
原文标题:Revisiting Tension Band Fixation for Difficult Patellar Fracture.
原文作者:Hambright D S, Walley K C, Hall A, et al.
原文出处:Journal of Orthopaedic Trauma. 2017, 31(2): e66-e72
翻译作者:谭权昌 解放军第454医院
翻译校审:任守松 滨州医学院附属医院
摘要:
美国医生回顾分析了一种改良传统张力带固定术治疗髌骨骨折的临床疗效,他们认为该手术方法是确切有效。
关键词:髌骨骨折、张力带、环扎钢丝、粉碎性髌骨骨折

背景
对于骨折移位明显及关节面塌陷的复杂髌骨骨折,手术治疗的目标是重建伸膝装置、维持关节正常活动、恢复髌骨完整性以及促使膝关节早期活动。目前髌骨骨折通常采取的治疗方法有膝关控制动保守治疗、开放复位张力带固定、拉力螺钉固定、钢丝环扎、钢板螺钉结合钢丝固定、髌骨完全或部分切除等。
目前基于AO原则的开放复位+张力带固定是髌骨骨折标准治疗方法。但对于粉碎性、骨质疏松条件下髌骨骨折、髌骨骨折翻修手术及术后关控制动依从性差的髌骨骨折患者等复杂髌骨骨折的治疗尚无统一标准的手术方法。因此,美国医Hambright等回顾分析了他们利用一种基于传统张力带固定方法的改良手术方法治疗复杂髌骨骨折的临床疗效,该研究发表在2017年2月的Journal of Orthopaedic Trauma杂志上。
手术方法
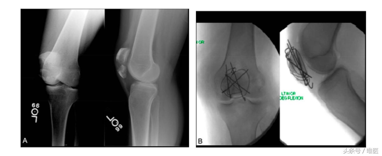
患者术前常规预防性抗生素使用,仰卧位消毒铺巾后,前正中切口暴露骨折,直视下判断骨折程度、主要骨折线位置及评估是否可使用多重钢丝复合张力带固定技术。前述复杂性髌骨骨折为本手术方法的适应征。术中利用2枚或2枚以上1.6mm克氏针固定主要横行骨折线,再利用额外1.6mm克氏针固定其他主要骨折平面,18号胸骨钢丝“8”字形多重张力带结合钢丝环扎技术固定主要骨折块(图1),必要的情况下可3.5mm实心或4.0mm空心螺钉辅助固定骨折块。骨折固定稳妥充分冲洗伤口,逐层关闭切口。

图1多重钢丝复合张力带技术开放复位内固定粉碎性髌骨骨折:(A)术前髌骨骨折正侧位片;(B)术中透视示克氏针固定主要骨折线平面+张力带及钢丝环扎加固内固定结构。
临床病例
本研究回顾分析了2005-04-20至2014-09-25在该院利用开放复位+多重钢丝复合张力带技术固定手术治疗且随访12个月以上的27例(男9例,女18例)髌骨骨折患者。研究排除骨骼发育未成熟患者、非本手术方案治疗的髌骨骨折患者及随访少于12个月的术后患者。骨折移位>3mm和/或关节面塌陷>2mm合并有以下情况之一者:粉碎性骨折、骨质疏松、翻修手术以及术后活动限制依从性差患者行手术治疗。其中粉碎性骨折(34-C3型)14例(51.9%)、星形骨折(34-C2型)10例(37.0%)、横行骨折(34-C1型)2例(7.4%)、不确定分型1例(3.7)。
多重钢丝复合张力带技术固定结构如图2:其中Ⅰ型:9例(33.3%);Ⅱ型:3例(11.1%);Ⅲ型:12例(44.4%);Ⅳ型:3例(11.1%)。

图2 不同类型多重钢丝复合张力带技术固定髌骨粉碎性骨折模式图:传统张力带结构(A):2枚克氏针+1根张力带钢丝;Ⅰ型结构(B):2枚克氏针+2根张力带钢丝,无环扎钢丝;Ⅱ型结构(C):>2枚克氏针+2根或以上张力带钢丝固定,无环扎钢丝;Ⅲ型结构(D)2枚或以上克氏针+1根张力带钢丝+环扎钢丝;Ⅳ型结构(E):1枚或以上螺钉结合克氏针/张力带/环扎钢丝。
结果
3例(11.1%)患者早期发生髌骨骨折内固定失败。其中1例患者因术后未遵嘱制动、1例患者因术后再次跌倒膝关节着地致再次骨折、1例患者在骨折愈合前内固定失败。后期临床结果:19例(70.4%)患者在中位时间260天时需行髌骨骨折内固定术后内固定装置取出、5例(18.5%)患者在中位时间232天时需行髌骨相关性内固定术后二次手术(其中1例患者因术后持续疼痛行关节镜检查提示软骨退化、滑膜炎及粘连;2例患者因关节活动度丢失需行推拿治疗;1例患者因异位骨化切除及因关节活动困难行股四头肌成形术需推拿治疗;1例患者因首次及内固定取出术后需行髌韧带修复术)。
术后26例(96.2%)患者获得关节活动度随访数据,术后膝关节中位屈曲角度为130°。1例(3.7%)患者出现膝关节屈曲挛缩约20°,同时该患者为术后关控制动依从性不佳致内固定失败患者。所有其他患者均无屈曲挛缩及伸肌迟滞,术后膝关节最大活动度恢复中位时间为461天。
影像学评估结果显示术后22例(81.5%)患者髌骨骨折术后实现骨性愈合,中位愈合时间为168天;1例患者因同侧大腿癌肉瘤需行放化疗及肿瘤切除,术后560天骨折仍未愈合;2例(7.4%)患者术后骨不连,但无需再次翻修手术,且伸膝活动正常,屈膝约110°。3例(11.1%)患者无法获得初次术后影像学资料,且均需进行二次翻修手术(其中1例因跌倒再次髌骨骨折、1例初次内固定失败,二次手术后2例患者均骨折愈合;1例患者术后早期制动医嘱依从不佳致内固定丢失并失访)。
总结
复杂髌骨骨折如粉碎性骨折、骨质疏松条件下髌骨骨折等尚无标准统一手术方法,通过标准张力带固定通常难以复位粉碎性骨折块,且术后临床效果较差。
本研究中,作者基于传统张力带固定技术,经复合克氏针、螺钉及钢丝环扎可以实现复杂髌骨骨折的稳妥固定,重建伸膝装置,恢复膝关节活动。与既往其他手术方法类似,该方法固定复杂髌骨骨折有效,骨折骨性愈合率达81.5%,术后无感染发生,但术后高达70.4%的患者因内植物相关膝关节症状而需行内固定取出,作者考虑与内植物的数量增加有关。此外样本量小、随访时间短、缺乏对照以及无生物力学分析是该研究的不足之处。但综上,作者认为该手术方法不失为一种实用且经济有效的治疗复杂髌骨骨折的方法。
文献原文:
《Revisiting Tension Band Fixation for Difficult Patellar Fractures》

想要学习更多骨科专业知识?
各大应用市场*载下**“唯医”APP
手术视频免费*载下**会议直播从不间断
细分骨科所有专业让您光速获取资源
随时随地,唯医为医!