
我们去医院会做到各种检查,而CT 、 X 光、核磁共振这三个医疗检查设备的名字普通民众也不陌生,但大多数人对它们的了解也仅仅局限于“名字”。
这些检查到底是怎么查?
区别在哪?
究竟辐射程度如何?
其实这些问题困扰过
很多不明真相的吃瓜群众,
福州疾控今天为您一一解答。
一般而言
对这三种影像检查的解释
是这样的
X光——把东西“压扁”看
就是用 X 光给你的身体拍了一张照片的检查方式。所以 X 光也叫拍片子。

(x射线长这样哦)
X光会穿过人体,不同组织吸收形成不同的曝光,遇到被遮挡的部位,底片上不会曝光,洗片后这个部位就是白色的。
就像一片面包或一块棉花,看不到里面的纤维纹理,但用手压瘪了会清晰一些。所以其明显的优点就是适合平面透视,而最大缺点是受制于深浅组织的影像相互重叠和隐藏,有时需要多次多角度拍摄X光片。
它可对人体胸部、腹部、腰椎、四肢等部位进行正位、侧位进行摄影诊断。
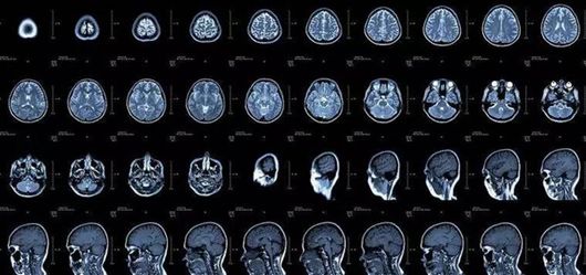
CT——把东西“切片”看
CT也是用 X 光给身体拍照片的检查方式。不过不是拍一张,而是要拍很多张,一层一层地拍。

(CT片子长这样哦)
CT是利用X射线束对人体某部位进行断层扫描,获得人体被检部位的断面或立体图像。
我们现在把X光片的影像看作是还未切开的吐司,在最上面一层隐约可以看见一些小黑点,但不是很清晰。我们再给吐司做一个“CT检查”,把它切开成一片一片的。做完检查之后发现,里面竟然别有洞天!刚刚不确定的小黑点原来是一颗一颗的葡萄干,而且当中还有若干的葡萄干。

所以其优点是可以分层看。从X光到CT的突破和进步,我们可以广义的理解为:医生从一个长方形到从一个长方体看病变区域的突破。
CT检查对骨损伤、胸部疾病、心及大血管等具有重要的诊断价值,已广泛应用于临床。
核磁共振—— 把东西“摇摇”再看
核磁共振(MRI)的显影原理是探测水分子的变化。身体里的水分子,在不同组织中含量差别较大,但是每个水分子的磁场磁力线方向都是随意的。

(核磁共振片子长这样哦)
核磁共振机使用较强大的磁场,使人体中所有水分子磁场的磁力线方向一致,这时磁共振机的磁场突然消失,身体中水分子的磁力线方向,突然恢复到原来随意排列的状态。反复多次施加磁场又突然消失,核磁共振机会得到充分的数据并运算后成像。
简单说,就相当于用手摇一摇,让水分子振动起来,再平静下来,感受一下里面的振动。所以,核磁共振也被戏称是“摇摇看”的检查。

看了以上的解释
吃瓜群众
是否还一头雾水

如果还是不懂
各位也可以把检查
当做是一个选瓜的过程

X光检查,就是给瓜拍个透视照挑瓜。
CT 检查,就是把瓜切成一片一片看瓤挑瓜。
核磁共振检查,就是拿起瓜摇一摇,再观察挑瓜。

接下来
再给大家讲讲辐射的问题
X射线辐射高吗
在获得影像同时,受检者也会接受一定的辐射剂量。单次检查的剂量并不高。但因为此类设备分辨率高,曝光成像时间极短,大大缩短了病人检查和等待的时间。
按照环境保护部和国家卫生和计划生育委员会2017年联合发布的《射线装置分类》公告,X射线摄片机属于Ⅲ类射线装置,Ⅲ类为低危险射线装置,事故时一般不会使受到照射的人员产生放射损伤。
CT好,那我直接拍CT不行吗
NO!
X光片和CT的原理是一样的,都是利用X射线的穿透作用,通过组织密度不同的人体后形成辐射线衰减强度不同的影像。
但是,CT 辐射剂量较普通 X 射线机大,患者所接受到的辐射剂量会更大一些,不宜将CT检查用于常规诊断手段,另外,CT 在价格上也更昂贵。
如果在 X 光片上发现可疑的病变影像,又不能确诊时,这时我们才会再建议给予CT检查作为加强辅助。
X射线会影响胎儿吗
对于一些特殊群体,比如孕妇或者备孕人群,在准备进行 X 线相关检查时,请务必告知放射科检查技师,寻求他们的建议。很多接受过 X 线相关检查的女性被告知检查后半年内不要受孕,其实情况远没那么严重,因为这些说法是医生们出于最大安全的考虑给出的建议,接受检查三个月后再准备受孕是非常安全的。
这么听来核磁共振辐射更大
NO !
核磁共振无射线伤害,不存在电离辐射,已经成为一种常见的影像检查方式。
对于颈椎病、腰椎间盘突出等椎间盘疾病,需要观察软组织,优选核磁共振;同样,对于关节、肌肉、脂肪组织检查,核磁也是首选。
那我多花点钱,选择核磁共振不是最好吗
核磁共振虽然没有辐射,但是价格较高,禁忌症也较多,且有些方面核磁共振不如CT。如:对肺小结节、骨骼结构的细节表现、骨折等。所以究竟选择X光、CT还是核磁共振,都需要医生对症选择哦。
总结一下

X射线摄片、CT、磁共振成像已成为“三驾马车”,三者有机地结合,能使当前影像学检查既扩大了检查范围,又提高了诊断水平。
希望通过今天的科普大家可以不用谈放射色变,选择合适的放射方式,帮助我们更好的找到病因,更快的治疗疾病。
供稿:职业卫生科
编辑:韩小编