最近身边闺蜜开始一个个地关心起牙齿的问题,又是补牙又是整牙的,让我不禁怀疑她们这群单身狗什么时候找到了男朋友还进军婚姻殿堂然后开始集体备孕???

热情追踪了一下,才发现原来是有个妹子多年老蛀牙疼起来才想要去处理,结果蛀的严重只能连根拔除做烤瓷牙了……吓得身边一大票外表美貌内里好几个蛀牙的小仙女开始瑟瑟发抖。

结果好不容易补了蛀牙,有两个妹子又被医生劝说咬合有问题要整牙……思想斗争了好几天到现在也没有决定,于是芽芽决定给同样苦恼要不要整牙的妹子们来一场整牙科普!说说那些你们最关心的事~

整牙其实是“正畸“的通俗说法,也就是矫正牙齿畸形,包括改善牙列排列不齐、牙体扭转倾倒的现象,除了恢复良好的咬合关系,我知道妹子们更关心的是对美貌的影响!
毕竟很多明星面貌焕然一新都有整牙的功劳……

还有最近宣布怀孕喜讯的高圆圆,正畸之后面部轮廓更加明朗,笑起来也更加好看了~

不止女明星,很多男明星也都加入了整牙的行列,我们的逍遥哥哥虽然帅气,但是之前一口牙齿却不那么整齐。

所以说,整牙确实会提升颜值,但也不是绝对的哦!如果你的牙齿排列组合太过随意,拥有严重的咬合问题,那么整了牙肯定会比不整好看。

但是整牙过程中有些人会出现明显的“牙套脸”,也就是戴牙套导致饭量减少、咀嚼肌萎缩,还有衰老等原因,会出现颧骨突出,脸颊凹陷的现象……让人看起来一下子就成熟(老)了好几岁。

图源网络
而且由于戴上牙套之后脸部的起伏发生了变化,有些人还容易出现法令纹……所以如果你的脸型是正常的,而牙齿咬合问题也不大,是不太建议去整牙的哦~

除非你还是十几岁的年纪(牙齿矫正的最佳时间一般是在乳牙替换完全之后,也就是12-14岁之间),因为随着年纪越大,整牙的负面影响是会变多的!比如出现牙套脸的几率就会更高哦!

如果下定决心要整牙了,怎么选择医院呢?
整牙第一步其实不是选择医院,而是要先解决牙齿的健康问题!有龋齿、牙周炎等问题要提前治好才能开始做矫正哦~

至于选择医院,俗话说“货比三家“,芽芽建议多找几家口碑好的医院,拍片子、让医生制定方案、预估时间和效果,以及费用,然后再进行选择~

这款的托槽就是粘在牙齿外侧的金属块,然后再用一根钢丝把所有的托槽给串联起来。看起来虽然丑了点,还容易刮嘴、挂食物,但是效果好,效率高、性价比是最高的~

所以手头资金有限,再加上比较自信不惧怕他人眼光的小仙女们可以选择这款。不过话说高圆圆小s这些女明星都戴的这款,所以其实真的不用太介意啦~

这款的托槽变成了一块一块的陶瓷,颜色和真牙差不多,所以远看几乎看不出。但是陶瓷托槽比金属托槽更脆,所以相对于金属托槽来讲会有碎裂的风险哦~
不仅如此,吃东西还容易染色,舒适度比金属牙套更差,而且相对金属牙套价格更贵。

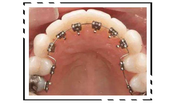
钢牙粘在牙齿外侧也是粘,粘在牙齿内侧也是粘。粘在外侧太丑,那么粘在内侧不就好了吗~所以就有了舌侧矫正牙套!
它除了容易磨破舌头、费用高以外,操作难度也最大,所以对医生的技术要求比较高哦~

隐形牙套需要一段时间更换一副,牙齿会慢慢地向设计好的方向移动。美观而且舒适度高,但是适用人群比较少,比如需要拔牙的矫正的就用不了,所以不是你有钱就能选它哦~

除了价格最贵,隐形牙套需要矫正的时间也很长。而且可以自主摘戴的特点,虽然方便我们在一些场合暂时取下,但相对的,这也会影响矫正的效果和时间哦~
所以这4种牙套
究竟怎么选择呢?
我把他们的特点排列一下
让你们有个更清晰的认识~

正畸效果:金属牙套/陶瓷牙套/舌侧牙套>隐形牙套
费用:隐形牙套>舌侧牙套>陶瓷牙套>金属牙套
舒适度:隐形牙套>金属牙套/陶瓷牙套>舌侧牙套
美观程度:隐形牙套>舌侧牙套>陶瓷牙套>金属牙套
一般医生都会给出建议,你再结合自身的牙齿特点、审美需要、经济预算,进行选择哦~

有两点关注事项想跟大家唠叨一下,虽然医生也会嘱咐哈哈哈~(我真是为你们操碎了心)
第一,不管戴什么牙套,每次吃完东西都一定一定要做好口腔清洁!否则食物挂在牙套上尴尬就算了,托槽周围囤积食物残渣会让你非常容易蛀牙或者导致其他牙周疾病哦!
第二,别以为摘了牙套就大功告成,一定要坚持带保持器。一般前半年24小时都要戴,之后晚上戴,要再坚持一年半左右的时间。不然可能要进行二次矫正,费钱又费力!!
芽芽毕竟不是专业的,只是帮你们花心思认真的做了功课,给想整牙的妹子一个尽可能中立的参考~
每个人情况不同
所以整牙之后的效果也会不同
(不管是好还是坏的情况)
有整过牙的小仙女
可以来分享一下经验哦~
戳个“在看“
希望永远不用看牙医!⬇️