双子宫是指女性拥有两个子宫,这种情况属于先天性子宫异常。症状为双子宫两侧副中肾管完全未融合,各自发育形成两个子宫和两个宫颈,阴道也完全分开,左右侧子宫各有单一的输卵管和卵巢。双子宫畸形是怎么回事,随小编来了解!

双子宫畸形是什么?
子宫畸形,又称子宫发育异常,是一种先天性疾患,也是生殖器官畸形中最常见的一种。有些子宫畸形患者可无任何自觉症状,月经、*生活性**、妊娠、分娩等亦均无异常表现,以至终身不被发现,或于体检时偶被发现。双子宫畸形又是什么呢?
双子宫畸形是子宫畸形的一种,比寻常的子宫畸形更为严重,不少患有这种疾病容易使得自己灰心绝望,双子宫畸形究竟是怎么回事呢?
这是生殖道畸形中较为常见的一种,因两侧副中肾管会合后,中隔部分消失则形成不完全纵隔,中隔未消失则致完全纵隔形成双阴道,之后发育成双子宫双宫颈,大约100万人中才会有一个。
双子宫是比较难发现的,因为没有任何自觉症状,通常患者可表现月经量过多及经期持续时间延长,如患者有原发性闭经、痛经、不孕、宫外孕、习惯性流产、每次妊娠胎位均不正或难产等病史,应首先想到子宫畸形的可能,进一步详细询问病史及进行妇科检查。
双子宫畸形的症状
双子宫是指子宫两侧副中肾管在胚胎分裂发育的时候没有融合完全,导致其各自发育形成两个子宫和两个宫颈,双子宫的病例很少,一般是在人工流产,产检的时候偶然发现,双子宫畸形的症状一般有哪些症状呢?
一般来说,双子宫女性更容易出现月经不调,痛经等症状。双子宫病人容易发生一侧子宫发育不良,因此容易引起痛经。因为她所拥有的两个子宫都会产生月经周期,但是月经来潮时,可能出现一侧子宫颈“不见”了,以致月经无法正常排出,进而引发疼痛。这种情况下,惟有通过宫颈扩张手术,使月经正常排出,才能使疼痛消除。
患者无任何自觉症状,一般是在人工流产、产前检查甚至分娩时偶然发现。
早期人工流产时可能误刮未孕侧子宫,以致漏刮胚胎,子宫继续增大。妊娠晚期胎位异常率增加,分娩时未孕侧子宫可能阻碍胎先露部下降,子宫收缩乏力亦较多见,故剖宫产率增加。
异期复孕偶可见于双子宫患者,即不同时期卵子受精后,每侧子宫各有一胎儿。亦有双子宫、单阴道,或阴道内有一纵隔,此情况类似上述双子宫,但可能因阴道内纵隔妨碍*交性**,出现*交性**困难或*交性**痛。
两侧副中肾管完全未融合,各自发育形成两个子宫和两个宫颈,阴道也完全分开,左右侧子宫各有单一的输卵管和卵巢。

双子宫畸形能怀孕吗?
出现双子宫畸形另不少女性担忧,这么特殊的子宫可以怀孕吗?一起来了解!
双子宫的女性其子宫的大小、形态与单个的正常的子宫不太一样,但也可受孕。不过受孕后易流产,往往不能足月妊娠。
双子宫怀孕更加困难,而且危险。这是因为,双子宫会出现一个子宫妊娠或双子宫同时妊娠,当一个子宫妊娠的时候,另一个不妊娠的子宫会阻碍胎儿露部下降,子宫收缩乏力,最后只能进行剖腹产;而当两个子宫都妊娠时,又会影响胎儿的发育情况,容易出现流产。
此外,双子宫的病人怀孕时出现不正常的情况,多数是因为胎儿着床时“跑”到了发育不正常的子宫里。不过,这种情况也是可以避免的。由于女性的两个卵巢是每月轮流排卵的,而且有两个子宫的女性,左侧卵巢排卵多数会在左侧子宫怀孕,而右侧卵巢排卵,则多数会在右侧子宫怀孕。
双子宫病人在决定怀孕前,可以先通过检查判断左右两个子宫哪个是“好”子宫,哪个是“坏”子宫,然后再通过B超对卵巢的排卵情况进行监测。如果左侧子宫发育良好,那么就可以在B超监测显示左侧卵巢排卵时怀孕。这样就可以避免胎儿着床在发育不良的子宫里,影响胎儿的正常生长了。
双子宫的孕妇应在孕早期就到医院检查,做到早预防、早治疗。你不要有太大顾虑,虽有流产的可能性,但也可产下健康的婴儿。如果想要孩子,应先到医院去做进一步的检查来决定是否适宜怀孕,必要时可通过手术矫正。

双子宫畸形怎么办?
子宫是孕育胎儿的宫殿。若子宫发育“特殊”,则对孕育胎儿有程度不同的不良影响,切勿等闲视之。发现双子宫畸形,无疑怀孕路上将会增加不少担忧和坎坷。双子宫畸形怎么办?
双子宫可对患者生活以及生殖健康造成不下的影响,一方面,双子宫的患者更容易出现痛经,月经的现象,同时因为子宫发育的成熟度不足,患者即使采取一些护理方法也不会有明显的效果,另一方面则是对患者的生殖健康的影响,双子宫患者会比菩提女性更容易出现宫外孕,畸形胎的现象。
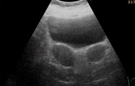
而患者可无任何症状,一般在人工流产、产前检查,甚至分娩时偶然发现。经B超检查,可使双子宫“真相大白”。该病一般不影响结婚和生育,如双子宫合并阴道纵隔,婚后可出现*交性**障碍或*交性**痛,应及时做手术切除纵隔。
双子宫容易怀上双胞胎吗?
双子宫怀孕的几率比一般人要大,有双子宫女性提出疑问:双子宫容易怀双胞胎吗?网络上回答不一,事实是怎样的呢?
女性出现双子宫的几率为百分之一,出现双子宫双胎的几率则为百万分之一。而正常情况下,双胎妊娠的几率是1:80,可见,双子宫并不增加怀双胞胎的几率。
对于双子宫的女性,不必太紧张,因为如果只是单纯的双子宫双宫颈并不伴有其他畸形的话,和正常人的受孕机会是一样的,对*生活性**也没什么影响。
妊娠前除常规孕前检查外,建议查泌尿系统,因为在胚胎时期生殖系统和泌尿系统是一起发育的,生殖系统畸形往往合并泌尿系统畸形。但怀孕后应关注休息、安胎、定期产检,因双子宫患者妊娠后易发生流产、早产、胎位不正、妊娠高血压疾病、胎儿宫内发育迟缓、胎盘早剥等情况。
