作者:骨科医生路遥
你测过自己能跑多快么?
我自己的5km最好成绩是:24分52秒。

而我相信,你应该听说过「股骨头坏死」或「全髋关节置换手术」吧?如果有这么个年轻人,他两腿的股骨头都坏死了,其中一条腿还不得不做了髋关节置换手术。
你猜,他能跑多快?
你可能都会这么想:
「要啥自行车啊!?都股骨头坏死换了关节了,能走路不瘸就不错了,还想跑步速度?」
是的,现实生活中,很多人都觉得换了人工关节后,运动能力就不行了,人就废了。而这,也是很多患者,本该做髋关节置换手术却不想做的主要担忧之一。
但是,真的是这样么?
当然不是!
实际上,有很多职业体育运动员,在髋关节置换手术后不仅没有“废”,反而继续体育运动,甚至重返激烈的职业竞技赛场。
比如:曾在美国最伟大运动员投票中,淘汰了乔丹的美国前棒球与美式足球运动员博-杰克逊(Bo Jackson)[1]。当年他就是在做了髋关节置换手术后重返竞技场,而他的棒球生涯在此后仍良好持续了很多年。
相同经历的还有:北美冰球联盟著名的进攻组织型后卫艾德.朱万诺斯基(Ed Jovanovski)[2],以及美国职业摔跤(WWE)中的著名摔角手“送葬手”Mark William Calaway [3](下图)等等......
这些人的共同特点都是:在做了髋关节置换手术后,不仅没有像很多想的一样“废了”,反而仍继续他们之前高强度高冲击对抗的职业运动生涯,直至平稳退役。
还记得开头的那个问题么?
那个两侧股骨头坏死,一侧还做了全髋置换手术的年轻人,手术后不仅没有放弃体育运动,还获得了让人瞠目结舌的成绩:
800米成绩是1分54秒
1500米是3分48秒
5000米跑到了14分30秒
8000米的速度是25分钟
是的,今天要向大家分享的,就是关于他的故事。
这是2018年发表在JBJS杂志上的一篇报道。这篇报道的题目一看就很有意思:《全世界球跑的最快的全髋置换》[4]。

1.悲剧发生
这个身高1米96的男孩,在2009年美国的一场大学篮球赛中不幸意外受伤,而且伤到了脊柱脊髓。为了保住他的脊髓和下肢功能,医生给了他大剂量长期激素治疗。
后来男孩恢复的非常好,3个月后就重返赛场,并且拿下了全美大学生室内4×800米接力跑冠军。
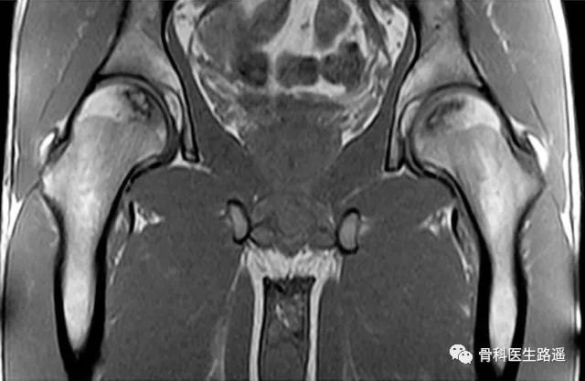
然而,2年后男孩因为右边膝盖疼来医院检查,磁共振(如下图)意外的发现了他患有双侧股骨头坏死。可想而知,与之前长期大量的激素治疗有关(但当时为了保住脊髓,实在不得已)。

尽管也尝试了各种药物保守治疗,但效果始终不好。男孩右下肢不适症状加重,左边还没有不舒服。
没办法,在他20岁那年,男孩不得不接受右侧全髋置换手术,把自己右边的股骨头和髋臼全部换成了人工假体(术后如下图)。

2.不幸中的万幸
男孩在手术后,并没有一蹶不振的“废了”。相反,他的术后康复出奇的好。
他在术后不到2个月就重新返回田径场,开始像专业田径运动员一样每日高强度训练。更让人想不到的是,他在手术后3个月(3个月啊......),就参加了美国大学生运动会,并在8000米比赛中跑出了29分24秒的成绩。

男孩并没有停下的意思,他似乎并没有把自己当成“患者”来看待。他在接下来的6年里像正常田径运动员一样持续高强度训练(尽管我们医生绝不建议这样),其训练强度高的让人瞠目结舌(如上图)。
他在手术后的6年里,拿下了3个全美大学生田径运动会冠军(如下图)。并跑出了文章开头说的成绩:
800米1分54秒,1500米3分48秒,5000米14分30秒,8000米25分。
有意思的是,像男孩这么“折腾”了6年,按很多人的想法,他的手术假体和左边股骨头应该恶化的不行了吧?
结果手术后6年来医院复查,男孩右侧手术部位假体整体情况非常好(如下图),左侧股骨头坏死区居然也没有什么变化。

作者也在文章的结尾指出,新的髋关节假体材料越来越耐磨,理论寿命也越来越长。虽然仍然不建议置换术后高强度运动,但是也有越来越多的证据显示高强度运动似乎并不像以前医生们认为的不可接受。
3.我们能从中得到什么?
当然,个例不能完全代表整体的,但是我们可以从很多类似的病例中得到一些启发,比如:
(1)换关节(髋关节置换)手术,并不像我们想象的那么可怕。
髋关节置换手术是非常成熟的手术,并不像很多人想的:做了手术很久都下不了床。实际上,术后1-2天就能下穿个,恢复的好的话不仅可以尽快的恢复日常生活,甚至于还能让患者重返运动。
(2)年轻的股骨头坏死患者,若需要手术,不必对手术有太多担忧。
因为外伤、激素、饮酒等原因,很多年轻人会患有股骨头坏死。这类年轻朋友很多都对关节置换手术抱有内心的恐惧。一方面是担心假体寿命太短撑不了多久还要手术(这个我会在后面的文章中继续详细解释),另一方面也是担心手术后自己就没法运动了(尽管不做手术更没法运动)。
实际上,相对于年老患者,年轻人可能更需要运动和更好的生活质量。如果保守治疗效果很差,医生已经建议手术置换。我想,与其在病床上轮椅上忍痛,年轻的朋友更值得拥有属于年轻人的更好生活,那是属于阳光、户外、奔跑和欢笑的经历。(3)尽管男孩跑的的确很快,但对于髋关节置换术后的患者,我们仍然不建议高强度剧烈甚至专业的竞技训练。不管如何,理论上说,这样都会加速假体的磨损。
参考文献
1.Nightengale B. Bo Jackson reflects on past life 21 years after his All-Star blast.2010Jul12. http://usatoday30.usatoday.com/sports/baseball/allstar/2010-07-11-bo-jackson-all-star-game-bo-nows_N.htm?csp=34. Accessed 2018 May 17.
2.Custance C. Ed Jovanovski really is man of steel. 2014 Feb 2.http://espn.go.com/nhl/story/_/id/10367157/nhl-florida-panthers-ed-jovanovski-back-hipresurfacing-surgery. Accessed 2018 May 17.
3.StonehouseG.Pain in the side.2017 Apr 10. https://www.thesun.co.uk/sport/wwe/3262733/wwe-undertaker-wrestlemania-retirement-update/.Accessed2018 May 17.
4.Christensen DD, Nelms NJ. Competitive Running After Total Hip Arthroplasty: The World's Fastest TotalHip: A Case Report. JBJS Case Connect. 2018 Oct-Dec; 8(4):e81.
本文转载自其他网站,不代表健康界观点和立场。如有内容和图片的著作权异议,请及时联系我们(邮箱:[email protected])