接上一篇文章,今天我们从影像科角度再来说说导致“纱布门”患者大出血的另一个因素—胎盘植入。
胎盘植入是指胎盘蜕膜发育不良而绒毛组织侵入子宫肌层引起的病变。病理学上将没有蜕膜作为中介物的情况下发生的胎盘种植称为胎盘植入。根据胎盘绒毛侵入子宫肌层的深度可将其分成胎盘粘连(胎盘组织粘附于子宫肌壁表层)、胎盘植入(绒毛侵入子宫深层肌壁)、胎盘穿通(绒毛穿透子宫肌壁),胎盘植入对孕产妇及围产儿的健康造成极大的威胁。因此,早期准确的诊断胎盘植入就显得尤为重要,那么如何运用现代的影像手段来提高胎盘植入的准确性呢?
上一篇文章杨大夫已经将超声和MRI的优缺点简单阐述了一下,有研究表明,MRI 诊断胎盘植入敏感性、特异性和准确性分别为85%、80% 和82%,超声诊断胎盘植入的敏感性、特异性和准确性分别为62%、80%和71%,这表明,MRI 检查比超声检查有更多的优势,其各项诊断试验评价指标明显高于后者。
在MRI上显示植入部位子宫肌层局部均不同程度地变薄,胎盘基底面不规则。低信号的子宫肌层内见局部高信号病灶,呈结节状或三角形、锯齿状、不规则形,T2WI胎盘内信号不均匀,内可见较多、粗大的流空血管影和低信号带。严重时胎盘可穿过肌层,穿通部位肌层信号中断,胎盘基底面与子宫壁融合,分界不清。但请关注,目前的技术,MRI的诊断准确率也只能做到82%而已。

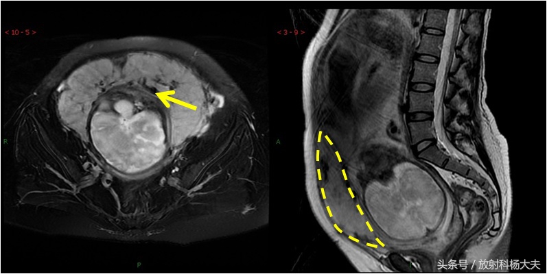
胎盘植入的MRI图。黄箭所示黑黑的东西就是一些粗大的血管,可以想象这些血管破裂会有多可怕的后果。另外出血的原因是胎盘植入到子宫壁内,难以剥离。
因胎盘植入导致的大出血太过凶险,目前临床上的做法,一旦有所怀疑,在生产时都会配备团队,做好各种准备。宁可信其有,不可信其无。
超声具有实时、动态和经济的特点,但不能明确胎盘组织侵入子宫肌层的程度,如果胎盘位于宫底部或子宫后壁,超声检查的假阴性率较高。再者,操作者技术水平和方式也是其影响因素。这些均是超声诊断敏感性低的原因。MRI 结合增强能明确诊断胎盘植入及判断肌层侵入情况,超声结合造影能鉴别胎盘植入与粘连,从临床诊断价值的角度来看,MRI 对胎盘植入深度及范围的诊断、疗效评估以及患者是否需要手术切除子宫等信息有较高的参考价值,比超声具有更多的优势,尤其当超声诊断困难时,可行磁共振检查,但需指出,超声作为方便廉价的筛查手段地位仍然不可取代。另外,孕妇也不推荐做MRI增强扫描,除非确定不能保孩子了。

来自网络
胎盘植入与哪些因素有关呢?
1、流产、剖宫产和产次:流产史是胎盘植入发生的危险因素,且胎盘植入的发生率与流产次数呈正比。剖宫产史也与胎盘植入有关,多次分娩可损伤子宫内膜导致胎盘植入的发生,随着剖宫产次数的增加,胎盘植入的发生率也呈上升趋势。
2、胎盘前置:胎盘前置是胎盘植入具有一定的相关性,且中央型前置胎盘为胎盘植入的高危因素。
3、年龄:随着年龄的增加(≥35岁),子宫肌层动脉壁的正常肌肉成分被越来越多的胶原蛋白取代,动脉管腔扩张收到限制,影响了胎盘的血供。
4、妊娠期合并症:妊娠合并高血压,可使胎盘局部的螺旋小动脉收缩、痉挛,从而使胎盘血供不足、滋养层细胞侵入,导致胎盘植入发生。
但是遇到胎盘植入,我们也不必惊慌失措,可以采取期待疗法,即在保证孕产妇安全的前提下延长胎儿胎龄,使之达到或更接近成熟,从而降低围生儿的死亡率。具体做法包括: ①绝对卧床休息。常规采取左侧卧位,以解除右旋的子宫对下腔静脉的压迫,以利于改善胎盘的血液循环。②关注防止出血外,积极纠正贫血。期待疗法治疗期间,除了密切观察阴道出血,任何有意义的失血也必需立即纠正。③用镇静和宫缩抑制药物,避免局部刺激,做好终止妊娠的准备工作。
前置胎盘及合并胎盘植入的预防主要采取以下3 个方面措施: ①加强计划生育宣教,少生优生,适龄生育,防止多孕、多产及多次宫腔操作,减少子宫内膜损伤。②提高医务人员的技术水平,避免医源性子宫内膜损伤,严格掌握剖宫产指征。③采用阴道彩色多普勒超声、血清甲胎蛋白检查等方法,以尽早发现胎盘植入,为手术创造充分的条件。
随着二胎政策的放开,越来越多的父母选择了生二胎,许多高龄的女性,在准备生二胎之前,最好先咨询一下医生,做好优生优育。
部分参考文献:
《65例胎盘植入患者的危险因素分析》。
《前置胎盘并胎盘植入诊断和处理策略》。
《前置胎盘与胎盘植入相关因素分析》。