治疗转移性前列腺癌 (抵抗性前列腺癌怎么治疗)

转移性内分泌治疗敏感性前列腺癌,抵抗性转移性前列腺癌

新型内分泌治疗药物阿比特龙将为转移性去势抵抗性前列腺癌(mCRPC)患者带来更大生存获益。

mCRPC一直是前列腺癌治疗的难点之一,过去数十年进展缓慢。直到2004年,有研究首次证实多西他赛一线化疗可延长此类患者的生存。然而,化疗副作用相对较大,部分患者对其不耐受,生活质量受到影响。新型内分泌药物阿比特龙的出现改写了这一局面。2011年,阿比特龙获批用于治疗多西他赛化疗无效的mCRPC患者,一年后又被批准扩大使用于mCRPC的一线解救治疗。

阿比特龙在mCRPC领域表现如何?哪些患者使用它可以最大获益?最佳治疗时机是什么?这将是我们今天探讨的内容。

转移性前列腺癌患者治疗新思路

目前认为,一经确诊为mCRPC,启动阿比特龙治疗的最佳时机就是现在,越早越好。对于合并明显疼痛症状、体能状态差的mCRPC患者,阿比特龙有助于缓解疼痛、恢复体能,早期应用将给患者带来较大获益。

另外,对于转移性激素敏感性前列腺癌(mHSPC)患者,也应重视新型内分泌治疗。目前临床上的mHSPC患者大多采用的是联合雄激素阻断(CAB)治疗,但治疗一段时间后常常会出现耐药,进而发生生化进展,进入mCRPC阶段。这类人群同样需要第一时间启动阿比特龙治疗。

注:前列腺癌的生化进展指的是,间隔1周或以上连续3次测量前列腺特异抗原(PSA)上升,连续两次较最低值升高50%以上,且PSA上升到>2ng/ml。影像学进展是指全身核素骨显像发现2个或2个以上的新病灶或符合实体瘤反应评价标准的软组织病灶增大。达到生化进展或影像学进展,且血清睾酮达到去势水平(<50ng/dl),即可诊断为mCRPC。

对于需要启动阿比特龙治疗的患者肖像进行总结,即初诊断为mCRPC的患者,特别是化疗或CAB治疗失败,以及诊断为mHSPC后发生PSA进展(PSA>2ng/ml)或影像学进展,且血清睾酮达到去势水平的患者。满足以上条件的人群,应第一时间启动阿比特龙治疗。

早期启动新型内分泌治疗的生存获益

大型研究结果提示,mCRPC患者早期启用阿比特龙治疗能有显著生存获益。根据COU-AA-302研究结果,阿比特龙可显著延长化疗前mCRPC患者的总生存期(OS),并为症状较轻的未化疗患者带来进一步生存获益。

COU-AA-302研究是一项随机、双盲、安慰剂对照的3期临床研究。纳入1088例未接受过化疗的mCRPC患者,按1:1随机分为两组:阿比特龙组(n=546),治疗方案为阿比特龙(1000mg/d/次,每日1次)+泼尼松(5mg/d);对照组(n=542),治疗方案为安慰剂+泼尼松(口服5mg,每日2次)。持续治疗至疾病进展/采用新方法治疗/不可耐受毒性/患者退出为止,中位随访49.2个月。此后,Miller等又对研究中症状较轻患者进行亚组分析。

研究显示,在未经化疗的mCRPC患者中,试验组(阿比特龙+泼尼松)与对照组(安慰剂+泼尼松)相比,OS为34.7m vs. 30.3m(HR=0.81,95% CI 0.70-0.93;P=0.0033)(图1)。对于症状较轻的未化疗患者,阿比特龙治疗获益更加明显:试验组与对照组OS对比为53.6m vs. 41.8m(HR=0.61,95%CI 0.43-0.87;P=0.006)(图2)。

转移性内分泌治疗敏感性前列腺癌,抵抗性转移性前列腺癌

图1 阿比特龙延长未化疗患者OS

转移性内分泌治疗敏感性前列腺癌,抵抗性转移性前列腺癌

图2 阿比特龙进一步延长症状较轻的未化疗患者OS

此外,在未经化疗的mCRPC患者中,阿比特龙还可显著延长其影像学无进展生存 (rPFS) 、至化疗时间、至阿片类药物使用时间和治疗持续时间等指标(表1)。

表1 阿比特龙的各项生存获益

转移性内分泌治疗敏感性前列腺癌,抵抗性转移性前列腺癌

注:AA=阿比特龙,P=泼尼松,NR=未达到

至于阿比特龙对于化疗后mCRPC患者的治疗作用,在COU-AA-301研究中也得以证实。该研究评估了4个与患者生活质量密切相关的指标:疼痛强度进展、骨相关事件的发生、疲乏症状和患者总体生活质量变化。以前列腺癌肿瘤治疗功能评估问卷(FACT-P)评估患者生活质量结果显示,阿比特龙联合泼尼松显著延缓疼痛进展,推迟骨相关事件、改善疲乏和延缓患者生活质量下降(表2)。

表2 阿比特龙持续改善mCRPC患者生活质量

转移性内分泌治疗敏感性前列腺癌,抵抗性转移性前列腺癌

可见,mCRPC患者应用阿比特龙不仅能够显著延长OS、rPFS等关键指标,还可有疼痛改善、疲乏改善等获益,生活质量有所提高。早期应用,获益更大。

指南对于mCRPC患者的治疗推荐

鉴于阿比特龙在大型试验中获得的良好数据以及临床实践中展现的出色疗效,我国《2018版转移性前列腺癌诊治专家共识》中推荐,对于无症状或轻微疼痛症状、合并明显疼痛症状、多西他赛化疗后进展这3种情况的mCRPC患者,均可采用阿比特龙治疗(图3)。其中,推荐阿比特龙用于无/轻微疼痛或多西他赛化疗后进展的mCRPC患者是1级证据级别。

转移性内分泌治疗敏感性前列腺癌,抵抗性转移性前列腺癌

图3 共识对于mCRPC患者的治疗推荐

《前列腺癌新型内分泌治疗安全共识》2018版也对阿比特龙用于mCRPC治疗进行了推荐(表3)。

表3 阿比特龙治疗前列腺癌的用药情境模式

转移性内分泌治疗敏感性前列腺癌,抵抗性转移性前列腺癌

病例回顾

真实世界中,阿比特龙可显著改善mCRPC患者的症状与生活质量,并遏制PSA进展,疗效良好。以下是一例来自临床的经典案例:

基本信息

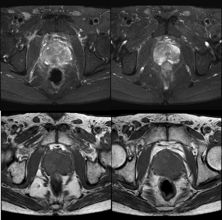
男性患者张某,65岁,2018.6.20因“体检发现PSA升高”就诊。初始tPSA大于100ng/ml,就诊时患者即有下尿路梗阻症状及全身多处疼痛症状。穿刺结果:前列腺腺癌,Gleason4+3=7分。

影像学检查

ECT

2018.6.25:颈椎下段,右侧肩胛骨,右侧第1肋,胸4椎体,右侧5、8后肋,左侧骶髂关节,右侧髋关节,右侧耻骨骨质代谢局灶性活跃,首先考虑骨转移。

转移性内分泌治疗敏感性前列腺癌,抵抗性转移性前列腺癌

2018.11.21:上述骨骼代谢局灶性活跃,多数病灶较前代谢降低。

转移性内分泌治疗敏感性前列腺癌,抵抗性转移性前列腺癌

MR

2018.6影像表现如下:

前列腺外周带及中央腺体异常信号灶,前列腺癌待排,累及右侧精囊腺。盆腔及两侧腹股沟肿大淋巴结。

转移性内分泌治疗敏感性前列腺癌,抵抗性转移性前列腺癌

转移性内分泌治疗敏感性前列腺癌,抵抗性转移性前列腺癌

(向上滑动查看影像学检查结果)

治疗情况

2018年6月~11月: 亮丙瑞林+比卡鲁胺+唑来膦酸;2018年12月至今:亮丙瑞林+阿比特龙+泼尼松(图4)。

转移性内分泌治疗敏感性前列腺癌,抵抗性转移性前列腺癌

图4 患者治疗后的tPSA变化

(图片来源:医生的真实病例)

病例特点及讨论

患者初始诊断即为高危高瘤负荷mHSPC患者,经过内分泌(CAB)治疗,患者PSA及下尿路梗阻症状明显好转,但骨痛症状改善不明显。

短暂一线治疗(CAB)有效后,患者6个月时即出现PSA持续升高,进入mCRPC阶段。改用二线内分泌治疗(阿比特龙)后,患者骨痛症状明显好转,并且PSA在一个平台期后,开始下降。

患者虽然Gleason评分为4+3,但肿瘤生物学行为极差、侵袭性强,PSA倍增时间(PSADT)短,从开始治疗到生化复发(BCR)时间短,一线治疗改善疼痛效果不明显。

这一病例提示,采用CAB等传统内分泌治疗的mHSPC患者,当出现PSA倍增、进入mCRPC状态,立即转用二线内分泌治疗(即阿比特龙),可以有效降低PSA、改善症状、提高生活质量,从而得到更大生存获益。

病例提供专家

转移性内分泌治疗敏感性前列腺癌,抵抗性转移性前列腺癌

周峰

周峰,浙江大学医学院附属第一医院泌尿外科主治医师,美国Dana Farber/Harvard Cancer Center访问学者/博士后,美国University of Massachusetts Boston, Center for Personalized Cancer Therapy访问学者/博士后,American society of clinical oncology (ASCO)会员,American Urological Association (AUA)会员,American Association for Cancer Research (AACR)会员,浙江省康复医学会泌尿男科康复专业委员会委员,浙江省数理医学学会泌尿系统肿瘤专业委员会委员 ,浙江省抗癌协会粒子学组委员。

专家点评1

阿比特龙作为新型内分泌治疗药物的代表,是目前唯一一个在中国上市的新型内分泌治疗药物。COU-AA-301研究显示阿比特龙可以作为多西他赛化疗失败后二线治疗方案,而COU-AA-302的研究结果则进一步奠定了阿比特龙在mCRPC的一线治疗的地位。

2019年 美国临床肿瘤学会泌尿生殖系统癌症研讨会(ASCO-GU)公布的LATITUDE的最终分析结果显示,阿比特龙可延长高危mHSPC患者的生存期53.3个月,降低死亡风险34%。LATITUDE的研究结果表明对于高危患者在激素敏感阶段早期使用阿比特龙更能带来治疗获益。

不难看出,新的循证医学证据正在将新型内分泌治疗药物的应用场景往前推。因此,以阿比特龙为代表的新型内分泌治疗药物改变了晚期前列腺癌的治疗模式。对于mCRPC,启动新型内分泌治疗药物宜早不宜迟。

2017年阿比特龙被纳入《国家医保药品目录》。随着各省级医保目录落地实施后,患者的医疗费用负担进一步减轻,必将促进新型内分泌治疗药物在临床推广应用,使更多的晚期前列腺癌患者的治疗获益最大化。

转移性内分泌治疗敏感性前列腺癌,抵抗性转移性前列腺癌

邢金春教授

邢金春,主任医师、教授。厦门大学附属第一医院泌尿外科主任,厦门市泌尿系统疾病诊治中心主任,厦门市泌尿系肿瘤和结石重点实验室主任,厦门市第九批拔尖人才,中华医学会泌尿外科学分会委员兼女性泌尿外科副组长,厦门市医学会泌尿外科学分会主任委员。《中华泌尿外科杂志》《现代泌尿外科杂志》等学术杂志编委。

专家点评2

阿比特龙作为截至目前唯一在我国上市的新型内分泌治疗药物,其疗效与安全性得到了多项大型研究肯定。经典研究COU-AA-301与COU-AA-302分别证实了阿比特龙可用于化疗后失败和未化疗mCRPC患者,能显著延长OS并改善生活质量,为广大mCRPC患者带来希望。这些研究的成功,使mCRPC患者在传统内分泌治疗和化疗之外,有了新的、更好的治疗选择。目前,临床上普遍认为确诊为mCRPC后应早期启动阿比特龙治疗,以使患者得到更大生存获益,这也是国内外指南与共识的一致推荐。

转移性内分泌治疗敏感性前列腺癌,抵抗性转移性前列腺癌

李涛教授

李涛,福建省立医院泌尿外科主任医师、副教授、硕士生导师。任福建省医学会男科学分会副主任委员,泌尿外科学分会委员,福建省抗癌协会泌尿男生殖肿瘤专业委员会委员,国际尿石症联盟全国青年委员,《手术》电子杂志微创学篇编委,擅长联合采用多种微创技术治疗复杂性泌尿外科疾病。

参考文献

[1] 中国抗癌协会泌尿男生殖系肿瘤专业委员会.《2018版转移性前列腺癌诊治中国专家共识》.《中华外科杂志》2018年9月第56卷第6期.

[2] Ryan CJ, SmithMR, Fizazi K, et al. Abiraterone acetate plus prednisone versus placebo plusprednisone in chemotherapy-naive men with metastatic castration-resistantprostate cancer (COU-AA-302): final overall survival analysis of a randomised,double-blind, placebo-controlled phase 3 study. Lancet Oncol 2015;16:152–60.

[3] Miller K, CarlesJ et al. The Phase 3 COU-AA-302 Study of Abiraterone Acetate Plus Prednisone inMen with Chemotherapy-naïve Metastatic Castration-resistant Prostate Cancer:Stratified Analysis Based on Pain, Prostate-specific Antigen, and GleasonScore. Eur Urol. 2018 Jul;74(1):17-23. doi: 10.1016/j.eururo.2017.08.035.

[4] Karim Fizazi, etal. Lancet Oncol 2012; 13: 983–92.

[5] 中国抗癌协会泌尿男生殖系肿瘤专业委员会,2018版转移性前列腺癌诊治中国专家共识.DOI:103760/cmaJissn0529-5815.2018.09.002.