【摘要】主动脉壁内血肿是急性主动脉综合征的病理学谱系之一,有进展至主动脉夹层、动脉瘤、破裂和其他并发症的风险。CT检查可以识别与较高并发症风险相关的成像特征。溃疡状血肿、主动脉直径增宽、血肿厚度逐渐增加和Stanford A型血肿与并发症的进展相关。血肿内血池(blood pool)和相关胸腔/腹腔积液的重要意义不太确定。详细评估主动脉壁内血肿CT资料可以提供对患者管理有影响的重要预后信息。
- 背景
主动脉壁内血肿(IMH)是有致命可能的主动脉壁中血栓形成。此情况是构成急性主动脉综合征的疾病之一。根据主动脉夹层国际登记处的资料,急性IMH占急性主动脉综合征病例的5.7%,其发病率和死亡率可能与主动脉夹层相似。患者通常伴有严重的急性胸痛或背痛,可能伴有晕厥、脑血管意外、心肌梗塞或心力衰竭。
主动脉壁内血肿的经典定义是在没有内膜破裂的情况下,滋养血管破裂导致的血肿形成。然而,IMH也可能发生在由于穿透性动脉粥样硬化性溃疡引起的主动脉内膜破裂。主动脉壁的削弱可能导致急性主动脉夹层、动脉扩张或破裂。这些并发症很常见,发生在28%至56%的IMH患者中,并且与非侵入性成像中的各种发现有关。本综述的目的是总结有关IMH患者高风险CT成像特征。
- CT检查
应用广泛、检查快速、高分辨率和可以完成对胸腹主动脉及主要分支血管的解剖评估,这些特性使得多排CT血管造影成为评估疑似急性主动脉综合征患者的首选方法。平扫CT,急性IMH典型特征为主动脉壁内血肿导致的连续高衰减(60-70 HU)增厚主动脉壁。经典的新月形,可以是部分主动脉壁增厚,也可以是近乎全程主动脉壁增厚。主动脉增强CT,血肿与造影剂增强的主动脉腔相比较不明显。因此,疑似急性主动脉综合征患者应进行初始平扫CT成像,以识别主动脉壁内的高密度微小区域,在静脉造影增强后可能会被掩盖。在一些IMH病例中存在增厚的主动脉壁内有造影剂,可能与溃疡状突起(ULPs,也称为内膜糜烂Intimal Erosions)、主动脉内膜穿透性溃疡或主动脉分支动脉破裂导致的壁间血池有关,第3节对此作了更详细的解释。主动脉壁内血肿是继发穿透性溃疡的情况下,CT可用于定位内膜破口位置,通过血管内支架介入治疗可以隔绝内膜破口。
除了标准轴向图像外,仔细阅读二维多平面重建图像和三维体积重建图像对于主动脉评估也至关重要。特别是,鉴于轴向图像有高估主动脉直径的趋势,使用手动重建的双斜图像对于精确测量主动脉直径是必要的;从软件辅助中心线重建中获取的图像可用于生成可靠、可重复的测量值,并仔细评估主动脉腔直径的变化。表1详细介绍了典型的CT成像参数。如果怀疑或已知累及升主动脉或主动脉弓,则应使用心电图门控获取增强CT图像,以减少与心脏运动相关的伪影。
- 高风险成像特性
- 1 溃疡状凸起
1997年,Sueyoshi等人基于CT检查将IMH之一的溃疡状凸起(UlPs)定义为局部含血的突起,从主动脉腔内突出到含血栓的主动脉壁,增强CT检查其增强程度与主动脉腔相同(图1)。这一发现不是穿透性动脉粥样硬化性溃疡(PAU)的同义词,PAU被定义为主动脉粥样硬化斑块溃疡,血液通过内膜溃疡进入主动脉壁。PAUs 与 IMH 患者在高机械应力区域中产生的内膜溃疡或内膜再次撕裂不同,后二者与动脉粥样硬化性疾病无关。在没有病理学评估的情况下,区分这两个病变可能很困难,一些研究IMH中主动脉壁增强的文献使用成像术语ULP来包括两个病变。其他研究者根据有无合并动脉粥样硬化疾病对PAU与内膜溃疡的增强CT作了具体区分。为了本次综述的目的,我们使用 ULP 作为涵盖两个病变的广义术语。UlPs 与主动脉腔有着广泛的联系,应区别于主动脉壁内其他类型的增强,如主动脉壁内血池(如下所述)。壁内血池与主动脉腔有狭窄的血流相通,或者没有明显的血流连接,另一典型特征是主动脉分支起始部位。

主动脉壁间血肿溃疡状凸起
图1 一名42岁的妇女在休息时出现胸痛。轴向 (A) 和冠状 (B) 方向上的增强 CT 图像显示为 A 型主动脉壁内血肿,升主动脉壁内有类似溃疡的小投影(箭头)。
近年来,与 IMH 相关的 ULP 患者被证明在 IMH 的众多并发症中的风险增加,包括动脉瘤、夹层、破裂、主动脉壁厚度增加、需要手术和死亡。几项研究表明,ULP最常见的不良后遗症是发展成动脉瘤,这可能发生在早期(诊断后30天内)或后期随访期。ULP 的存在可能独立于其他风险因素预测并发症,无论在初始评估中是否确定了 ULP,还是后续评估的新发现。
在一些研究中,ULP直径和深度越大,并发症的风险就越大。这些研究建议对ULP直径(10-20毫米)和深度(5-10毫米)进行分类,以识别IMH相关ULP患者,这些患者更有可能进展于其他并发症,如夹层、动脉瘤和破裂。位于升主动脉和主动脉弓的UlPs更普遍地增大并进展到并发症(图2)。

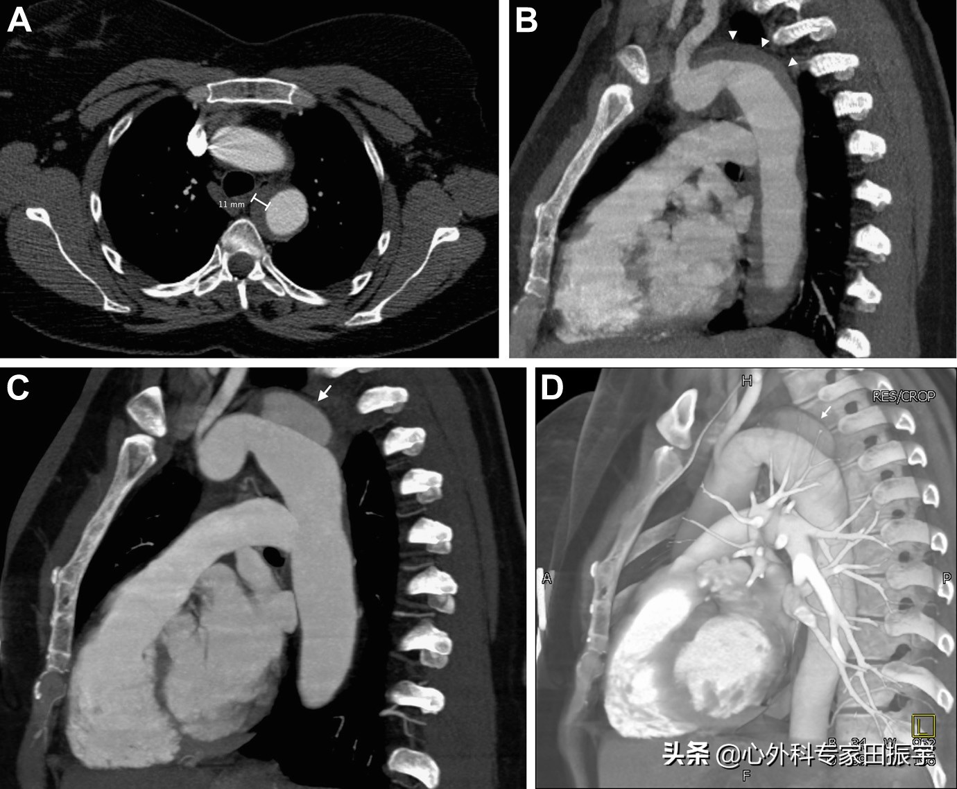
升主动脉溃疡
图2 一名64岁男子突然出现心前区疼痛。增强CT图像显示升主动脉前外侧壁A 型主动脉壁内血肿,微小的溃疡状投影(箭头)(A)。患者住院期间介入治疗直径6厘米肾动脉开口下的主动脉瘤。2个月后的随访增强CT图像显示,溃疡状投影(箭头)的动脉瘤扩大至11毫米深度,轴向(B),冠状方向(C)。通过三维体积重建图像 (D) 的倾斜方向部分显示溃疡状投影(箭头)与主动脉瓣的关系。这种大于10mm的溃疡状投影更有可能进展为其他并发症,如夹层、动脉瘤和破裂。
3.2 动脉瘤样扩张
IMH患者主动脉的最大直径已被确定为不良事件的预测,如进展为夹层、手术干预、破裂和死亡。针对Stanford A型IMH患者的研究发现,最大主动脉直径大于48至55毫米可以预测不良事件(图3)。针对Stanford B型IMH患者的研究发现,直径大于41毫米可以认为患者存在不良后果的高风险。

升主动脉壁间血肿
图3 增强的轴向CT图像从一名64岁患者胸部的CT血管图获得,有“腹部主动脉瘤”修复病史,显示有A型壁间血肿,主动脉直径为51毫米。这种增宽的主动脉直径 (大于48 mm) 预测了夹层、手术、破裂和死亡等进展风险增加。
主动脉直径预测不良事件,而不考虑多个研究中的其他潜在风险因子。无论是Stanford A型还是B型IMH,较小的最大主动脉直径意味着 IMH可以吸收。
3.3. 壁间血肿厚度
来自Stanford A型IMH的药物治疗患者的数据表明,CT测量上壁间血肿厚度的增加与夹层、主动脉扩张、手术干预、破裂和死亡有关。血肿厚度 大于11 到 16 mm 已被证明可以识别这些并发症风险增加的患者,IMH 厚度预测不良事件与最大主动脉直径无关(图 4)。相反,壁间血肿厚度为 小于10 至 11 mm,可预测 30 天内出现并发症的风险较低,IMH 吸收的可能性更大(图 5)。

主动脉壁间血肿
图4 一名43岁妇女出现急性背痛和高血压危象。增强CT的轴向(A)和矢状多平面重建(B)CT 图像显示 B 型壁间血肿,血肿厚度为 11 mm(箭头)。3 个月后随访增强CT多平面重建图像(C)和三维体积重建图像(D)显示主主动脉弓远心端发展成假性动脉瘤(箭头)。

主动脉壁间血肿
图5 在一名45岁女性胸痛,可疑主动脉夹层,胸部平扫轴向CT图像显示,一种A型主动脉壁间血肿(箭头)厚度为6毫米。
3.4 Stanford分型
主动脉壁内血肿通常根据Stanford用于主动脉夹层的分型方法进行分型。Stanford A IMH 累及升主动脉(无论是否累及降主动脉)(图 6),而Stanford B IMH 不累及升主动脉(图 4)。Stanford B IMH似乎在大多数研究中略为常见,通常占大约60%的病例。

主动脉壁间血肿
图6 在一名59岁突发胸痛和高度怀疑主动脉夹层的59岁妇女身上获得的平扫CT(A)和增强CT图像(B)显示,A型壁间血肿既累及升主动脉,也累及胸降主动脉,并伴有相关的双侧胸腔积液。这些积液的预后意义仍不清楚。
确诊IMH的类型具有预见预后和指导治疗的意义。Stanford A型IMH与B型IMH(图7)相比,A型IMH与心包/胸腔积液、夹层、动脉瘤形成、破裂和死亡的风险增加有关。然而,与Stanford A型主动脉夹层治疗不同(外科手术是标准),在Stanford A型IMH的治疗中仍然存在争议。虽然韩国和日本的研究表明,在A型IMH中,初始药物治疗的结果可以接受,但北美和欧洲的研究更经常推荐手术治疗。

主动脉壁间血肿
图7 一位81岁男子突发胸骨下段疼痛、呼吸困难和出汗。轴向 (A) 和斜 (B) 方向的增强CT图像显示 A 型壁间血肿(箭头),累及右冠状动脉(箭头)。
3.5 主动脉壁内血池
最近文献论述了主动脉壁内血池或主动脉壁内血肿增强的区域。与ULP不同,这些小的造影剂区域要么与主动脉腔有狭窄的连接,要么与主动脉腔没有可识别的连接(图 8)。根据尸检结果,这些病变被称为主动脉分支破裂或主动脉分支假性动脉瘤。CT显示这些病变通常位于腰动脉或肋间动脉起始部,并且更常见于 IMH 厚度增加的患者中。具有多平面的主动脉壁内血池的IMH被描述为"中国环刀征”(Chinese Ring-sword Sign),这些壁内血池的预后仍不确定。主动脉壁内血池的存在与不良事件没有既定的关联。Park等人在2011年发现主动脉壁内血池中的”造影剂”与局部夹层的发展有关,然而,这个组研究对象包括主动脉壁内血池患者和ULP患者。

Chinese Ring-sword Sign

主动脉壁间血肿
图8 一名58岁妇女出现胸痛和两肩胛间疼痛。轴向(A)和矢状(B)方向的增强 CT 图像显示胸降主动脉有几个主动脉壁内血池(箭头)。6个月随访增强CT显示矢状方向的壁内血肿的吸收与胸主动脉下段的壁内血池依然存在(箭头)。
3.6 胸腔/心包积液
胸腔/心包积液都与IMH并发症增加有关,如夹层、动脉瘤、手术干预和死亡。然而,在这些研究中,多变量分析发现无一文献支持胸腔/心包积液是一个独立的危险因素。相反,同样数量的研究发现,胸腔/心包积液与IMH并发症之间没有关系(图6)。出血性与非出血性胸腔/心包积液的预后意义尚未研究。
4. 结论
心胸CT检查在评估急性主动脉综合征患者方面的作用始于适当的检查设计和使用先进的图像处理显示技术来优化IMH的检测和诊断。掌握高风险IMH的CT影像学知识对于为外科医生提供适当的患者分类和治疗决策的必要信息至关重要。