
导读
「医脉神经」群每天早上都会进行一个简短的晨起读片学习,利用3分钟的时间读片鉴病,大家一起谈论学习,优秀内容,整理成文,供大家学习!
本文通过三个简单的小病例带大家了解一下晚发型甲基丙二酸尿症(MMA)伴高同型半胱氨酸血症(cblC型)并发脑出血、成人机会性巨细胞病毒脑室脑炎、霉曲菌感染。

本文为作者授权医脉通发布,未经授权请勿转载。
病例1
1. 病例简介
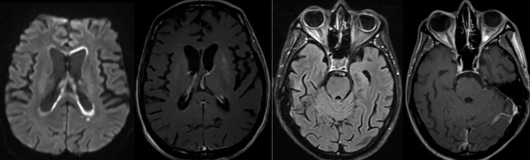
患者21岁,智能减退1年,加重伴行走不稳10天,双手抖动,生活不能自理。同型半胱氨酸(Hcy)>80 μmol/L。患者2017年11月24日头颅磁共振成像如下。

2017年11月28日头CT和12月5日复查头CT如下:

2. 病例讨论
患者确诊为晚发型甲基丙二酸尿症(MMA)伴高同型半胱氨酸血症(cblC型)并发脑出血。本病由于甲基丙二酸单酰辅酶A变位酶(MCM)缺陷或其辅酶钴胺素的缺陷所致,属于常染色体隐性遗传疾病。表现为单纯的MMA或晚发型MMA伴高同型半胱氨酸血症(MMAHC),晚发型MMAHC是我国MMA患者的主要生化表型。MMAHC患者甲基丙二酸和同型半胱氨酸在体内蓄积,导致神经、血液、肝脏、肾脏等多系统损伤。患者MRI表现为广泛的大脑白质疏松,在T2WI相上出现明显的高信号,在疾病的晚期出现白质萎缩和脑室扩大。而单纯的甲基丙二酸尿症患者则以双侧基底节,尤其是苍白球的病变多见,在MRI表现为明显的长T2信号,可伴内囊后肢受累。合并同型半胱酸血症的甲基丙二酸尿症由于甲基基团的减少和异常脂肪酸代谢产物毒性作用,可能是导致患者脱髓鞘病变和白质损害的原因。MMAHC并发脑出血临床少见。
病例2
1. 病例简介
33岁男性,携带艾滋病毒,进行性加重的嗜睡、腹泻、腹痛和失明。

轴向DWI 显示侧脑室室管膜表面弥散受限(A)。相应的T1WI有轻微增强(B)。FLAIR (C)及T1WI 增强扫描(D)显示两侧葡萄膜增厚,右侧视网膜脱离。
2. 病例讨论
成人机会性巨细胞病毒脑室脑炎的影像学表现是非特异性的。巨细胞病毒性视网膜炎和胃肠道受累是巨细胞病毒性感染的常见形式,但在所有巨细胞病毒性感染患者中,神经系统表现仅占不到1%。临床表现为:定向障碍、淡漠、退缩、颅神经病和眼球震颤。脑室脑炎是CMV感染中最常见的中枢神经系统受累形式,其特征是脑室内表面的室管膜炎。CMV引起的视网膜炎发生在大约三分之一没有接受HAART治疗的艾滋病患者中,并占与艾滋病毒感染相关的失明病例的90%以上。主要诊断特征:沿室管膜表面弥散受限伴/不伴造影增强。脉络膜视网膜炎表现为葡萄膜增强、视网膜脱离和视网膜钙化。巨细胞病毒引起的视网膜炎最常见于单眼,并进展到累及对侧眼。要与淋巴瘤和化脓性脑室炎相互鉴别。
病例3
1. 病例简介
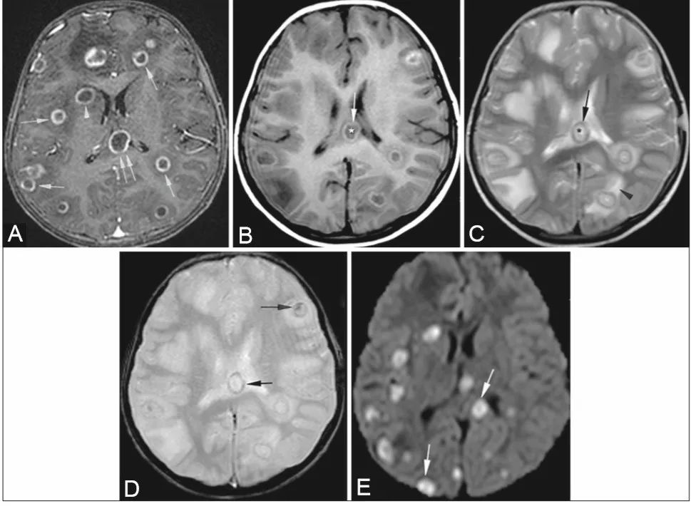
女性11岁,急性髓系白血病,以头痛为主要表现。

增强后T1W像(A):大脑半球多发环形强化病灶(单箭),胼胝体(双箭),右侧基底节(箭头)。T1W图像(B): 核心低信号 (*),高信号环(箭)。T2W图像(C):核心高信号(*),低信号环(箭),周围水肿(箭头)。GRE图像(D):病灶壁和核心出血灶(箭)。DWI (E)显示肉芽肿弥散受限(箭头)。组织病理学:多发性曲霉菌丝和中央坏死。
2. 病例讨论
免疫功能受损的患者患真菌感染的风险增加。在真菌病原菌中,念珠菌和曲霉菌是引起脑脓肿的主要病原菌。呼吸系统是通过吸入孢子而感染的主要部位。在曲霉菌属中,烟曲霉最常见。它可以通过血源途径从肺部进入中枢神经系统,也可以直接从副鼻窦和鼻腔进入。少数情况下由于外伤或外科手术引起。免疫功能受损患者出现头痛、嗜睡、偏瘫和癫痫等非特异性症状,应当怀疑脑曲霉菌病。曲霉菌的一个显著特征是其血管侵袭性,经常导致早期脑梗死,伴有或不伴有出血。
常见的感染部位包括胼胝体、基底神经节、丘脑和脑干,以及灰白质交界区。常见有以下三种方式:(1)皮质下边界不清的病灶T2呈高信号,T1呈低信号。(2)多发环形脓肿[如本例患者]。(3)靠近主要感染源(如副鼻窦)的硬脑膜异常增强。脓肿在T1W上呈低信号,周围或中央有高信号区,与出血相对应。在T2W上,它们表现为核心高信号,边缘呈低信号。这种低信号环是由真菌凝结形成的,其中含有大量的铁、锰和镁,这些物质存在于真菌菌丝的外围。约25%的病变发生出血,在梯度回波T2W上可以看到晕染区域。
参考文献:
[1].徐广印付庆喜高乃永刘举祥,甲基丙二酸尿症伴高同型半胱氨酸血症患者脑出血一例,中华神经科杂志,2018,51(12): 987-991
[2].王朝霞张巍杨艳玲袁云,迟发型甲基丙二酸尿症三例临床和影像学分析,中华神经科杂志,2004,37(4): 327-330
[3].http://www.ajnr.org/
[4].MRI evaluation of pathologies affecting the corpuscallosum: A pictorial essay.Indian J Radiol Imaging.2013 Oct;23(4):321-32.)