
肺癌
靳老太太,今年80岁,肺癌病史5年余,过完80岁的七夕节,在家属放弃呼吸机抢救下,安静的离开了人世。老太太5年前(2012年4月)体检查出右肺中叶结节,考虑肺癌,在肿瘤医院胸外科行微创肺叶切除术,术后病理性质为腺癌,基因检测EGFR未突变,术后分期IIa期,曾行4周期术后化疗。后定期复查,在术后2年(2014年5月)复查时发现双肺多发结节,考虑肺癌复发,活检取病理仍为腺癌,基因检测提示ALK融合基因弱阳性,给予“克唑替尼”靶向药物治疗,治疗1月后复查双肺结节缩小,考虑治疗有效,副作用可耐受,坚持服用该靶向药物。老太太在家吃吃药,生活基本能自理,有比较好的生活质量。

肺和脊柱
2015年9月患者腿疼、腰疼,全身骨扫描提示右侧股骨、腰椎、胸骨等多发骨转移,进一步相应部位的核磁检查提示骨质破坏严重,此时再继续服用克唑替尼的基础上,每月增加一次唑来膦酸抗骨转移治疗。间断服用泰勒宁等镇痛药物患者疼痛控制尚满意,但是老太太骨转移后生活质量明显下降,此后的生活基本上已卧床为主。但食欲一切都好。

靶向药
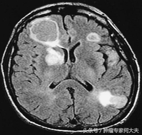
2016年4月老太太全身骨痛加重,并出现间歇性意识不清,并有晕厥现象,颅脑磁共振检查提示“多发脑转移”,在家属积极配合下,行全脑放疗10次,放疗后患者一度不吃不喝,消瘦明显,给予最佳支持疗法。患者体能逐渐恢复。治疗上改予“色瑞替尼”(国内暂没有,针对克唑替尼耐药后的替代品),尽管这药很贵,每月自费费用在五万左右,但家属对老人百般孝顺, 不离不弃,定期从外买药给老太太口服。服色瑞替尼的第一个月,老太太肠胃反应很大,反复恶心呕吐,严重腹泻,常出现严重低钾血症、低钙血症,后在中医中药的调解下逐渐耐受了,坚持口服该药1个多月后,老太太意识、精神状况明显好转,多项异常血液肿瘤标记物也明显下降。

骨转移
2017年3月底,老太太无明显诱因下出现舌强语塞,思维混乱,有时候胡言乱语,同时血肿瘤标记物也开始全面动态反弹,初步考虑色瑞替尼耐药,再次换药,此次的药物为“艾乐替尼”(新进的报道很火),该药国内尚无,家属自费去日本购买,服药后老太太一度出现意识好转,血液部分肿瘤标记物也有所下降,但在坚持服药的第三个月里,患者由于长期卧床,合并了坠积性肺炎,重症肺部感染,经“大万能”最牛抗生素阻击,也未能逃避呼吸衰竭直至昏迷的危局,后深度昏迷,家属不愿意气管插管,有创伤性的抢救措施,在昏迷30多个小时候后,安静的离开了人世。

脑转移
从数学角度算了一下,靳老太II期肺癌术后生存期超过了5年,复发后生存时间超过3年,出现骨转移后生存时间接近2年,多发脑转移后生存期超过了1年,比较既往的数据“积极治疗前提下,非小细胞肺癌出现骨转移平均生存期10-12个月左右,脑转移平均生存时间8-10个月”。该患者大获全胜,究其根本原因在于靳老太存在敏感基因突变,有可用的靶向药物。难能可贵的是有生活相对富裕、又比较孝顺的子女,能够承担癌症治疗的昂贵费用。
本文为真实案例,内容属于原创,请勿擅自转发,侵权必究。