
上世纪20年代,棉签的问世,其一大用处就是用来清洁婴儿的耳朵。如今,棉签几乎成了掏耳朵神器!相信很多人耳朵痒了、洗完澡了,都会拿棉签掏一掏。但事实上,这一个小小的举动背后,却“暗藏杀机”。前段时间,就有人因拿棉签掏耳朵付出惨痛代价!颅内感染引发癫痫,还差点丧命。

1、澳洲妈妈棉签掏耳朵,差点丧命!
38岁的澳洲妈妈Jasmine Small和其他很多人一样,她也有用棉签棒掏耳朵的习惯。

2016年底,她发现左耳听觉出了问题,有时根本听不到任何声音!
这种情况大概持续了7、8个月后,情况开始慢慢恶化。
当她再用棉签掏耳朵时,左耳总是感觉很疼,有时候还会有棕色的、难闻的液体流出,甚至还有血丝。

意识到情况不妙,Small赶紧上医院检查。

一开始,医生也认为情况不严重,只是轻微感染,给她开了些抗生素让她回家服用。然而并没有什么效果。2017年底,Small换了位耳鼻喉科专家后,才发现情况已经非常严重。

医生非常严肃地告诉她,必须立即手术,不然会有生命危险。Small吓了一跳,只能推迟和丈夫的蜜月旅行。CT扫描显示,Small的耳朵深处已被感染,这里非常靠近她的大脑。

而这一切竟然都是由于棉签上松散棉线引起。

更令人难以置信的是,医生断定,耳朵里的这些小棉块已堆积了长达五年之久!
很快,Small经历了一场大手术,最终保住了性命,但她的左耳已遭到永久性损害,接下来她还需要面临一系列恢复手术,甚至佩戴助听器。
2、英国男子棉签掏耳朵引发癫痫
因为用棉签掏耳朵,而引发感染的,可不仅仅只有Small一个。最近一位英国男子的遭遇,引起了英国国民医疗系统部门的关注。

这位31岁的小伙五年前开始陆续出现左侧耳痛,头痛等情况。而今年,他经常恶心呕吐,甚至出现了短时间的意识不清。经医生检查,他已患上了坏死性外耳炎。

这种疾病通常伴随着耳内流出黄或绿色有臭味的液体,耳痛,耳痒以及听力丧失。坏死性外耳炎常会波及到其他神经的正常运转,严重还会造成大出血、脑膜炎、脑脓肿,脑软化等严重威胁生命的情况。

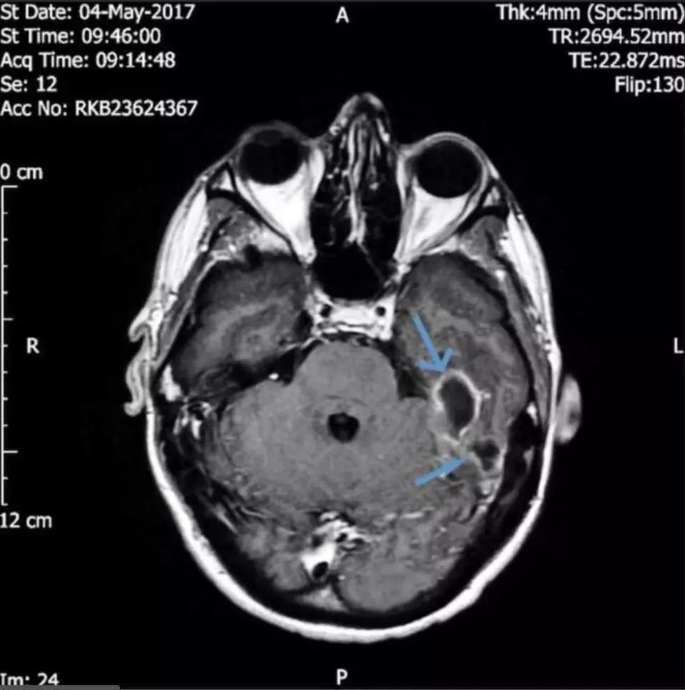
随着时间推移,感染已蔓延至大脑,从而引发了癫痫。医学团队的CT扫描显示:他的头骨下靠近左耳道的位置有两块充满脓液的肿块,再晚治疗情况就危险了。

为有效消除感染,医生进一步寻找着致病的根源。终于在脑成像的帮助下他们发现男子的耳道中有一个异物。经过鉴定,导致严重感染的东西是一小撮棉花。

原来,这位小伙洗完澡后,有用棉签清理耳道的习惯。但从没想过会造成这样的后果。小伙的主治医生表示,癫痫发作可能由感染产生的毒性或者对大脑的压力引起。

幸亏救治及时,否则后果不堪设想!其实,相比耳勺等东西,用棉签掏耳朵,看似保险,但效果可能适得其反。

棉签会把耳屎推向耳朵深处,推到你再也掏不到的地方。

由此就会造成真菌、细菌、病毒等在外耳道累积起来,从而导致疼痛和感染。

比如株洲的张先生,半年来耳朵疼,几乎听不到外面的声音。

到了医院,医生发现,他的耳道里有团深色异物,已经堵住了耳道。

就是它! 长3.5厘米的“耳屎”。

由于长期用棉签掏耳屎,大量的耳屎被推向耳道深处,从而引起堆积。

据CNN报道,美国每天大约有34多名儿童,每年有12,500名18岁以下儿童及青少年,因为用棉签清理耳朵导致受伤被送进医院。

在就诊的儿童中,40%因为觉得耳朵里面有异物,35%因为耳朵出血,17%耳朵痛。经医生诊断,25%的儿童骨膜破裂,医学上称为鼓膜穿孔;约23%的软组织受伤。

这都是在家中用棉签清洁耳朵惹的祸!
3、频繁掏耳朵或致癌
其实我们常说的耳屎,就是耳垢,它并不是脏东西,只是耳朵分泌的物质。它的存在是有必要的,有抗菌保护耳道的功能,如果全部清理干净反倒会造成伤害。

正常情况下,耳屎会在你说话、吃饭、打呵欠时,随着下颌运动自动被排出。

也就是说,即便不掏它也可能自己出来了,你还费那劲、冒那么大险干嘛!

耳朵非常敏感、脆弱,掏的时候稍微不关注,就可能导致听力下降、耳朵感染,甚至还可能引发永久性的伤害。

更可怕的是,长期掏耳朵,还可能诱发外耳道乳头状瘤或耵聍腺癌。

虽然乳头状瘤属于良性肿瘤,但手术切除后极易复发,多次复发极有可能转变为恶性肿瘤。
因为我们的外耳道皮肤比较薄,如果反复地用比较硬的东西去掏它的话,可能会破坏外耳道的皮肤,破坏外耳道的屏障,这就有可能会导致有害细菌在里面生长,引起外耳道的炎症。

如果多次的机械刺激、掏破耳朵,外耳道不断地在修复,经历这样反复破坏和修复的过程中,有些细胞可能就会出现一系列恶性的变化。
曾有媒体报道,一个武汉婆婆老是觉得耳朵痒,一天不掏都受不了,30年频繁掏耳朵的后果是引发癌变,患上外耳道鳞状细胞癌。

医生为患者实施手术切除了整个外耳道,术后患耳的听力很可能没有了,后期还需要放疗。
4、如何正确地“掏耳朵”?
既然棉签不能用,那我们该如何正确地“掏耳朵”呢?这里教大家几个办法。
1、首先,可以滴几滴加热到了人体体温的白醋,外用酒精和白水的混合液体,自己用注射器进行冲洗。

2、其次,有时候,你的耳道皮肤干燥的话会导致额外的耳屎积聚在耳道中,这时候可以给耳朵滴一滴矿物油,帮助滋润耳朵。这就跟给身体皮肤擦润肤液一样。

3、如果你耳膜有损伤或者以往做过任何耳朵方面的手术,以上选择请全部略过。你只需简单使用毛巾清洗下你的外耳道就可以了。

4、如果你是属于天生耳屎比较多的人,或者出现了耳屎堵住耳道的情况,可以到医院处理。耳鼻喉科医生会在额镜直视的情况下,用专业的工具将耳屎取出。

结语
所以说掏耳虽舒服,下手需谨慎啊!自己以后不要再用棉签掏耳朵。作为家长,更是不能随便给孩子掏耳朵哦!
如果耳内确实经常有异物,或者耵聍分泌过多的情况,建议先到医院做检查,由医生判断是否需要治疗。不要等到出现更重的病情才去医治,以免听力受损。
(来源:7news、9news 健康时报、央视新闻等)
