在现代医疗界,超高龄是手术的禁区。因为超高龄老人生理及组织的改变更为明显,手术风险极大,被称为“易碎的病人(fragile patients)。随着中国社会逐渐步入老龄化,高龄患者的数量也随之增加。市二医院秉承“用爱心守护更多患者的健康”的服务理念,努力提高老年人生活质量,打造一片守护老年人的温馨港湾。近日,市二医院医护人员多科协作,勇闯禁区,成功为一位95岁的超高龄患者实施手术。
鲐背老妇腹胀如篮球
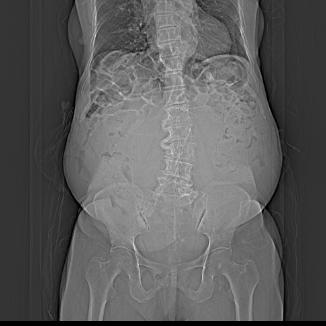
95岁的王奶奶腹部明显憋胀如篮球,一个月来反复尿频,尿急,种种症状让王奶奶苦不堪言,家人见此状也焦急万分,送王奶奶到市二医院,妇产科副主任林苑医师体查发现患者的腹部有囊性包块,上界达剑突下。进一步完善相关检查,医学影像显示:腹腔内巨大占位性病变,几乎占据了盆腔的全部空间!内部分小房呈密度增高,考虑卵巢粘液性囊腺瘤。


超高龄患者,手术难度极大
患者腹中肿瘤大如篮球,各项检查结果符合手术指征,但患者超高龄,器官衰退,内环境稳态薄弱,基础疾病多,合并高血压、冠心病、心功能2级、高血压2级很高危组,手术和麻醉的风险很大!存在心肺功能潜在危险的患者,可能在术中出现心跳骤停、心力衰竭、心律失常等症状,随时有猝死的可能。术后可能会盆腔出血、切口愈合不良、下肢静脉血栓形成、肺栓塞等情况。但老人及家属手术的意愿很强烈,愿意承担一切后果。
为了患者,多科协作勇闯禁区
妇产科团队除了内部多次讨论,还请血汗管内科、综合科、普外科、麻醉科等科室进行多学科会诊。虽然老太太手术和麻醉的风险极大,但卵巢肿瘤已严重影响老人生存和生活质量。考虑到患者的肿瘤为良性(或恶变),有切除希望,为了改善患者的生活质量,各科室便毅然决定支持妇产科的手术方案,即使“背水一战”也要支持。经全院多学科讨论,为患者量身制定了科学、合理、有效的围术期管理和手术方案:先控制好患者的基础疾病,调整好个体健康状况,再施行输卵管卵巢单侧切除术、盆腔黏连松解术。
术中吸出液体相当于20瓶可乐
林苑主任与钟红珠主任在术中探查发现囊肿约36X34X30cm,肿瘤呈多囊性,表面与乙状结肠及肠管系膜广泛黏连,黏连致密。肿瘤予针头穿刺减压吸出囊液,囊液液体呈浅褐色,囊内液约5000ml。
5000ml是什么概念?相当于20瓶250ml的可乐……

在普外科王鹏浩副主任医师的协助下,医师们谨慎翼翼分离乙状结肠及系膜黏连,并修复分离创面,完整切除左侧附件。病理切片送检后诊断:(左侧附件)卵巢粘液性囊腺瘤伴局部交界性粘液性囊腺瘤。

术后ICU高级生命支持,为患者保驾护航
术后转入ICU进行监护治疗,患者超高龄且心脏功能稍差,经过日以继夜密切的监测,积极的呼吸支持、抗心律失常、维持内环境稳定等治疗,患者生命体征逐渐恢复稳定,在妇产科及ICU精心配合下,老太太最终康复出院。

超高龄手术,刷新纪录
这位95岁老人是市二医院妇产科接诊的年龄最大的手术患者,创下了科室手术治疗患者年龄记录。此次高难度手术的成功不仅得益于妇产科专家力量,也得益于市二医院多学科团队的支持,同时也离不开患者及家属的信任与支持,医患同心,共担风险,为医生消除顾虑,才能真正为患者的生命和健康保驾护航。
什么是卵巢囊腺瘤?

所有在卵巢上出现的,形状如囊袋样的肿块,都被叫做卵巢囊肿。包括:粘液性囊腺瘤、浆液性囊腺瘤、畸胎瘤、子宫内膜异位囊肿、粘液性囊腺癌、浆液性囊腺癌、内胚窦瘤……
卵巢囊腺瘤是腺瘤的管腔中有分泌物潴留呈囊状扩张者称为囊腺瘤,因为病变于卵巢,故称为卵巢囊腺瘤。卵巢囊腺瘤属于生发上皮来源的肿瘤,是卵巢中最常见的一组肿瘤,分为浆液和粘液性囊腺瘤两种,其中粘液性囊腺瘤较浆液性囊腺瘤少。
多见于育龄妇女,亦可发生于绝经后。平均发病年龄:
·浆液性囊腺瘤为36.4岁;
·黏液性囊腺瘤为41.8岁;
·交界性或恶性年龄大5-10岁。
肿瘤较小时,临床症状不明显,常是体检发现腹部肿块。出现症状时,肿瘤已巨大,可出现腹胀,腹痛及压迫症状,如尿频、尿急等,腹部可扪及肿块,阴道不规则出血少见。
专家介绍

钟红珠
妇产科副主任
副主任医师
毕业于汕头大学医学院临床医学专业,对妇产科内分泌失调、功能失调性子宫出血不孕的治疗、对孕妇及胎儿的监护,减少孕产妇的疾病及胎儿畸形等方面有较丰富的临床经验。参与市科研项目1项,2009年获得市科学技术进步奖二等奖,在省级以上刊物发表论文多篇,所发表的论文具有较高的科学性、实用性、进步性,对临床工作有较好的指导作用。

林苑
妇产科副主任
副主任医师
毕业于汕头大学医学院临床医学专业。毕业后一直从事妇产科临床工作,专业理论基础扎实,临床经验丰富,具有抢救妇产急症及疑难疾病的诊治经验。曾参与市科研项目2项,在国家级期刊发表论文多篇。
汕头市第二人民医院妇产科
地 址 | 汕头市第二人民医院3号楼2层