*弹子**击中人体会咋样
文:北美报哥
要说清楚这个问题,让我们先看看*弹子**击中人体后会发生一些什么变化。
*弹子**击中人体后通常发生以下几种情况:
全穿透:这样的情况只要不是致命部位伤害不大,当然也要看是什么*弹子**击中,如果是“开花弹”,大口径的*弹子**那就不同了,一颗点50的*弹子**打在你的手臂上,你存活下来的机会也会非常的低,而一颗点22的*弹子**打在你的死亡三角区,那直接就可以推走不管了。

半穿透:*弹子**整体停留在人体内,这样的伤害大于上面那一种,因为*弹子**的动能会对周围部位和器官造成空腔压力损害,同时由于是异物或造成机体感染,当然这也要看是什么类型的*弹子**
没穿透或者穿透留下碎片:这个是最为可怕的,破片是异物或造成机体感染,而且破片方向不定,破口不同,这样的情况发生后,不论是那种*弹子**,击中那个部位,造成的伤害也是最大的

*弹子**击中身体部位首先撕裂的是皮肤肌肉等组织,接着是身体的其他器官或者是血管,造成大剂量失血,器官衰竭而死亡,因此*弹子**击中人体后,不论是哪一个部位,止血我是第一要素。当然以及*弹子**击中人体并不止于此类伤害,还有一个致命的,那就是瞬间造成的空腔效应,虽然这个效应仅仅持续不到一秒钟的时间,但是这个小于一秒钟的伤害是致命的。他会导致机体,神经系统,组织器官永久的伤害,同时*弹子**击中后如果穿透,那么穿透面不论是开不开花的*弹子**的出口都是大于进口的,这样即便是肌肉结缔组织这些都会造成永久伤害。

当然*弹子**击中人体致命步致命要看*弹子**击中人体的时候,他的速度,射击距离,角度,以及击中的部位和伤害程度都有很大的关系。据有效资料可查,虽然*弹子**对于人体造成的伤害基于以上几条之外,还有一个最为重要的因素,那就是*弹子**进入人体后是走直线,斜线,还是乱跳?同时*弹子**是碎裂成小片,大片,还是整体,这些都和弹头的设计有很大的关系。
开花的*弹子**击中部位,会造成较大伤口,肌体组织损伤较大,修复困难,这样的伤口失血是非常严重的。死亡的机率也要远远大于一般*用军***弹子**。这也是为什么军事邻域是不允许使用开花弹的,当然警方则不同,警方为了停滞力是必须使用这种*弹子**的,虽然这个在某些方面看来有点“残忍”。
说完了以上的*弹子**击中人体状况,现在让我们来说说人如果在战场上被*弹子**击中会有多大机会生存?

假设一发一般的9毫米手枪*弹子**以1120FPS的速度击中人体四肢,非动脉血管部位,高速弹头被你的肌体组织瞬间停止,能量全部传递到肌体组织,在瞬间停止的弹头不论碎裂还是整体,他会在你的肌体组织上造成巨大的空腔,同时能量会顺着你的肌体传到链接的血管,在肌肉撕裂的同时,附近血管遭到巨大压力,很多时候即便不是直接击中,也会导致血管破裂形成致命伤,因此在这些部位中弹的时候大家通常看到比较真实的影视剧中会立刻在伤口上半部为直接加上止血绑带,伤口位置使用大剂量止血物品,同时记录中枪部位,流血,*啡吗**使用情况等,而且要尽快后送。而不会像横店剧组一样,又是手又是腿上中枪了,还可以一边流血,一边蹦跶着继续杀鬼子。好像没事一样,这些都是假的。

如果这颗*弹子**击中的是血管部位,或者是因为击中其他部位导致血管破裂,特别是主动脉部位,这其实就是致命伤了,那么这个时候是分秒必争的救命了,动脉血管可以在短短的时间内让一个人迅速失血死亡。因此大家可以看到的一但是动脉血管中弹,伤员边除了一堆人又是扎一堆止血带,又是紧按伤口的,而且需要在最快的时间联系运输紧急输送伤员到可以手术的地方进行止血手术,否则伤员会很快死亡。在很多时候即便是输送到了后方医院,伤员可会因为失血过多或者在手术中死亡。

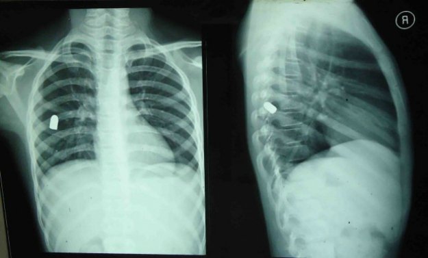
同样,如果*弹子**击中人体躯干,比如胸腹部这些部位,这个绝对就是要命的了,特别是被*弹子**击中后*弹子**没有穿透,而是停留在人体内部,这种情况下就看这个被击中者的运气了,比如*弹子**击中脏器,但是没有直接切断脏器内部血管,比如肺部中弹,但是仅仅击穿肺叶,而没有击穿里面的血管,胃部中弹,肠道中弹等,但是这里并不是说这些伤没事,这些伤是重伤,而且是很危险的,受创的器官会因为失血等失去应有功能导致其他脏器失效,直接导致人体死亡。

同时*弹子**进入人体后,并不会一个方向,或者是整体不变形,*弹子**往往会碎裂,会在身体内走不规律的路线,从而导致多器官受损,直接导致多器官衰竭。因此一旦*弹子**击中躯干部位,那就只要看你是不是运气好了,我们曾经看到过一个被警用*弹子**连续击中四枪的犯罪嫌疑人,其中一颗击中左臀部的*弹子**竟然从他的右后背腰部以上飞出,而击中右前胸的一颗*弹子**居然从左臂内测飞出同时切断了左臂内存动脉血管,尽管EMS在第一时间就到达,而且带了很多血浆和快速输血器材,但是嫌疑人还是在不到两分钟内就死亡了,这种枪伤其实也基本是没有任何希望的,只不过是早点晚点死亡而已。
战场上收集的军人死亡数据表明,除了头部直接中弹死亡外,90%以上死亡的人员都是因为失血造成的,*弹子**击中重要血管时,虽然我们的肌体自带一种可以停止供血的功能,但是这种功能在主动脉或者时次主动脉被*弹子**切断时几乎没有作用,因此人工止血是第一要素。

虽然被*弹子**击中是一件很可怕的事情,但是也不是就会有那么大的死亡率,据美国枪击创伤研究机构的数字表明,在现有的医学条件下,即便是被*弹子**直接击中头部,生存率仍然有9%,心脏被击中有3%,而一般性的枪击,你实际上会有80-95%的生存机会,有的时候会超过95%,但是这个利率是取决于能不能快速止血,或者是快速降低出血量,同时又能补充血液,同时还有一个重要的因素,那就是其实你的身体的80%的部位是不致命的!

因此不要相信影视剧的那些镜头,那个是为了好看出彩,但是也不要过于担心,毕竟只有很少的人会被枪击!
