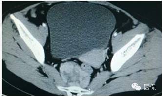
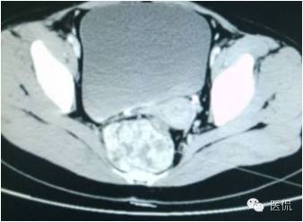
病史
女,37岁,体检超声发现盆腔包块一周。无其他异常。
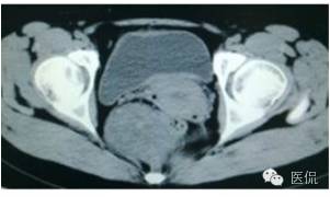
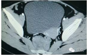
CT平扫(CT值23HU)




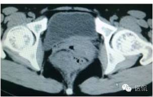
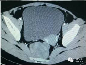
增强动脉期(CT值31HU)




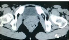
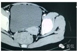
增强静脉期(CT值62HU)



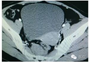
增强延迟期(CT值106HU)



结果
手术是:盆腔占位,病理为:血管肌纤维母细胞瘤。与肛门粘连,于是同时做了肛门的处理。
病史
女,37岁,体检超声发现盆腔包块一周。无其他异常。
CT平扫(CT值23HU)




增强动脉期(CT值31HU)




增强静脉期(CT值62HU)



增强延迟期(CT值106HU)



结果
手术是:盆腔占位,病理为:血管肌纤维母细胞瘤。与肛门粘连,于是同时做了肛门的处理。