2006, 14(4): 335-335.
[6] Kim K W, Shinagare A B, Krajewski K M, et al. Update on imaging of vulvar squamous cell carcinoma[J]. American Journal of Roentgenology, 2013, 201(1): W147-W157.
[7] Barker N, Iacobuzio-Donahue C. The Hidden Beauty in Biomedical Imaging[J]. J Vis Commun Med,2015, 38(3-4): 220-7.
[8] Arena V, Vita G, Siciliano P, et al. Images in pathology. Even the bone smiles![J]. Int J Surg Pathol,2009, 17(2): 145.