超声声像图特征
1. 浆膜下肌瘤
子宫增大,形态失常,浆膜向外呈圆形或半圆形突出,呈弱或中等回声,局部加压扫查,动态观察,瘤体与子宫无分离现象。CDFI 检测: 瘤周呈现环状血流信号,并向瘤体延伸。浆膜下肌瘤突入子宫两侧阔韧带称为阔韧带肌瘤,常显示为子宫一侧实质性圆形肿物,体积较大,仅一蒂状与子宫相连,易变性;蒂部彩色血流信号来源于子宫,其彩色血流信号环绕瘤体。


2. 肌壁间肌瘤
多呈低回声,大小不一,包膜完整,瘤体与宫壁正常肌层间界限清晰,周围显示环状彩色血流信号。肌瘤较大时,可压迫和推挤宫腔,使宫腔内膜回声移位或变形。
3. 黏膜下肌瘤
子宫内膜变形或缺损,内膜下肌层可见低回声结节突向宫腔,肌瘤完全突入宫腔时,宫腔内显示实性占位,但肌瘤与宫腔内膜间有裂隙,呈现“宫腔分离征”。CDFI 检测:瘤体周边呈环状或半环状血流信号,内部呈条状血流信号。

4. 肌瘤变性
以玻璃样变、囊性变、钙化多见。玻璃样变一般多为4 cm 以上的大肌瘤内出现无回声区, 边缘不甚清晰,后方回声增强。而囊性变则表现为边界清晰的圆形无回声区。肌瘤钙化表现为强回声的光团或弧状光带,后方伴声影,绝经后子宫肌瘤多见。肌瘤局限性脂肪变性可表现为强回声,但无声影。肌瘤红色变性与妊娠有关,声像图表现为液化。绝经后子宫肌瘤增长迅速,内部回声不均,边界不规则应考虑肉瘤变性可能,此类少见。
鉴别诊断
(1)子宫腺肌症:不典型子宫壁间肌瘤超声诊断时需行多切面扫查,观察肌瘤的被膜回声,借助CDFI 检测,肌瘤周边呈现环状血流信号,有助于子宫腺肌症鉴别。
(2)卵巢实性肿瘤:阔韧带肌瘤需与卵巢实性肿瘤相鉴别,仔细查找肌瘤蒂部与子宫相连。若能探查到肿物同侧的卵巢可排除卵巢肿瘤的可能。
(3)子宫内膜息肉:完全突入子宫腔内的有蒂黏膜下肌瘤需与子宫内膜息肉相鉴别。子宫内膜息肉常呈舌形或椭圆形,无被膜,蒂部子宫内膜连续,结节内常见有小无回声区。黏膜下肌瘤常成圆形或椭圆形,多为实性回声,基底部子宫内膜断开,结节表面在基底部与子宫内膜相延续。子宫腔超声造影有助于鉴别诊断。
(4)子宫肥大症:现子宫肥大症为子宫均匀性的增大,并且宫壁的回声均匀,和周围的组织有清晰的界限,弓状血管处的血管呈充盈状,多见于多产妇或者卵巢功能有障碍的患者。B超检查不到肌瘤结节。
临床知识
子宫肌瘤又称子宫平滑肌瘤,是女性生殖器官中最常见的一种良性肌瘤,好发于30 ~ 50 岁的育龄妇女。由不同类型的子宫肌瘤可表现出月经过多、下腹部包块或排尿、排便困难等临床表现。肌瘤由子宫平滑肌细胞增生和结缔组织纤维组成,其周围有由被压缩的肌纤维所组成的假包膜,较大肌瘤,尤其是带蒂的浆膜下肌瘤,由于供血不足可造成缺血、坏死产生变性。常见变性有水肿、玻璃样变、囊性变、钙化及脂肪变,少数有红色变性及肉瘤样变。根据子宫肌瘤生长部位,可分为肌壁间肌瘤、浆膜下肌瘤、黏膜下肌瘤。

经典病例
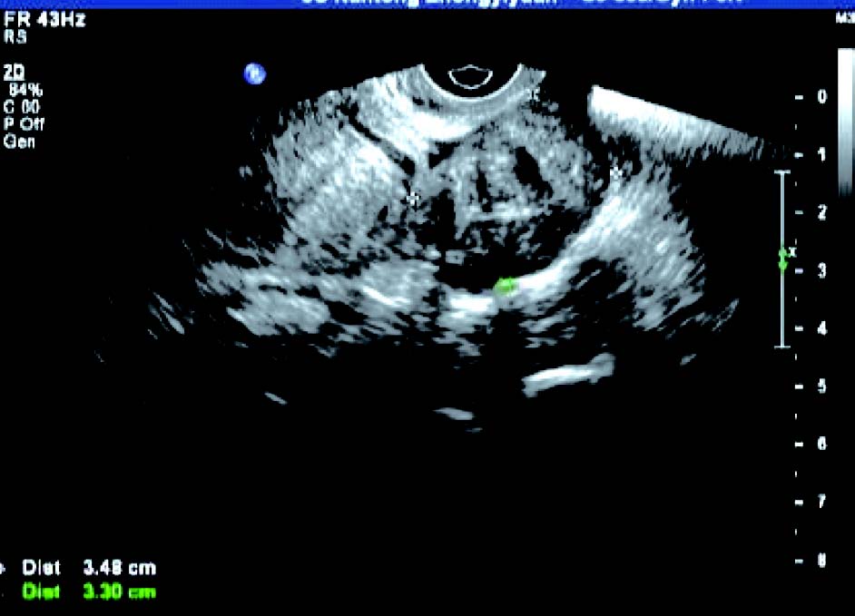
患者,女,42岁,常规体检。超声检查声像图显示:子宫前位,三径正常,边界清,子宫内膜欠清。肌内可见多个低回声包块,较大者约1.7cm×1.4cm(前壁)、1.8cm×1.4cm(前壁)、1.9cm×1.4cm(后壁),边界清,有假包膜,内部回声均匀,子宫边界规整。CDFI探查:较大团块周围见半环状彩色血流信号。包块内未见彩色血流信号。宫腔内可见节育器影像,距宫底约1.5cm。
超声提示:子宫肌瘤(肌间);宫内节育器,位置正常。
总结点评
超声诊断子宫肌瘤的符合率高达90% 以上。二维超声能清晰显示肌瘤的部位、大小、数目、肌瘤与子宫内膜及邻近脏器的关系,CDFI 能显示肌瘤的血供,为临床决定治疗方案或评判介入治疗疗效提供了可靠依据。
更多精彩!请关注微信公众号“超声掌中宝”