北京时间7月17日,在中超第17轮的上海德比中,登巴巴第65分钟和孙祥发生对抗,被对手踢到小腿。赛后,登巴巴被诊断为左腿胫骨腓骨闭合性骨折。
(本图来源于网络)
什么是骨折?
定义为骨质的连续性中断。若皮肤不破,没有伤口,断骨不与外界相通的叫闭合性骨折。骨头尖端穿破皮肤,有伤口,与外界相通的叫开放性骨折。
据信,登巴巴的为闭合性骨折,不幸中的万幸,因为闭合性骨折发生感染的机会要较开放性骨折少得多。
胫腓骨均骨折多见于*力暴**,我们在工作中最多见的就是车祸!对于车祸伤所致的骨折,通常有经验的医生,根据受伤部位的外形和体检就能初步诊断,这也就是为何很多人根据视频和现场情况就能得出登巴巴为闭合性胫腓骨骨折的结论的原因。踢球猛于车祸啊!踢人的球员,球技是否也如此之猛?
对于骨折,X线片是首选的诊断,比如下面一图为胫腓骨骨折,胫骨和腓骨均有多条透亮线。

但有些骨折,X线片上就不好诊断了,需要做CT或者MRI。
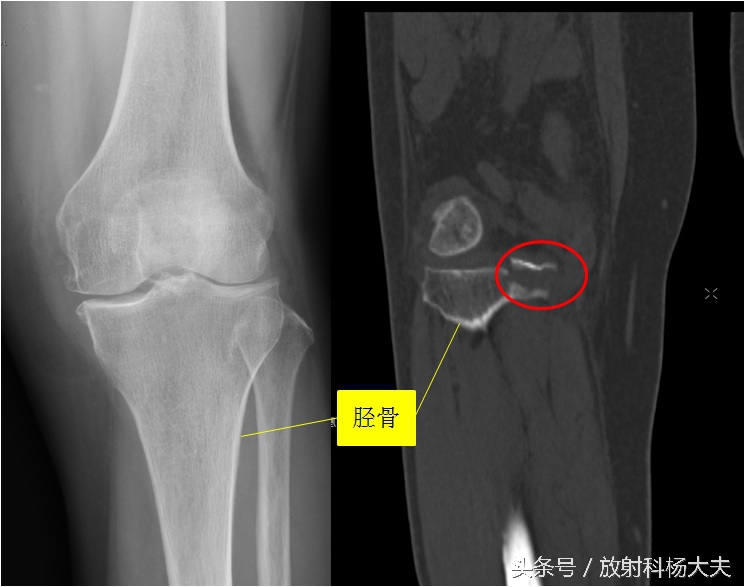
比如下图的X线片,发生在胫骨平台的骨折,很难发现。但做了CT,就比较容易了,如图中的红圈。

关键的一步是谁想到建议做CT。有的时候是有经验的骨科大夫,根据体检,高度可疑胫骨平台骨折,但X线却没发现异常,此时会建议病人做CT或者MRI。有的时候是有经验的放射科大夫,读片的时候总觉得胫骨平台有的地方不对劲,再去查查体,怀疑胫骨平台骨折,会建议做CT或MRI。
因此,如果受到外伤,拍了片子,无论是骨科还是放射科大夫建议您做CT或者MRI的时候,不要乱想,真的是病情需要!
(【放射科杨大夫】系头条号签约作者,本文系原创作品,首发*今条头日**。)