《【医站到底】26:主动脉瓣机械瓣置换术后发热,诊断可能是什么?》已在本周二开战。您答对了吗?是否迫不及待地想知道答案了?那就一起来看看吧!

【病史】
患者,男性,29岁,2015年因"风湿性心脏病"行主动脉瓣机械瓣置换、二尖瓣成形、三尖瓣成形术,术后半年出现持续发热、切口愈合不良,予以清创缝合及抗生素治疗,发热情况缓解。2016年初再次出现反复发热,诊断为贝赫切特综合征,予以相应药物治疗。
既往史:2年前无明显诱因反复出现痛性口腔溃疡,伴外阴*疮痤**样皮疹,伴面部及背部皮疹,未正规治疗。
【体格检查】
患者神清,精神可。皮肤、黏膜无出血。面部及背部可见*疮痤**样皮疹,口腔及舌部未见溃疡,角膜及外生殖器无溃疡。双肺呼吸音清,未闻及干湿啰音。心前区无隆起,心尖搏动正常。心率78次/分,律齐。主动脉瓣听诊区可闻及3-5级吹风样杂音,向心尖部、颈部传导。余瓣膜听诊区未闻及异常心音、病理性杂音。水冲脉(+),无毛细血管征,双侧股动脉区未闻及枪击音,未闻及杜氏双重杂音。无双下肢水肿、畸形,肌力、肌张力正常。双侧膝腱反射正常,Babinski征阴性。
【超声心动图】

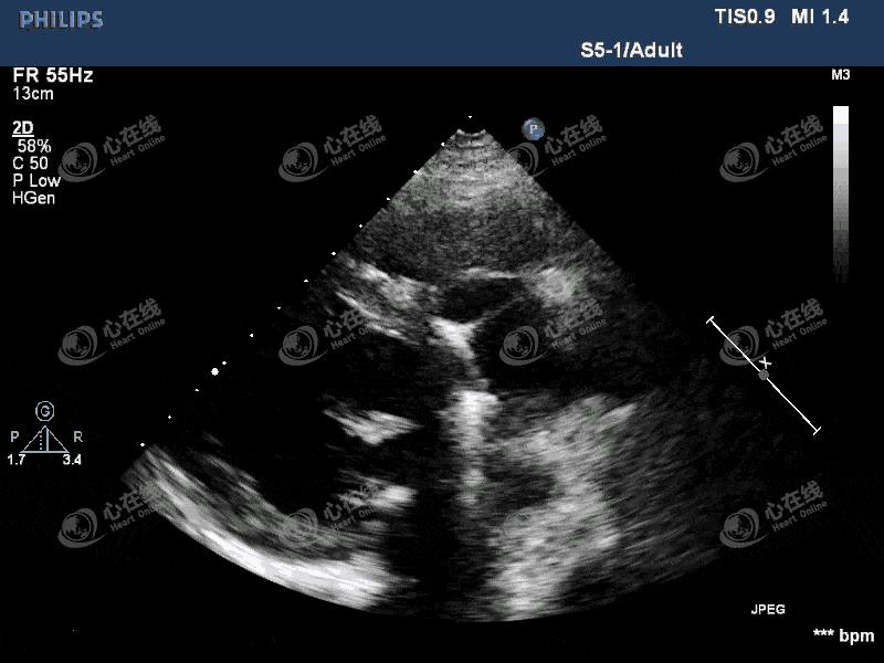
图1 左室长轴切面:左心饱满,主动脉瓣为人工机械瓣,缝合环活动度增大,主动脉根部前壁及后壁紧邻机械瓣处可见一隔膜样回声,其上可见破口,该处可见无回声区。

图2 左室长轴切面:彩色多普勒示,机械瓣瓣环外侧可见中量血流信号进入左室,另可见机械瓣中心性反流信号。主动脉根部膜样回声破口处可见血流信号,来自主动脉,并穿梭于该无回声区内。

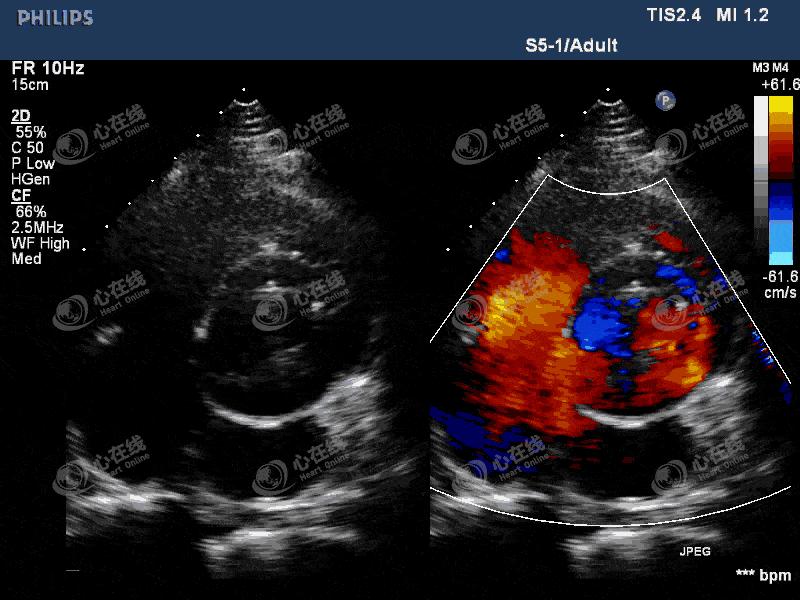
图3 四腔心切面:彩色多普勒显示中量偏心性反流信号,起自主动脉瓣机械瓣环外侧。

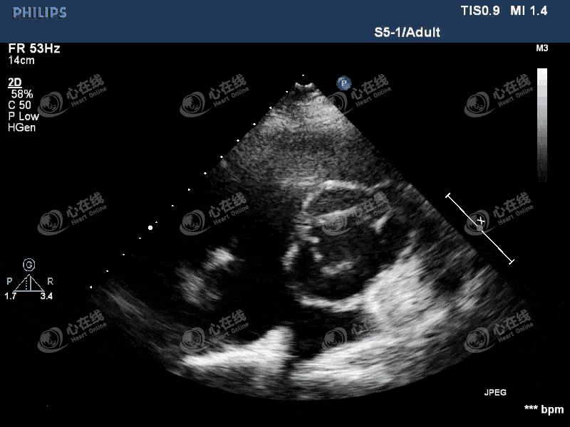
图4 大动脉短轴切面:主动脉瓣机械瓣缝合环外周可见蜂窝状无回声区环绕,机械瓣环活动度增大,机械瓣启闭正常。

图5 彩色多普勒显示,无回声区内可见低速血流穿梭,破口位置位于外科视野7~9点钟位。
(多选题)通过上述材料,患者可诊断为以下那些疾病?
A. 感染性心内膜炎
B. 白塞病非细菌性心内膜炎
C. 主动脉瓣机械瓣瓣周脓肿
D. 主动脉瓣机械瓣瓣周漏(中度)
答案:BCD
难度:★★★★
解析:
该患者主动脉瓣机械瓣环活动度增大,瓣周可见蜂窝状无回声区,并与主动脉相交通,彩色多普勒显示有起自瓣环外侧的中量反流信号,诊断为主动脉瓣机械瓣周脓肿形成及中度瓣周漏证据明确。
需要关注的是,该患者为贝赫切特综合征患者,结合免疫组织疾病史以及超声表现,考虑白塞病引发的非细菌性心内膜炎可能性大。贝赫切特综合征又称白塞病,是一种全身性免疫系统疾病,属于血管炎的一种。其可侵害人体多个器官,包括口腔、皮肤、关节肌肉、眼睛、血管、心脏、肺和神经系统等,主要表现为反复口腔和会阴部溃疡、皮疹、下肢结节红斑、眼部虹膜炎、食管溃疡、小肠或结肠溃疡及关节肿痛等。贝赫切特综合征需要规律的药物治疗
当患者原发疾病为免疫系统疾病或感染心内膜炎时,人工瓣膜置换术后出现瓣周漏或瓣周脓肿、赘生物形成的几率较单纯瓣膜狭窄或反流的患者要大,应特别予以关注。
您答对了吗?恭喜心伙伴“ 陌上花开”在发布后第1个发来正确答案+解析,成为本期学霸!下期考题又将由哪位专家执笔呢?让我们共同期待!
别忘记周五的【微课堂】详解哦!
更多“医”站到底考题及解析,请在“心在线”微信首页下方,点击“独家”,选择“医站到底”。

“心在线”独家刊登,欢迎转发,谢绝转载,保护版权,违者必究
心在线 专业平台专家打造
编辑 况扶华 刘倩┆美编 柴明霞┆制版 刘倩