【少量心包积液】
液体仅潴留在左心室后壁和侧壁心包腔内,内径<10mm(图1)。

图1 少量心包积液的二维超声心动图表现
左心室后壁心包腔内少量液性暗区,内径< 10mm
【中量心包积液】
左心室后壁心包腔内液体增多,心尖部也可探及液性暗区,但液性暗区不越过二尖瓣环,未抵达左心房的后方,右心室前壁液性暗区宽度<10mm(图2)。

图2 中量心包积液的二维超声心动图表现
左心室后壁和右心室前壁心包腔内均见液性暗区
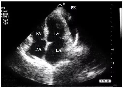
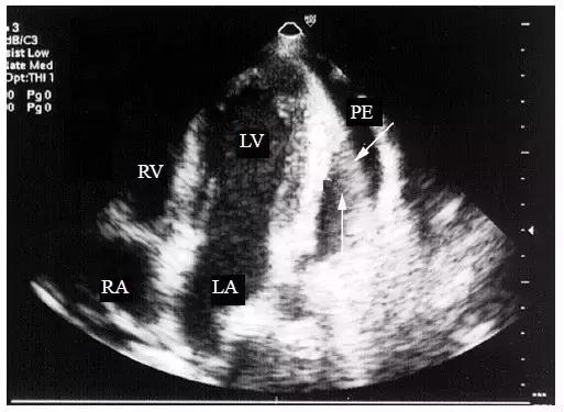
【大量心包积液】
1.整个心脏被无回声区所包绕,心尖及左心室后壁心包腔内暗区最宽(图3)。

图3 大量心包积液的二维超声心动图表现
整个心脏被无回声区所包绕,心尖及左心室后壁心包腔内暗区最宽
2.大量积液无心包粘连时,悬吊在大血管下的心脏可在液体内自由摆动,称“摆动征”,即收缩后期向前运动,舒张期向后运动,摆动的幅度与液体的黏稠度密切相关。右心室前壁活动幅度增强,呈波浪式运动,左心室后壁幅度降低。
3.将探头置于心尖部,可见暗区中出现带状强回声,即“荡击波”征(图4),若液体以渗出为主,则在液体暗区内出现有规律摆动的带状回声,形如水草或飘带(图5)。

图4 大量心包积液时的“荡击波征”
将探头置于心尖部,大量心包积液暗区中出现带状强回声,即“荡击波”征(箭头所指)

图5 大量心包积液的飘带征
若液体以渗出为主,则在液体暗区内出现有规律摆动的带状回声(箭头所指)
更多精彩!请关注微信公众号“超声掌中宝”