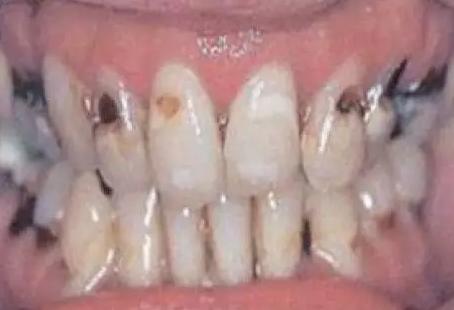
众所周知,*毒冰**是一种通过化学物质合成的兴奋类*品毒**,长期滥用会对大脑及中枢神经系统造成很大的伤害,同时还会对血汗管系统、呼吸系统产生不良影响,但最明显的症状还是*毒冰**吸食者嘴巴里的一口烂牙,医学界称之为“*毒冰**牙”或“*毒冰**口”。

“*毒冰**牙”特指发生于*毒冰**吸食人群的一类特征性口腔龋损表现,此类龋损多呈广泛性破坏,且多见于牙齿的唇颊面,龋损多波及牙颈部与楔状缺损连成一片,严重时龋损可波及唇颊侧牙面的一半或以上,甚至整个牙面,牙齿容易折裂。此类龋损呈深褐色,严重者为黑色。其表现很像儿童龋病中的猖獗龋、奶瓶龋。与普通龋坏主要累及后牙不同,“*毒冰**口”最常累及前牙。
需要说明的一点,吸*毒冰**成瘾者的“*毒冰**牙”,如果没有戒除,基本不可能通过治疗修复,只会越来越腐烂,最终完全脱落。
为什么会产生“*毒冰**牙”?
*毒冰**之所以会让吸食者牙齿腐烂,与其化学特性有很大的关系。*毒冰**呈酸性,具有腐蚀性,因此吸食者会把加热后的*毒冰**烟雾用水过滤后吸入体内,尽管如此,烟雾中的腐蚀成分依然会与牙齿接触产生作用,导致牙齿腐烂。

另外,由于*毒冰**吸食者长期沉迷*品毒**之中,对个人卫生不怎么重视,例如几天不刷牙是常事,加上*毒冰**直接刺激上呼吸道粘膜形成粘膜的溃疡,造成口腔内菌群失调,很容易出现牙龈出血等严重的炎症,进而牙龈萎缩、牙齿腐烂、松动。
还有一个原因,就是由于*毒冰**吸食者常常处于兴奋状态,体能消耗非常大,因此对高糖、碳酸饮料(可乐之类)的需求会比正常人多。众所周知,含糖的碳酸饮料本身就有可能会导致龋齿,这种双重毒害下,大大增加牙体组织的破坏力。
“*毒冰**牙”的产生虽然与*毒冰**本身的关系是主要原因,但由它引发的其它的的原因也起到了很大的“辅助”作用。
“*毒冰**牙”会有哪些症状
干口症
人类口腔中的唾液的分泌,保护了我们的口腔健康,作为缓冲液,它可以稀释我们饮食中的酸类,避免口腔细菌的滋生。但*毒冰**能抑制唾液分泌,导致口腔产生大量细菌,损坏保护牙齿的牙釉质,导致出现龋齿。
*毒冰**戒断应激反应也会抑制唾液的分泌。德国研究机构对100例*毒冰**吸食者进行调查中,其中72%的人自述自己有口干症。而美国某研究机构对459名*毒冰**吸食者进行调查发现,唾液量少的*毒冰**吸食者人数是对照组的4.4倍,吃饭时经常感觉口干的人数是对照组的7.2倍。
牙隐裂
*毒冰**吸食者经常处于焦虑、亢奋或紧张的情绪中,很容易到他们在夜间睡觉磨牙。这点可以从他们的牙齿看出明显的磨耗痕迹。长期的磨牙,导致牙冠表面发生不易发现的非生理性细小裂纹,一旦用力过度,牙齿就会出现隐裂。

龋齿
*毒冰**吸食者兴奋之余常需要一些吃含糖量高的食物或碳酸饮料补充体能,加上不注重个人卫生,口腔内里会滋生大量糖类为生的细菌,并分泌酸性物质,使牙齿损坏更严重,出现龋齿,通常会从牙龈边缘发展到整个牙齿,前牙首当其冲。
牙周病
长期吸食*毒冰**,会使口腔组织的血管收缩,血流量减少。由于牙齿和牙龈都需要血液来保持健康,一旦出现血流量减少的情况,很容易就引发牙周病,导致口腔组织坏死。
"*毒冰**牙"的几个阶段
第一阶段
*毒冰**吸食者的口腔中经常会出现难闻的“金属气味”,这是含有酸性的化学成分附着在口腔中,导致口腔内菌群失调,同时也是牙龈病变的征兆,龋齿也逐渐产生。

*毒冰**牙的第二阶段
*毒冰**会降低滥用者的抵御感染和伤口自愈的能力,产生的后果就是吸食者的嘴唇、牙龈、内颊侧或硬腭等处容易出现伤口或者烧伤痕迹。一旦出现这种情况,就意味着牙龈开始退缩,龋齿变得越来越严重。
*毒冰**牙的第三阶段
当龋齿发展到牙龈边缘以下时,牙齿出现大面积缺失,而此时的嘴唇伤口非常明显。如果不停止吸食,继续恶化的后果就是剩余的牙齿完全脱落,最终只能像老人一样,余生使用假牙套。
*毒冰**不仅对口腔及牙齿破坏非常大,同时会对骨骼系统、免疫系统都造成危害,增加口腔感染的风险,长期刺激口腔黏膜会导致产生口腔癌几率的大大提升。