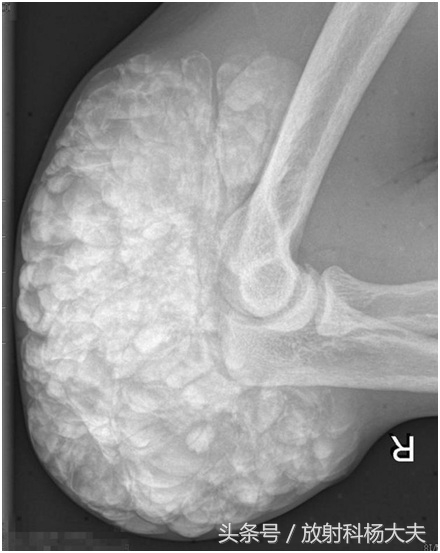
刘叔今年50岁,刘叔是赫赫有名的农村致富能手。12年前发现右侧肘部及前臂皮下多个质软结节,无明显红热痒痛现象,肘关节活动正常,随时间推移,上述结节逐渐增大,后沿尺骨方向逐渐形成成块并影响肘关节活动。刘叔半个月前来我院就诊。骨科专科检查:包块长度约10cm,宽度5.5cm,触之硬韧,边界不清,并轻微压痛。x线片:右肘关节各构成骨未见增生、破坏等骨质异常X线征,右肘关节旁软组织中可见团状阴影,团块由大量大小不一结节状高密影融合而成的。

在骨关节的X线片上,通常在骨骼或骨骼边上看到这种高密度的类似骨骼一样东西,我们会考虑哪些?骨肉瘤,软骨肉瘤,创伤性骨炎,还有某些疾病引起的钙化,骨化等等。
一周前,刘叔通过手术把肿物切除了,肿物也送去病理检验。病理报告示:致密的纤维结缔组织中可见大量钙盐沉积,周边可见异物巨细胞反应的肌纤维母细胞增生,符合软组织肿瘤样钙化。临床诊断:肿瘤样钙质沉着症。

这是一种罕见病,很多放射科大夫可能并不会遇到很多,但有时候我们仅仅需要在文献,或某次读片或会议上见到别人分享过一例,就可能留下深刻印象,继而在遇到此种病变的时候得出诊断结论。关注我说的是一例就行。反之,AI呢?且不说目前多数的AI需要较大的样本量训练,如果仅仅是看图说话,恐怕很多的病无法真正准确的诊断,比如肺部的病变,腹部的病变,神经的病变等等,不一而终。
我们通常怎么分析呢?除了影像上能看到的信息,一定要结合病人年龄、症状,病史,甚至一些化验检查等综合进行分析。这仅仅是放射科不是看图说话的一个例证。
比如,下面的图,都是恶性的。


话说回来,什么是肿瘤样钙质沉着症(TC)?这是一种发生于大关节周围与肿瘤相似的特发性钙质沉着。WHO软组织肿瘤学分类命名为“肿瘤样钙化”。临床上比较少见,易发生漏诊和误诊,由imclan最早命名此病。本病发病原因不明, 可能与下列因素有关:①钙磷、胆固醇代谢异常;②关节附近胶原纤维对刺激所作出的反应性钙化;③遗传因素, 认为是一种常染色体显性遗传性畸形所致,与遗传相关的家族性肿瘤样钙盐沉着症(FTC);④外伤因素,为反复轻微损伤造成局部营养障碍而引起。
TC可发生于任何年龄,但以10-20岁为多,女性多于男性,家族性发病者占33%-50%。TC多见于儿童和青少年,无明显的性别差异。目前病例报道多集中于黑色人种,在非洲和新几内亚多发,欧洲和北美洲较少。常见于大关节附近,特别是髋、肩、肘等部位,而手、足和膝关节周围少见。TC临床主要表现为生长缓慢的无痛性肿块,质硬,关节部位疼痛,严重者可影响关节活动。

关于本病的发病机制,目前认为,病灶处存在大量壁菲薄、通透性高的毛细血管,血液往复循环于其中时携来丰富的钙及磷酸根离子,免疫组化显示病变钙化灶边缘的组织细胞样细胞源自中胚叶,为前骨母细胞,其主要产生碱性磷酸酶而不产生有机的骨基质。因而在局部促成大量钙质沉着, 但无骨化改变。
X线检查是诊断TC的基本方法, 其表现为关节旁关节伸侧软组织中, 呈大小不一的钙化结节集结而成的分叶状团块,呈“卵石样”,“桑葚状”,范围较广者可呈“流注状”;病变一般不累及邻近关节或骨骼。CT与X线平片表现一致,但CT对病变部位、形态及范围的显示更为全面, 能清楚显示病变与邻近关节及骨骼的关系。MRI具有多参数、多序列、多方位成像的功能,可根据信号判断组织成分,。能多方位显示病变不累及关节或骨骼, 对诊断有较大帮助。
本病的治疗方法主要是手术切除,早期切除可避免复发及后遗症。