在《儿科学》人民卫生出版社第9版教材第9章消化系统疾病217页,炎症性肠病中有这么一段论述:
年龄<6岁的炎症性肠病常为特殊形式的炎症性肠病,其临床表型及基因与晚发型炎症性肠病均不同,被定义为极早发型炎症性肠病( very early onset IBD,VEO-IBD)。极早发型炎症性肠病严重程度更重,更具有侵袭性,对既往传统治疗手段反应差,一般同时伴有原发性免疫缺陷病。
今天的笔记就是关于这段知识更新内容的病例解读,分别来自国内与国外的临床实践。
病例介绍
病例1
地点:美国纽约市戈里萨诺儿童医院消化儿科

患儿,男,5岁,右侧腹痛3天来诊。
体格检查发现颈部、枕部、腋窝和腹股沟淋巴结肿大。腹部检查有压痛,右上下腹肌卫。其余未见异常,作进一步评估。
实验室检查显示血红蛋白为9.8g/dl,平均红细胞体积为67.6fl,C反应蛋白为106.4mg/L,纤维蛋白原为489mg/dl,铁蛋白为90ng/ml,红细胞沉降率为63mm/h。其余的全血计数和分类计数、电解质、肝转氨酶、补体活性水平、淋巴细胞亚群、乳酸脱氢酶、尿酸和凝血指标均在正常范围内。胸部和腹部CT显示纵隔、双侧肺门和肠系膜淋巴结肿大(<5 cm)。左肝和尾状叶显示不同程度的X线衰减。巨细胞病毒、EB病毒、组织胞浆菌病、芽生菌病、巴尔通体、人免疫缺陷病毒和肺结核的诊断试验均为阴性。
病理分析显示局部嗜酸细胞性聚集,肉芽肿性炎症(图)。

上部分为低倍镜观察,下部分为高倍镜所见。
骨髓活检的流式细胞术的结果显示良性。内镜活检显示胃炎和幽门螺杆菌感染。结肠镜活检显示小肠黏膜有明显的淋巴滤泡,混合炎性浸润含有大量嗜酸性粒细胞。胶囊内镜检查显示小肠水肿和黏膜不规则。粪便钙护蛋白轻度升高,为114μg/g。血清学检查显示抗酿酒酵母(ASCA)、大肠杆菌外膜孔蛋白(OMPC)和鞭毛蛋白(fla2)抗体升高。
患者被诊断为克罗恩病。接受强的松诱导治疗和美沙拉秦维持治疗,没有明显改善。然后改为每周口服甲氨蝶呤维持治疗。
在接下来的2年中,他继续接受克罗恩病治疗,疗效不佳。
在初次就诊两年半后,因腹痛、体重减轻20磅和肝脾肿大而入院。影像学研究显示肝脏病变增强。肝活检这些病变产生脓液,从中分离出甲氧西林敏感金黄色葡萄球菌,诊断甲氧西林敏感金黄色葡萄球菌肝脓肿。医生开始怀疑免疫缺陷疾病,进行免疫学相关检查。二氢罗丹明-123(DHR)检测显示中性粒细胞氧化爆发异常,可诊断为慢性肉芽肿病 。
最终诊断
慢性肉芽肿病相关结肠炎。
病例2
国内病例
患儿男,2岁8月龄,汉族。因“确诊克罗恩病”2年,抗肺部真菌感染治疗半年,效果不佳入院。2年前,即患儿生后8个月时,发现肛周破溃,伴有脓性分泌物流出,至当地医院诊断为肛周脓肿,予以肛周切开引流,以后出现反复腹泻,6~7次/d,腹泻为糊状脓血便,伴发热,予以抗感染对症支持治疗,症状无好转。1年前,至外地三甲医院行结肠镜及肠道病理活检,提示肉芽肿炎性改变,诊断为“克罗恩病”,予以“5-氨基水杨酸”“泼尼松”等治疗20余天,脓血便无缓解。转至另一三甲医院住院,复查肠镜仍然诊断为“克罗恩病”,予以“酞胺哌啶酮、泼尼松、头孢米诺”等治疗后发热、脓血便好转出院,但肛周脓肿仍反复出现。半年前,患儿右侧小腿出现一1.0 cm×1.5 cm脓肿,伴反复发热、呼吸急促,再次至外地医院就诊,胸部CT提示肺部感染,考虑真菌感染可能性大,加用“伏立康唑”治疗,发热好转出院。3 个月前,因“克罗恩病,肺部真菌感染”,依约抗真菌感染治疗入住深圳市儿童医院呼吸科,查真菌葡聚糖236.38 ng/L,予以静脉滴注伏立康唑1周,病情平稳出院,门诊一直口服伏立康唑,本次入院前复查胸CT,病变恢复不理想,再次入院。患儿为母亲的第2 胎第1 产,足月顺产出生,出生体重3 kg,患儿生后至8月龄大体健康,父母及弟弟体健。
本次入院体格检查:体温37.1℃,脉搏103次/min,呼吸27次/min,体重12.5 kg,血氧饱和度0.99。神志清,精神、反应可;颈部可触及肿大淋巴结,最大约2.5 cm×2.0 cm,质韧,无压痛,活动性可,右侧小腿可见1.0 cm×1.5 cm溃疡疤痕,破溃。口唇红润,咽部黏膜无充血,双侧扁桃体无肿大,未见疱疹、脓点。颈无抵抗;双肺呼吸音稍粗,未闻及干、湿性啰音,心音有力,律齐,未闻及杂音。腹平坦,未触及包块,肝脾肋下未及肿大。肛周可见绿豆大小陈旧性疤痕,外生殖器无异常。四肢肌力、肌张力正常对称,双侧巴氏征阴性,毛细血管充盈时间<1 s。
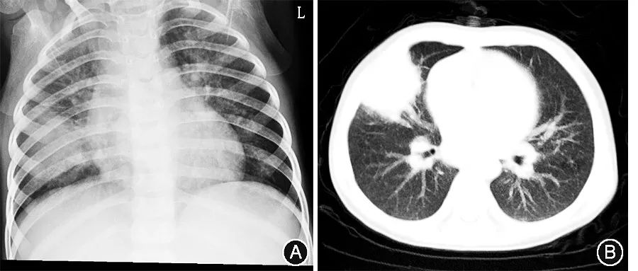
辅助检查:1年前当地三甲医院第一次结肠镜检查提示:降结肠、乙状结肠、直肠黏膜广泛充血、水肿,质脆,易出血,溃疡广泛分布,可见分泌物,边缘出血。肠镜病理活检标本显示:(结肠)黏膜组织慢性炎症急性活动伴间质嗜酸性粒细胞浸润并炎症渗出,局部间质内查见少许多核巨细胞,呈肉芽肿性炎改变。结核菌素试验(++),抗酿酒酵母菌抗体(IgA、IgG)阳性。至外地三甲医院第二次结肠镜提示克罗恩病L3活动期,十二指肠多发溃疡。半年前外地三甲医院外周血曲霉菌免疫学试验0.111(正常值0~0.5)。γ干扰素释放结核感染T细胞斑点试验:结核感染T细胞(A抗原)0,结核感染T细胞(B抗原)0。胸部CT提示肺部感染,考虑真菌感染可能性大。本次住院检查:血IgG 11.19 g/L,IgA 1.3 g/L,IgM 1.33 g/L,补体C3 1.7 g/L,补体C4 0.24 g/L。淋巴细胞免疫分析:总T淋巴细胞比例0.488、NK细胞比例0.335、辅助/诱导T淋巴细胞比例0.270、抑制/细胞毒T淋巴细胞比例0.210、B淋巴细胞比例0.205。真菌葡聚糖试验:236.38 pg/ml (正常0~69.99 pg/ml)。此次住院血常规规示白细胞9.39×10^9/L,中性粒细胞4.12×10^9/L,淋巴细胞4.45×10^9/L,红细胞3.88×10^12/L,红细胞平均体积74.5 fl(正常82~96 fl),平均红细胞血红蛋白含量24 pg(正常27~32 pg),平均红细胞血红蛋白浓度322 g/L(正常320~360 g/L),血红蛋白93 g/L,血小板473×10^9/L,超敏C反应蛋白4.5 mg/L。由于外院已行CT检查,为避免重复辐射,我院开始抗真菌治疗前只摄胸X线片,提示右肺中下野可见大片模糊片絮影,考虑肺炎(图1A)。抗真菌治疗3个月后摄胸部CT片,提示:右肺中叶仍可见大片高密度影,并可见条索影与肺门相连(图1B)。提示抗真菌疗效不佳。

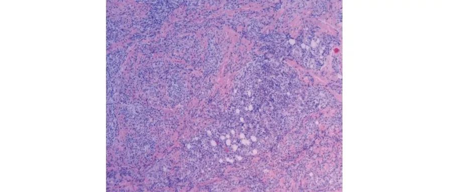
诊断经过:本次入院以后,考虑到患儿克罗恩病起病年龄小、肺部真菌感染治疗效果不理想,并且有反复肛周脓肿及皮肤感染,怀疑存在原发性免疫缺陷病。对患儿及其父母、弟弟进行了白细胞吞噬氧化功能检测,呼吸爆发试验提示:患儿中性粒细胞活化率为0.027;患儿弟弟为0.956;患儿父亲为0.981;患儿母亲为0.994。并且对右侧小腿脓肿进行了病理活检,提示慢性活动性炎症,伴肉芽肿样改变,符合慢性肉芽肿病(图2)。

病例述评
从知识体系构架角度上看,目前这类疾病是从炎症性肠病视角进行探讨,但是从疾病的本质来看又未尝不可将其归类为免疫缺陷病,具体来说,慢性肉芽肿病相关肠炎。或许,未来的教材会将其放在免疫缺陷疾病中也未必可知。
从临床实践角度上看,目前诊断的炎症性肠病患儿中,哪些情况要考虑免疫缺陷病的可能呢?见下表。

提到免疫缺陷病,常常进行基因检测。那么,基因检测临床思路如何?见下图。

若仍觉得要深入读读,下面的文献可供阅览:
向上滑动阅览
炎症性肠病是指原因不明的一组慢性非特异性、反复发作的肠道炎症性疾病。根据临床症状、实验室检查及内镜病理表现,炎症性肠病被分为克罗恩病、溃疡性结肠炎及未分型的炎症性肠病。在过去的50年里,炎症性肠病发病率明显增高,其中儿童炎症性肠病(发病年龄<17岁)占炎症性肠病患者的25%。加拿大的调查研究显示,1995-2005年10岁以下儿童炎症性肠病每年发病率增加5%~7%;芬兰调查显示, 21世纪早期儿童炎症性肠病每年发病率以6%~8%的速度增长;我国也有研究表明,儿童炎症性肠病发病率从2001年的0.5/106上升至2010年的6.0/106,提高了12倍。极早发炎症性肠病(very early onset inflammatory bowel disease,VEO-炎症性肠病)一般是指发病年龄<6岁的炎症性肠病,占儿童炎症性肠病的15%,<1岁发病的炎症性肠病即婴儿炎症性肠病占儿童炎症性肠病的1%。
VEO-炎症性肠病在多方面与大年龄儿童的炎症性肠病存在区别:(1)VEO-炎症性肠病多为广泛结肠受累,溃疡性结肠炎较克罗恩病多见,且仅有结肠受累的克罗恩病及未分型炎症性肠病患儿较大年龄儿童炎症性肠病多见,而空、回肠受累少;(2)VEO-炎症性肠病中腹痛症状较少见,可能部分与患儿年龄较小,主诉不清有关;(3)血便在VEO-炎症性肠病中较常见;(4)营养不良、 体重不增、肠道外症状在VEO-炎症性肠病中均较年长儿多见;(5)对激素、免疫*制剂抑**等常规治疗效果欠佳,需肠造口、部分肠切除等外科手术干预者较年长儿多见。VEO-炎症性肠病因其临床表现、治疗效果及预后等方面有其特异性, 因此, 受到越来越多的重视和关注。对于出现表1情况的患儿需警惕VEO-炎症性肠病。
炎症性肠病现被认为是由免疫、感染、遗传与饮食等多因素共同作用所致的结果。目前,全基因组关联研究(GWAS)已发现201个位点可能与炎症性肠病发病相关,而对于发病率较低的罕见基因突变,由于GWAS方法的局限性,不能被发现。与成人及年长儿炎症性肠病相比,VEO-炎症性肠病因其发病年龄较小,阳性家族史较多,遗传因素可能在其发病机制中起到较为重要的作用。随着家系全基因组测序临床应用的推广,目前儿童炎症性肠病中已发现50余种基因的单基因突变,如白细胞介素(IL)-10R、IL-10A/B、LRAB等,这些基因突变很多已被报道为原发性免疫缺陷病的致病基因。
1 发病机制及常见的免疫缺陷病
目前发现的单基因突变所致的VEO-炎症性肠病通过以下机制影响肠道免疫功能稳态,从而导致炎症性肠病发病:如T、B淋巴细胞活化异常及功能下降,上皮屏障功能的破坏,中性粒细胞、吞噬细胞对细菌清除能力的下降,免疫失调等。
1.1 调节性T细胞与IL-10的信号异常 如IL-10R、IL-10、叉头样转录因子3(Foxp3)等。调节性T细胞是 T细胞的一类亚群, 主要作用为调节免疫应答, 其免疫耐受功能可以使机体对自身抗原耐受, 从而阻止自身免疫及自身炎症性疾病的发生。调节性T细胞可通过分泌IL-10发挥免疫抑制作用。
1.1.1 IL-10及其受体缺陷 IL-10可由多种细胞释放产生,包括单核细胞、巨噬细胞、树突细胞、T淋巴细胞、B淋巴细胞、粒细胞等,是一单链糖蛋白,其基因定位于染色体1q21-32。IL-10可抑制多种炎症因子的释放,如肿瘤坏死因子(TNF)-α、IL-1、IL-6、IL-12等,且可参与巨噬细胞增殖、分化及失活,从而抑制和终止免疫反应。IL-10通过与IL-10受体(IL-10R)结合发挥其免疫抑制作用。IL-10R由两条α链及两条β链组成,即IL-10RA及IL-10RB。2009年,Glocker等首次报道2例IL-10RA基因突变及2例IL-10RB基因突变所致VEO-炎症性肠病病例,并证实IL-10通路信号传导障碍可导致转录激活因子3(STAT3)磷酸化受阻,从而导致肠道高炎性反应。自2009年至今,已发现100余例VEO-炎症性肠病患儿携带IL-10/IL-10R致病突变。2017年黄瑛团队对中国93例2岁以内发病的炎症性肠病进行基因测序,发现43例患儿携带IL-10R基因突变,检出率为45.2%,提示IL-10R基因缺陷为我国导致VEO-炎症性肠病尤其是2岁内炎症性肠病的最常见基因缺陷,其中以IL-10RA(42例)基因缺陷为主 。研究表明,该部分患儿起病早,均为婴儿期起病,多数为新生儿期起病;28.5%患儿有阳性家族史;消化道表现为腹泻、黏液血便、反复口腔溃疡,90%患儿有肛周病变如肛周脓肿、瘘管等,全身表现为营养不良及生长发育迟滞,肠道外表现有关节炎、葡萄膜炎、皮肤湿疹等;肠道内镜多见结肠溃疡性病变,空、回肠受累较少;肠镜病理组织学表现以上皮内肉芽肿、黏膜层单核细胞浸润及隐窝脓肿为特点。此类患儿对激素、5-氨基水杨酸(5-ASA)、沙利度胺、免疫*制剂抑**及生物制剂等治疗反应欠佳,脐血干细胞移植(HSCT)可使患儿病情得到持续缓解。黄瑛团队已有10例患儿接受了HSCT,均获得成功。
1.1.2 X连锁多种内分泌腺病-肠病伴免疫失调综合征(IPEX) CD4+CD25+调节性T细胞在免疫耐受中起到重要作用,FOXP3高表达于CD4+CD25+T细胞,其基因突变可导致IPEX 。FOXP3位于Xq11.23-Xq13,因此多为男性患儿发病,其主要表现为肠病、皮肤湿疹、脱发、多种内分泌疾病(1型糖尿病、甲状腺炎)等。多于婴儿期起病,表现为顽固的水样便,可表现为黏液血便,1型糖尿病、湿疹及食物过敏,常规免疫功能检查提示嗜酸性粒细胞及IgE升高,IgM、IgG、IgA水平可下降,并有不同程度调节性T细胞数量下降。肠镜病理检查无特异性,表现为绒毛萎缩,黏膜淋巴细胞及嗜酸性粒细胞浸润[16-17]。部分患儿应用激素及神经钙调蛋白*制剂抑**可控制病情,雷帕霉素可选择性地抑制效应T 细胞,同时也促进调节性T细胞增殖,以往文献回顾性研究7例雷帕霉素治疗IPEX及IPEX表型的免疫缺陷患者,雷帕霉素治疗后大多数患者肠道症状好转,部分患者感染次数减少,肠道绒毛结构改善明显且无严重不良反应发生。也有研究表明,5岁前行脐血HSCT可明显提高患儿存活率。
1.2 T和B淋巴细胞复合功能缺陷 如LRBA、CD40LG、WAS等。
1.2.1 LRBA及细胞毒性T细胞抗原(CTLA4)基因缺陷 LRBA编码LPS反应性米色锚样蛋白,其基因突变可导致反复感染,特别是呼吸道及EB病毒感染,血小板减少性紫癜、自身免疫性溶血性贫血、炎症性肠病等自身免疫性疾病。CTLA4通常表达于调节性T细胞表面,是免疫球蛋白超家族的受体,可传导抑制效应性T细胞的信号。CTLA4功能缺陷可导致调节性T细胞功能受损,效应性T细胞过度活化并导致包括肠道在内的多器官出现淋巴细胞浸润。CTLA4基因缺陷可表现为腹泻、肠病、反复严重的呼吸道感染、严重的自身免疫性疾病及淋巴细胞增殖样改变。有研究表明,LRBA基因调节CTLA4表达,LRBA基因缺陷可致Foxp3+调节性T细胞及传统T细胞的CTLA4蛋白水平降低,从而导致自身炎症活化。抗生素、 丙种球蛋白及免疫*制剂抑**的使用可使病情部分缓解, 氯喹可抑制溶酶体降解, 进而阻止CTLA4丢失, 从而改善症状。阿巴西普是CTLA4免疫球蛋白融合药物, 研究表明LRBA及CTLA4缺陷患者在接受阿巴西普治疗后, 肠道症状可明显缓解。HSCT可治愈该病。
1.2.2 普通变异型免疫缺陷病(CVID) CVID是目前诊断最多的原发性免疫缺陷病,其发病率为1/50000~1/25000。CVID主要表现为低丙种球蛋白血症,即IgG伴IgA和(或)IgM降低,且B细胞数量基本正常,但有B细胞成熟或分化障碍。有报道显示,20%~60%的CVID患儿可合并有胃肠道表现。胃肠道症状表现为慢性腹泻、体重不增、肠道吸收不良及炎症性肠病样结肠炎等。目前CVID合并炎症性肠病的发病机制并不十分清楚,考虑可能与T细胞平衡破坏及肠道低IgA水平所致肠道细菌增殖相关。丙种球蛋白替代治疗可改善CVID患儿的反复感染情况,但有研究表明其对CVID相关的炎症性肠病无明显缓解作用。
1.3 上皮屏障功能及反应缺陷 如B细胞编码κ轻链多肽抑制基因(IKBKG)、TTC7、ADAM17等基因异常。炎症性肠病为慢性黏膜炎症性疾病,所有影响上皮细胞完整性的免疫缺陷均可导致病原的移位,病原穿过肠黏膜上皮细胞,导致局部炎性反应。家族性色素*禁失**症为一类罕见的X连锁显性遗传疾病,其致病基因主要为IKBKG,又称NF-κB关键调节因子(NEMO),炎症性肠病为其最常见的并发症,约20%患儿可出现,多在婴儿期或儿童早期发病。NEMO一方面可通过IKK参与多种前炎症因子如TNF受体、IL-1受体等的编码,另一方面促进黏附因子、防御因子及抗凋亡因子的表达,因此NEMO在维持肠道细菌微生物和肠道本身稳态平衡中发挥重要作用。NEMO缺陷可导致肠道内皮屏障完整性受到破坏,进而细菌移位,导致肠道炎性反应。NEMO缺陷患儿表现为顽固腹泻、反复严重感染、生长发育迟缓及外胚层发育不良。HSCT可改善受损免疫细胞的功能,但对肠道内皮细胞完整性的改善及肠道细菌移位无明显作用,且有报道表明HSCT成功后部分NEMO缺陷患儿的炎症性肠病可加重。目前已有研究表明,TNF-α拮抗剂可改善NEMO缺陷中炎症性肠病症状。
1.4 中性粒细胞功能障碍 如NCF2、NCF4,SLC37A4基因异常。中性粒细胞是固有免疫的重要组成部分,在清除细菌及真菌方面起到重要作用。中性粒细胞数量减少几乎不引起结肠炎,导致炎症性肠病最常见的中性粒细胞功能异常疾病为慢性肉芽肿病(CGD)。CGD是相对多见的一类原发性免疫缺陷病,发病率为1/250 000,其病因为NADPH氧化酶缺陷,导致中性粒细胞不能释放ROS*伤杀**细菌及真菌。NADPH氧化酶包括5个亚基,分别为CYBB、CYBA、NCF1、NCF2及NCF4,其中CYBB缺陷最常见。除CYBB为X连锁隐性遗传外,其余4类缺陷均为常染色体隐性遗传。该病可表现为反复皮肤、呼吸道、淋巴结等部位的化脓性感染及真菌感染,约40%CGD患者有类似克罗恩病的表现,其病变主要累及结肠,内镜病理检查可见肉芽肿形成、嗜酸性粒细胞、中性粒细胞、淋巴细胞、浆细胞浸润及溃疡形成。目前认为CGD所致的炎症性肠病与感染无关,而是中性粒细胞吞噬功能缺陷导致炎症因子IL-1明显增多所致。HSCT可明显提高患儿的中性粒细胞功能,从而明显改善CGD患儿的炎症性肠病症状。
1.5 免疫失调性疾病 如X-连锁淋巴增生综合征2型(XLP-2),X连锁凋亡抑制蛋白(XIAP)缺乏症(也被称为XLP-2)。XIAP是凋亡抑制因子,可直接抑制Caspases并可多途径调节细胞凋亡。临床表现为噬血细胞综合征(HLH,敏感性升高,多见于EB病毒感染),复发性脾肿大和克罗恩病特点的炎症性肠病。惟一治愈的方法是HSCT,但是一项国际回顾性调查研究显示,19例 XIAP缺乏患者,经历了HSCT后病死率仍高达63%。
2 基因诊断策略及治疗
2.1 基因诊断策略 对于炎症性肠病患者,应仔细询问临床表现、既往史、家族史及进行细致查体,若出现表1中所提示的相关线索,应考虑免疫缺陷所致炎症性肠病可能,进行基因检测。免疫缺陷所致炎症性肠病仅能解释部分VEO-炎症性肠病患儿,但随着基因测序技术的发展及全外显子、全基因组测序在临床的应用,患儿基因突变明确诊断已成为可能。一方面,单基因缺陷的炎症性肠病在临床表现、预后及治疗方面与普通炎症性肠病患儿存在差异,尽早明确诊断可指导恰当治疗方式的选择;另一方面, 明确基因突变可促使我们深入了解疾病发病机制, 使精准、 靶向治疗成为可能。同时, 明确基因突变后, 可以为这些家庭提供遗传咨询。图1为基因检测的选择提供了临床思路。
2.2 治疗 对于单基因突变所致的免疫缺陷相关炎症性肠病, 目前尚无明确的治疗规范。其治疗目标为控制临床症状, 阻止疾病进展、 保证正常的生长发育、 提高日常生活质量, 同时尽量降低药物副反应。
TNF-α拮抗剂可增加免疫缺陷患儿真菌感染的风险, 如 CGD、 先天性角化不良等, 因此在使用免疫*制剂抑**之前应做好免疫功能及病原的筛查。
单基因突变所致的免疫缺陷相关的炎症性肠病患儿,针对其基因缺陷所在的通路,部分基因缺陷目前已有特效治疗药物,因此明确基因缺陷种类对指导后续治疗有着非常重要的意义。如体液免疫缺陷患儿可给予羟基氯喹治疗。LRBA基因缺陷患儿可给予雷帕霉素治疗。CTLA4基因缺陷可给予阿巴西普治疗。对于部分具有免疫缺陷的炎症性肠病患儿,骨髓移植可使疾病得到明显缓解,如CGD,IPEX综合征、IL-10通路缺陷及所有重症联合免疫缺陷病均应考虑予以骨髓移植。另一些免疫缺陷的炎症性肠病患儿,导致上皮屏障功能受损者,如先天性角化不良症则不适合骨髓移植治疗。同时可根据肠道炎性细胞浸润的特点来选择治疗药物:若提示淋巴细胞浸润,特别是在小肠且伴有绒毛萎缩,选用雷帕霉素优于TNF-α*制剂抑**治疗;对于肠道内T淋巴细胞明显增多的患儿,可选用维多珠单抗治疗(vedolizumab)。相反,若为中性粒细胞浸润为主,病变局限于结肠,则TNF-α拮抗剂可有较好的治疗效果。
综上所述,对于儿童炎症性肠病,其诊断不能仅限于临床及内镜下表现、组织病理学等,对于高度怀疑单基因炎症性肠病的患儿,应关注进行基因检测以明确是否为相关单基因缺陷,从而实现早期精准干预,改善患儿预后。