天王嫂昆凌顺利的生下了小王子,这下周董一家可谓是儿女双全,凑成了“好”字。在一片恭贺声中,可有人还记得在去年昆凌在接受采访的时候,曾经表示自己患上了多囊卵巢综合征,导致了荷尔蒙失调,因此二胎计划暂时搁置。可不曾想幸福来的这么突然,这么快就产下了二胎。这让多少多囊卵巢综合征羡慕不已,那么多囊卵巢综合征是个什么病呢?他对女性朋友会有什么影响呢?得了多囊卵巢综合征是不是就不能怀孕生子(这让那些得了多囊卵巢综合征的女性怎么活)

多囊卵巢综合征是以慢性无排卵和高雄激素血症为特征的一种复杂的内分泌及代谢异常疾病,在育龄女性中的发病比例高达10%左右,不仅能造成患者经期不正常,亦是无排卵性不孕的主要原因之一。大多数多囊卵巢综合征患者月经初潮一般在正常年龄,但很快出现月经功能紊乱,包括月经稀发(月经周期超过35天)或者闭经(停经至少3个正常周期) 。成熟期多囊卵巢综合征患者因排卵减少导致生殖力下降,对诱导排卵的应答也比无高雄激素血症的女性降低,而且增加了流产率、妊娠并发症及新生儿并发症发生的危险性。多囊卵巢综合征患者也表现有多毛和*疮痤**。多毛症是指雄激素依赖区域有过多毛发的存在,是最常见的高雄激素症状;*疮痤**也相对常见,但是秃头、男性化、失去女性第二性征及可能因雄激素导致的赘生物等表现较为少见。除此之外,多囊卵巢综合征患者经常存在胰岛素抵抗、腹型肥胖及相关的代谢病变。诊断PCOS需满足以下3个条件中的2个即可确诊:临床或生化的高雄激素血症、排卵减少及多囊卵巢形态。多囊卵巢形态是指卵巢容量大于10mL或至少1个卵巢存在12个或更多直径为2~9mm的卵泡。然而,很可能无高雄激素的症状或指征却有月经稀发及多囊卵巢形态的妇女被诊断为多囊卵巢综合征。
那么在这个日新月异的社会里,这么多的辅助检查,比如超声、MRI、CT,患者该选择哪种检查方式会更准确而且更无害呢?一般认为呀,多囊卵巢综合症的影像学诊断标准以超声下卵巢形态学改变为主,而阴道超声又因图像清晰、价格低廉,还不用憋尿等多种好处而作为诊断多囊卵巢综合症的首选检查。但是阴道超声是一种侵入性的检查,对于那些无*生活性**史的女性就不适用啦(因为导致处女膜的破损,这点年轻的小姑娘在看病的时候尤其要关注哦)。而且患有多囊卵巢综合症的人多伴有胰岛素抵抗和肥胖,如果做经腹部的超声检查,就容易受到腹部皮下厚厚的脂肪或者肠气的影像而无法清晰显示卵巢结果。这点缺点我们MRI统统都可以克服。

正常卵巢,可以看到优势卵泡
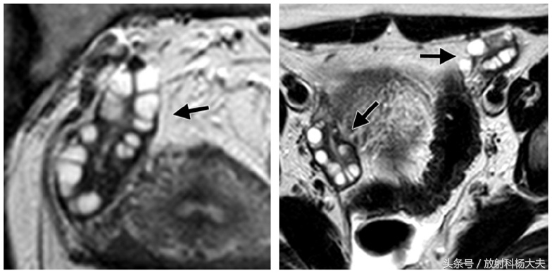
MRI属于无创检查,做过MRI的朋友都知道,患者只需要在那躺着,各项检查就这么神不知鬼不觉的完成了。而且MRI对人体没有任何电离辐射,这点尤其适合那些年轻的或者想生育的女性朋友们。MRI对软组织有极好的分辨率,可以通过多参数成像提供丰富的诊断信息,而且可以通过多角度成像选择各种剖面,获得其他成像技术所不能或难以获得角度的图像。卵巢是位于子宫两侧的一对卵圆形的生殖器官。正常卵巢信号在 T1WI上为均匀的中等或稍低信号强度,内部结构不易分辨。T2WI序列表现为多个大小不一的小圆形或小卵圆形的,均匀高信号囊性结构,囊内信号与液体一致,位于卵巢皮质内,典型呈花环样排列,以T2WI压脂序列显示最清晰。囊壁在 T1WI表现为等信号,T2WI囊壁较T1WI显示清晰,呈均匀的等低信号。在生育年龄妇女,卵巢髓质内含有大量富含血管的疏松结缔组织,T2WI上也表现为稍高信号。正常女性单侧卵巢卵泡数目6~7个,一般不超过10个,正常卵巢体积约6~7 cm3大小。在排卵期,优势卵泡的直径最大可达2 cm。多囊卵巢综合症患者的卵巢 MRI信号与正常卵巢一致,而卵巢体积较正常卵巢增大,卵泡数目较正常增多,卵泡排列无特别规律,可沿周边分布,亦可弥漫分布。与正常女性相比,多囊卵巢综合症患者双侧卵巢较正常卵巢增大2~3倍,卵巢内可见许多闭锁卵泡和处于不同发育期的卵泡,但无成熟卵泡生成及排卵迹象。

但是否MRI上见到多囊卵巢就一定是多囊卵巢综合征呢?这个问题的答案是否定的,具体请参照之前的文章(体检B超报了多囊卵巢,28岁白领深陷抑郁,事实证明是多虑了)。
(文 林燕)
(“放射科杨大夫”为*今条头日**签约作者,本文首发*今条头日**。同时欢迎在悟空问答里关注 “放射科杨大夫”,那里有杨大夫对各种健康问题的精彩回答。)