“杨大夫,我的宫颈发现了囊肿,还有好几个,怎么办?”,这是很多女性做了子宫核磁之后经常会问道的一句话。
目前在临床上,不管患者年龄大小,也不管是否生育过,只要一做盆腔核磁,绝大多数女性都会被报告有宫颈囊肿,很多病人特别惧怕。据说,还有不少女性朋友在不正规的医疗或非医疗机构治疗纳囊,被骗好几千块钱的。

其实,大多数的宫颈小囊肿,根本不需要处理。
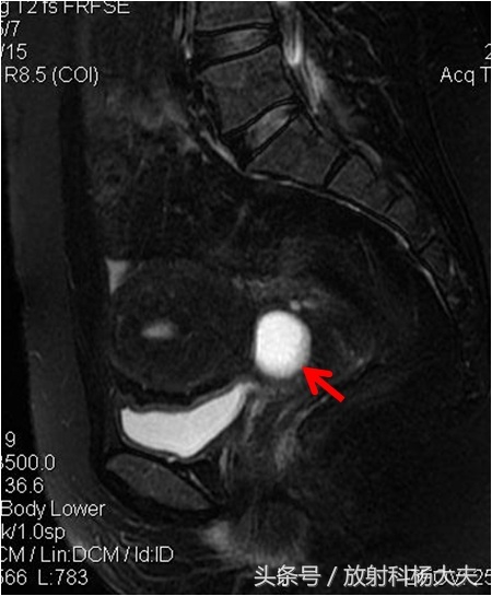
宫颈囊肿又叫宫颈纳氏囊肿,宫颈纳氏囊肿(可称“那囊”也有叫纳囊的)同宫颈糜烂、宫颈息肉一样,是慢性宫颈炎的一种表现。宫颈长3厘米左右,上端与子宫相连,下端在阴道的最深处。宫颈表面有腺体,可以分泌粘液。当子宫颈受到损伤或者发生炎症时,在修复的过程中,腺体的开口被新生的上皮组织堵塞,分泌的粘液不能顺利地流出来,就形成了所谓的“囊肿”!在核磁上,这种囊肿因为含水丰富,在T2WI上呈白白的高信号,里面信号很均匀,做了增强扫描,也不会发现里面有异常强化。当然,也可以分辨是否合并感染。周围有无肿瘤等等。

所以,宫颈囊肿属于良性病变,本身有没有症状,也不会继发癌症,同时因为生长部位的特殊性,一般也不会生长的很大,因此,单纯的宫颈囊肿是不需要治疗的。
但宫颈囊肿的病人,如果同时合并HPV高危型感染,宫颈上皮细胞发生癌前病变时,这些上皮病变会沿着上皮基底膜向那氏腺生长,病变的上皮将那氏腺上皮细胞取代,这种情况下就必须处理,否者日后就有发展为宫颈癌的机会。因此,当你被发现有宫颈囊肿,不要过于害怕,也不要轻视,应当在有经验的医生的指导下观察或治疗。
但在核磁上,准确诊断宫颈纳囊是第一步。因为还有一些非常少见的情况需要与宫颈囊肿区分,比如子宫内膜异位症发生在宫颈时也可表现为囊,但跟纳囊比较,其信号往往复杂,而且掺杂出血,容易鉴别。

话说回来,为什么这个在核磁上敏感,而CT上不容易发现呢?这是因为核磁对软组织的分辨率要远远高于CT。因此对于子宫,前列腺等男女生殖器官,用核磁是首选的诊断手段。而另一个很重要的方便,无电离辐射的手段就是B超了,后者多用来进行筛检,发现病变无法确诊的时候,也需要选择核磁。