
妈妈这个词,只是叫一叫,也觉得喉间哽咽。妈妈,最有力量的名字。
——《请回答1988》
都说分娩疼痛为最高级别十级,可是有过生产经历的妈妈们都知道,产后几个月,还有各种疼痛接踵而至,伤口疼、腰胯部痛、乳房胀痛、乳头皲裂、耻骨联合分离痛、手腕痛等等,严重的甚至影响了日常生活,让新妈妈苦不堪言。今天我们来了解下,产后可能要经历的十大疼痛,提早预防并熟知护理方法,尽量减少疼痛的发生。
1.伤口痛

产后伤口分为两种:一种是顺产可能会经历的会阴侧切;另一种就是剖宫产的刀口。剖宫产的刀口不难理解,那顺产为什么还要侧切?这主要是因为胎儿比较大,而产妇的产道狭窄,为了避免在生产过程中造成更大程度的撕裂,医生会采取侧切的手段。
顺产侧切时会有麻醉,只是随着麻醉效果的减弱,产后的一周会很煎熬。同样,剖宫产麻药退去,伤口的痛一点都不比顺产轻松。刀口疤痕组织的主要成分是胶原纤维。随着时间的推移,疤痕组织会被吸收,从而使疤痕组织变软、变小,疼痛感减轻或消失。
2.阴部疼痛
自然分娩的妈妈对这一点深有体会。产后从阴道一直到直肠部位都可能有痛感,因为这些部位是胎儿娩出的必经之路,生产时这些部位的肌肉因扩张而出现不同程度的肿胀、淤血和损伤,从而留下产后阴道痛,大笑、打喷嚏和大声说话时痛感更明显。
3.腰部疼痛
一直以来产后腰痛出现的频率都是极高的,被称为头号“月子病”,为什么产后腰痛这么普遍?
其实产后腰痛的原因有很多,比较典型的比如骨盆倾斜、骶髂骨关节炎症(髂骨致密性骨炎)、腰椎间盘突出等等。很多剖宫产的妈妈反应明显感觉到腰部打麻药的地方周围发凉并且疼痛,这种腰痛也相对不容易解决。还有一点需要警惕的是一系列内科以及妇科炎症,也是造成产后腰疼的重要原因。

由于孕激素的作用以及腹部膨隆使腰背负载增加,腰椎会变得不太稳定,参与腰椎活动的周围肌肉也会在漫长的十月怀胎中变得异常劳累。再加上缺乏运动或者育儿姿势不正确,几乎一半以上的产后妈妈都会被产后腰背痛纠缠。
关于产后腰骶部疼痛,后续会专门一篇文章来说说。
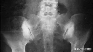
4.耻骨联合分离疼痛
耻骨联合分离是指,骨盆前方两侧耻骨纤维软骨联合处分离。距离增宽成为耻骨分离;上下错动成为耻骨交错。
正常人耻骨间隙约4~5mm,没有上下错位的现象。为了更顺利的生出宝宝,准妈妈耻骨联合处会生理性增宽,当耻骨联合距离增宽超过10mm或上下错动而出现局部疼痛和下肢抬举困难等功能障碍,就是耻骨联合分离了。

最常见也明显的症状就是孕期和产后的鸭子步、外八字、排尿困难或尿*禁失**等等。很多妈妈常常因为耻骨联合分离痛到迈不开腿、痛到站不起来、痛到下不了床,丝毫不夸张。
5.腹痛(子宫复旧不良)
在产后2~4天,由于子宫收缩,下腹部会出现一阵阵疼痛,这种疼痛在母乳喂养时会更明显。子宫收缩的目的是防止子宫出血过多,并促进恶露排出,疼痛一般在产后3~4天自然消失。
通常来说,产后恶露从血性恶露到逐渐消失需要4-6周,过早或者时间延长都会影响并说明子宫复旧不好。产后恶露不净有可能导致局部和全身感染,剖宫产所导致的产后恶露不净还容易引起切口、感染、裂开或者愈合不良。
6.骨盆倾斜、变形、移位
随孕期宝宝增大,准妈妈重心逐渐前移,多数会出现骨盆向前倾斜同时腰椎被抻拉向前,胸椎向后的骨盆前倾状态。
骨盆前倾最明显的症状是臀部后凸,平躺时腰后部拱起像一座拱桥,严重的妈妈甚至根本无法平躺,这时就要关注很有可能是骨盆前倾了。骨盆长时间前倾,不但影响美观,严重会加重下背部及颈部的负担,造成腰背痛和肩颈酸痛等问题。

当你发现你存在长短腿,剃刀背,高低肩,那么极大可能性你已经存在骨盆倾斜了。除了前倾后倾,骨盆还会出现左右倾斜、变形或者移位。不仅影响外观,还导致腰腹部脂肪堆积,引发腰椎间盘突出、臀肌或腿部肌肉萎缩、脊椎侧弯胸部疼痛、高低肩等各种疾病。
7.乳房胀痛、乳头皲裂
几乎所有的新手妈妈都会经历乳房胀痛,由于激素的作用,分娩后2~3天,乳房逐渐分泌大量乳汁,这时候妈妈们感觉乳房硬如石头,甚至红肿发烫,非常疼痛,有时胳膊都没有办法抬起。这主要和乳腺管没有彻底疏通有关。如果乳腺管尚未完全畅通,导致乳汁不能顺利排出,或者乳汁分泌过多超过宝宝需求,就会潴留于乳房内,引起乳房发胀与刺痛。
母乳的营养非常丰富,很多妈妈都愿意让孩子吃母乳。但是娇嫩的乳头之前哪里受过反复吮吸的折磨,乳头皲裂那是真心的疼,眼泪都出来了。
8.“妈妈手”腱鞘炎
妈妈手,又称为狭窄性腱鞘炎。由于孕产期体内荷尔蒙变化,引起手腕韧带水肿,肌腱变得脆弱;加上抱宝宝的时间太久、姿势不当,造成手腕肌腱劳伤,临床上称为“腕管综合症”。

频繁使用手腕,会造成肌腱和腱鞘摩擦,严重时就会出现充血、水肿、渗出等无菌性炎症,通常表现为手腕疼痛、手指无力,有些比较严重的妈妈连换尿布都痛得掉眼泪。
9.同房之痛
不少顺产的新妈妈表示,产后*生活性**时会很痛。产后的*交性**痛原因有很多,比如受激素影响,阴道会较干涩,润滑不足产生疼痛;顺产时做了会阴侧切,伤口愈合的时间延长或愈合不良导致疼痛;以及盆底肌劳累、阴道痉挛等等,再加上分娩时的疼痛记忆,同房并不会很顺利。
这时也希望宝爸多多理解。有时,亲吻、拥抱、爱抚都是夫妻之间的良好互动,多多给与宝妈身体和心理上的关怀,宝妈会更快更好的恢复状态。
10.产后抑郁
千万不要轻忽了产后妈妈的心理之痛。产后抑郁的发病率高达15%~30%,典型的产后抑郁症可自行恢复,但严重的也可持续1~2年甚至更长,再次妊娠则有20%~30%的复发率。
产后抑郁的原因很复杂,但主要是身体激素水平的变化和情感因素造成的。产后,体内雌激素和孕激素急剧下降导致情绪波动大,此外,甲状腺素也会急剧下降,使你感到劳累、迟钝和沮丧。新手妈妈通常得不到充足的休息,面对一个小生命各种强烈的情感混合在一起,兴奋、欢喜、恐惧、焦虑。还有很多妈妈担心自己照顾宝宝的能力,特别想要获得家人的认同,爱人的关怀。
所以也建议产后妈妈能多将自己的想法与爱人朋友沟通,或者加入一些妈妈互助团体,多向其他妈妈讨教经验等等。

从怀孕到分娩再到养育,妈妈们可谓是经历了不少的磨难。但看着怀中宝宝安睡的天使模样,笑起来清澈的眼神,听到宝宝奶声奶气的呼唤“妈妈”……那心中的喜悦可以冲淡所有的疼痛和烦恼,这种幸福大概只有为人父母后才能体验到吧!