点击上方申江服务导报,跟着小申吃喝玩乐逛上海
有时候,爱情是起源于一个微笑
笑起来是一口又白又整齐的牙齿
让人心动不已
佳人一笑 生活也在笑

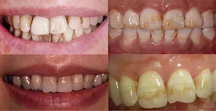
多少人梦寐以求能够拥有一口大白牙
无奈一张口就是口气和大黄牙……
可别说普通人无法hold得住
就连颜值极高的明星们也无法抵挡

我们的牙齿每时每刻
都在遭受着不同程度的损耗
还要应对各种各样的色素糖分
烟渍茶渍等慢慢沉着于牙齿表层
牙齿变得又黑又黄
一开口印象分马上蹭蹭蹭直降
真是白瞎了这张俊俏的脸

不知道大家发现没
大部分韩国帅哥美女
牙齿都有种白到发光的感觉
颜值在线,还有一口大白牙的加持
简直就是大发了呀
这其实该归功于韩国口腔护理产品
想要拥有一口大白牙
选对口腔清洁产品至关重要
韩国在世界最出名的就是
各种演艺事业的发展以及形象管理

对于牙齿,追求也很高
整齐、美白、好看
故而大家都会经常听到代购韩国功能牙膏一点都不假
这里小编郑重推介一款
风靡韩国的国民老品牌
欧志姆牙膏
美白+健齿+清新+止痛+去污垢五大功能一体
O-ZONE欧志姆

韩国国民最爱牙膏的品牌
美白只要三分钟
每天坚持使用,牙齿美白3度
而且是5大不同功效的牙膏
轻松应对全家人各种口腔问题

韩国国民品牌 年销量破千万
1947年,O-ZONE在韩国成立
至今已有70多年的历史
帮助3000多万人告别老黄牙
是韩国牙齿护理的领头品牌
年销售额超过数千万支

它与韩国新华制药结成战略联盟
采用了世界领先纳米生物技术
通过自然萃取精华
共同研发具有快速美白效果的牙膏配方
日常刷一刷,白牙不是梦!

瞬间清理老黄垢,提升牙齿洁白度
刷牙三分钟,就跟洗牙的效果一样的
各类资质证书

众多品质认证报告就是
实力的彰显、信心的保证!
来货保证正品!
接下来就跟着小编
一起来开扒一下里面功效成分吧!
甄选天然成分

内含有植物中提取的山梨醇
山梨醇是非常有效的光泽剂
能有效祛除牙齿表面的污垢
让牙齿变得有光泽

把最重的色素统统洗掉
咖啡、糖果、浓茶、果汁 等等
通通不用戒
胡吃海喝也能有一口大白牙!

生育酚,是天然的维生素e
能够清除牙齿表面的油污
以及牙缝中刷不到的杂质
生育酚还有一定的抗老化作用
改善脂质代谢
为牙齿建立一层“保护膜"

每天早晚各刷一遍
7天就能看到明显的效果

富含薄荷脑精华成分
能够杀掉口腔中的细菌
有效改善因为上火、发炎
引起的口臭、红肿出血
减少口腔溃疡和牙齿龋齿的情况

特含钙液,修复牙釉质
普通牙膏清洁污垢的同时会腐蚀牙釉质
O-ZONE牙膏内添加钙液
可以为牙釉质提供强力保护
我们用鸡蛋壳做个试验
分别把鸡蛋放入含普通牙膏
和含O-ZONE牙膏的水里

浸泡90分钟后取出
可以看到放入普通牙膏水的蛋壳
被明显腐蚀,一碰就碎!
想想如果我们长期使用这样的牙膏
牙齿也很容易变得脆弱敏感
而泡过O-ZONE牙膏的鸡蛋
蛋壳明显更加坚固
这说明了O-ZONE的固齿特效

贴心的细节设计
一般普通的挤压式牙膏
盖子的设计容易进水
污染膏体又滋生细菌
严重影响牙齿健康

O-ZONE采用环保韩式拔盖设计
可以有效隔绝细菌、水分进入
减少95%的细菌滋生
膏体细腻浓稠 起泡能力强
这个的牙膏的质地是比较浓稠的那种
流动性不强,挤到牙刷上
基本上不会掉下来
对于我这种手残人士来说真的是福音
以前经常把挤到牙刷上的牙膏抖掉

牙膏的起泡能力不错
只需要一点就能起很丰富的泡沫

刷牙的时候浓密的泡沫在嘴里
感觉就像牙齿在海边冲浪
还有一阵一阵很清新味道的风吹来
感觉每天刷牙的时候成了最幸福的时刻

性价比超高 全家都适用
各位小伙伴知道吗?
复杂多变的口腔问题和口腔细菌
若长期使用同一种牙膏
极容易产生耐药性,不利于口腔健康!

这个时候你就需要
一套五支装的欧志敏牙膏!
现在花3支的价格
就能把5支带回家!
限时买三送二

针对不同的口腔问题
360°全方位契合一家人使用需求
每支装100g,性价比超高
让你从此爱上刷牙

冰极炫白牙膏
日常的不良饮食习惯
让我们很容易受到口气的困扰
追求口气清新的你们
千万不能错过这款牙膏

全方位提升口腔健康
是市面上一般牙膏的14.7倍
含有清洁硅成分
能有效防止牙齿上的异物附着

膏体气味清新怡人
极强的去异味功效
让你瞬间呵气如兰

精研亮白牙膏
有牙齿敏感的童鞋们看过来!
平时吃冷热酸甜的东西就会有痛感?
很显然,你需要一直健齿舒敏的牙膏

此款牙膏针对风牙形成保护膜
膏体柔软细腻,从根本上保护牙釉质
涂在皮肤上抹擦也不会感到不适

3D超白牙膏
有牙菌斑、牙渍、黄牙困扰?
不用怕,交给这款3D超白牙膏吧!

100%纯天然植物提取
含有更多益齿成分防止牙菌斑附着
经常抽烟导致的烟渍牙
牙齿发黄、有异物感
使用后牙齿变白
附着在牙齿表面的污垢也逐渐减少

东医宝鉴牙膏
吃东西的时候是不是容易咬破口舌?
接着就会变成创口,继而演变成溃疡
让你无时无刻备受折磨
这归根到底是因为你的口腔上火了!

这个时候你就需要一支
能清热解毒散热护龈的牙膏

健齿K牙膏
根据小白前方战友的测评
这将会是她使用过最好用的牙膏

能有效解决牙龈肿痛,预防牙龈炎等功效
用过这一支她就彻底爱上这款牙膏了

大众使用评价
大家的评价几乎都是
造型高大上、口感好、很划算
你真的不要来试一试吗?

想要拥有一口健康洁白的牙齿
是从刷牙开始的
提高生活品质
也是从刷牙这件日常小事做起的
把刷牙变成一件享受充满仪式感的事

想get起韩流明星的同款大白牙?
日常的口腔清洁是很必要的~
快点来剁手韩国欧志姆五支装牙膏吧~

《申》报热销商品
