近日门诊来诊两位患友,
都是超声发现子宫内膜息肉
▼

“
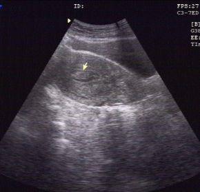
一位24岁,无月经周期、经期和经量的改变。常规体检妇科超声描述:宫腔内见高回声区8mm×5mm,提示:子宫内膜息肉。
”

“
一位41岁,有月经经期延长半年,妇科超声描述:宫腔内见高回声区13mm×6mm,提示:子宫内膜息肉。
”
看来这是一个常见的妇科疾病。
随着超声诊断技术水平的提高和医疗工作者诊断意识的关注,子宫内膜息肉的发现越来越多,意味着在某种程度上其发生率越来越高。
那么,它是怎么产生的?常常会引起哪些症状?针对这两个患者我们该如何处理呢?现在,我们一起来了解一下这个常见的疾病。
1子宫内膜息肉是什么?
它是由子宫内膜腺体及含厚壁血管的纤维化子宫内膜间质构成的突出于子宫内膜表面的良性结节,可引起异常子宫出血与不孕等症状。我自己认为比较形象的描述是,子宫内膜息肉像长在宫腔壁上的多肉植物,形态、大小、数量、部位都因人而异。

2子宫内膜息肉是怎样形成的?
子宫内膜息肉的发生机制尚未明确。目前,最为公认的观点认为,子宫内膜息肉与慢性子宫内膜炎或子宫内膜对致炎因子较敏感有关,还与局部雌激素合成过多或局部雌激素受体过多、孕激素受体过低所引起的激素紊乱也有明显关系。当然,这只是两个主要的因素和观点,其实子宫内膜息肉的发生发展是多阶段、多因素的过程。
3子宫内膜息肉有哪些症状呢?
在临床上,有70%-90%的子宫内膜息肉患者会出现异常子宫出血的症状。
还有一部分生育年龄的女性会导致不孕或辅助生殖时(俗称“试管婴儿”)胚胎种植失败等情况。
4子宫内膜息肉容易复发吗?
子宫内膜息肉在手术后容易复发,其复发率与息肉的数目和处理方法有一定的关系。文献报道,宫腔镜下电切息肉的术后复发率低于息肉摘除术,主要是电切切除的深度较深,能彻底切除息肉的蒂部,但也要考虑患者的生育要求,有可能会影响正常的子宫内膜。所以,一般有生育要求的女性,临床上推荐息肉摘除术,以更好地保护正常的子宫内膜。
5子宫内膜息肉会恶变吗?
子宫内膜息肉恶变率极低,仅个别患者有恶变可能。
譬如,较大的、复发快的、血流丰富的、绝经后的息肉等,均要关注其恶变的风险。
6子宫内膜息肉的高危因素有哪些?
诸多临床研究结果显示,子宫腺肌病、子宫内膜异位症、患者年龄、使用外源*药性**物(如他莫西芬)、多囊卵巢综合征等因素均增加了子宫内膜息肉的发生率。
7怎样才能诊断子宫内膜息肉?
子宫内膜息肉的无创检查,首选妇科超声检查,推荐经阴道超声(有*生活性**史的女性)或经直肠超声(无*生活性**史的女性)。一般妇科超声检查的时间选择月经周期的第5-7天(早卵泡期)为最佳。但即使超声有上述提示子宫内膜息肉,并不等于确诊。

宫腔镜检查可作为子宫内膜息肉诊断的首选方法,基本上能做到诊断和治疗同时完成。
其诊断子宫内膜息肉具有如下的优点:
(1)肉眼观察,直观清晰;
(2)避免诊断性刮宫或子宫内膜活检造成的漏诊,即不仅能直视下定位切除或钳夹息肉,而且能保护周围其他正常内膜组织;
(3)能在处理完子宫内膜息肉后,明确是否处理完全。

当然,宫腔镜肉眼观察的结果并不完全等于正确,最终的诊断尚需通过病理(显微镜下的观察)结果最后证实和明确。

8什么情况下的子宫内膜息肉应该治疗呢?
子宫内膜息肉的治疗根据息肉的大小、患者的症状、患者的生育要求等情况进行综合的评价,再制定出相应的治疗方案。
(1)期待治疗:约25%的息肉可自行消退。特别是对于小的(<1cm)、无症状的息肉,可推荐观察。
(2)手术治疗:对体积较大、有症状(异常子宫出血、不孕等)的息肉,或者虽然没有症状,但短期随访未消退的,推荐宫腔镜下息肉切除(或摘除),一定要关注送病理检查。一般子宫内膜息肉较少采用传统的刮宫术,因为刮宫较为盲目,其着力点不容易将息肉刮除干净,是否刮除干净也无法判断。手术的时机一般选择在早卵泡期实施,此时内膜较薄,有利于观察息肉的位置、大小及数量,便于手术操作。
9如何预防子宫内膜息肉复发?
预防子宫内膜息肉的复发,除了在手术时尽量切除息肉的基底部以减少复发外。手术后配合药物治疗是减少复发的重要措施。
(1)短效口服避孕药,不但能减少术后出血、调整月经周期,而且,可显著控制息肉复发。当然,术后可加用孕激素、口服避孕药和孕三烯酮均有明显降低子宫内膜息肉复发的作用。但口服避孕药的疗效、接受性和依从性优于其他两者。
因此,2015年国内的专家共识建议子宫内膜息肉切除术后联合口服避孕药治疗3~6 个月以减少子宫内膜息肉的复发。
(2)曼月乐环(左炔诺孕酮宫内缓释系统),国内相关指南建议,对于已完成生育或近期不愿生育的子宫内膜息肉患者,在宫腔镜下息肉切除术后可考虑使用曼月乐环减少复发风险。
针对子宫内膜息肉的治疗,总结如下:
对已完成生育或近期无生育要求的女性,可考虑使用复方短效口服避孕药或曼月乐环,以减少复发风险,并同时起避孕作用。
对有生育要求的女性,应对其它受孕相关因素进行评价,必要时进行积极助孕;在完成生育后可考虑上述方法预防息肉复发。
当然,在使用口服避孕药或曼月乐环前,均应该关注排除它们使用的禁忌证。
现在,从病因、诊断、治疗、预防等方面,朋友们对于子宫内膜息肉应该有了全面的认识了,今后遇到这样的情况时,就不会紧张、焦急,也对于如何预防复发有相应的处理措施了。希望对大家有所帮助。

(此处已添加医疗卡片,请到*今条头日**客户端查看)