Case 1
32岁头疼、发热的女性患者,病态肥胖,既往有腰背部手术史。
Q:如何进行腰椎穿刺?
超声指导腰穿的优势
对肥胖患者难以触诊和标记、腰椎退行性疾病、既往腰背部手术或其他脊柱疾病适宜应用超声指导腰穿。同时,超声已经被证实对所有患者有帮助。
超声指导腰穿的缺点
病态肥胖患者中可能仍旧很难定位;
需确保探头垂直于皮肤;
标记时必须稳定探头;
如果患者在标记后移动,可能存在错误指导。
超声是显示应急门的精确成像工具,硬脊膜在超声扫查时显示为高回声。
步骤:
1、设备准备
2、患者准备
体位:坐位或侧卧位;
当超声准备好,患者就不能再动。
3、准备超声探头
肥胖的患者可能需要使用凸阵探头;
找到髂棘连线

使用低凸探头(中心频率4MHz)以获取腰椎硬膜外间隙中线横断最佳切面。最好的断断切面是节突明显并对称显示在屏幕上。探头沿头尾方向滑动获得椎板间切面(在成像区域内不显示棘突)。然后倾斜探头,突出关节突结构,并适当旋转,使关节突在屏幕上对称显示。可能需要沿内外方向滑动,将关节突置于屏幕中央。如果探头旋转过度,则可能需要对患者重新定位。同样,腰椎屈曲可更好地显示腰椎间隙,提高显示清晰度。使用标记笔在皮肤表面画十字线标记椎间隙。
患者做体表标记的体位应与进行操作的体位一致,患者的体位变化会降低标记的准确性。探头向下移动到骶骨,沿中线旁纵断面扫查,从下向上计数标记的间隙来检查或验证定位的水平。如果该间隙被认为太高或太低,可以扫查相邻的间隙并标记。【1】
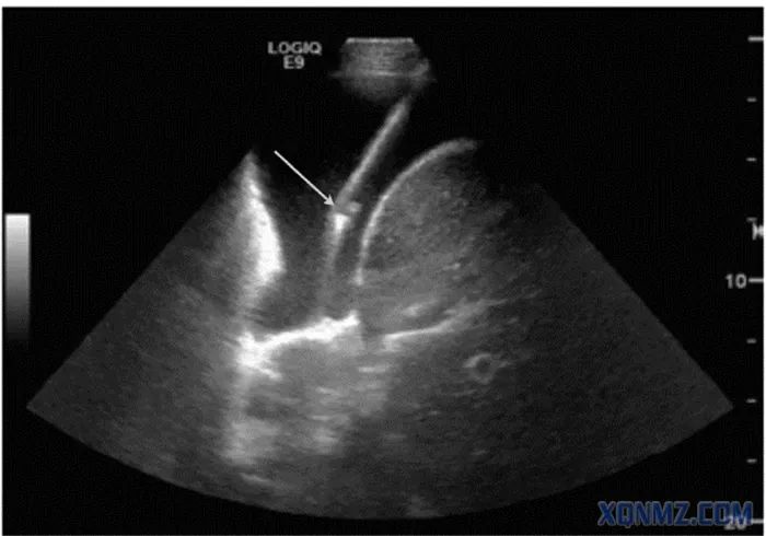
超声引导下胸腔穿刺术

(实时超声下穿刺可见大部分穿刺针及针尖显示(箭头所示))
胸腔积液是急诊常见的临床情况,可以作为各类疾病的伴发状态,包括肿瘤性疾病、感染性疾病、炎症疾病和器官功能不全等。胸腔积液穿刺抽吸或置管引流可诊断和/或缓解患者的呼吸系统症状;也可进行胸腔冲洗、注射药物治疗等。选择3.5~5.0 MHz腹部超声探头,全面检查胸腔积液情况及分布,穿刺应选无回声区较深,并远离心肺等重要器官的部位,针头在超声屏幕上显示为无回声区中的强回声点。【2】
超声引导下腹腔穿刺术

(腹水中漂浮的肠袢(左上),箭头所示;穿刺针尖(右上);置入导丝(左下);置入导管(右下))
大量腹水引起腹部不适,如伴发腹水感染或影响呼吸或静脉回流,则危及生命。床旁超声指导穿刺抽液,可减少医源性损伤。超声探头多选择腹部探头。超声定位并标记腹腔穿刺点,一般选择“反麦氏点”或腹水最深处,且避开腹内脏器、如漂浮的肠管、膀胱、肝脾等。整个操作过程中都在超声引导下进行。针尖及导丝一旦进入无回声的液体区时就可表现为强回声影。【3】
【1】超声引导下区域疼痛阻滞图谱 Andrew T.Gray
【2】【3】床旁超声在急危重症临床应用的专家共识 中华急诊医学杂志
声明:本微信公众号所刊载原创或转载内容不代表新青年麻醉论坛观点或立场。文中所涉及药物使用、疾病诊疗等内容仅供参考。