踝关节骨折有多种分型,20世纪50年代Lauge-Hansen分型是根据受伤时足部所处位置、创伤力作用方向,将踝关节骨折脱位分为五型,即旋后—内收型、旋后—外旋型、旋前—外展型、旋前—外旋型和垂直压缩型。
以旋后外旋型为例,当患者患足受伤时,患足正处于旋后位(即足心及足趾朝向人体中线位置)又受到迫使足外旋的外力(即距骨沿着小腿中轴线向外旋转,实际是胫骨向内侧旋转,距骨相对向外旋转)就造成这种类型的骨折。
Lauge-Hansen分类方法标明了受伤机制、损伤程度。强调重视骨折的同时也强调要重视相关韧带损伤。这种分类方法为采用何种治疗方法定出标准。闭合复位只运用于Lauge-Hansen分型中旋后—内收型及旋后—外旋型。其他类型则应采用切开复位内固定方法治疗。踝关节骨折脱位的治疗既要强调骨折要解剖复位,又重视术后早期功能锻炼。
(一)相关解剖足踝内外侧三角韧带起止点
1. 内侧三角韧带
坚韧的三角形纤维索,起自内踝尖,向下呈扇形展开,止于足舟骨、距骨、跟骨。
2. 外侧韧带
外侧韧带由不连续的三条独立韧带组成。前为距腓前韧带,中为跟腓韧带,后为距腓后韧带。距腓前韧带起于外踝的前缘,向前内走行,止于距骨体外踝关节面的前面。
3. 胫腓间韧带
下胫腓联合复合体对于保持胫骨远端和腓骨稳定,对抗因轴向应力,旋转应力及平行应力导致胫腓骨分离。由3部分构成,包括胫腓前韧带、胫腓后韧带、胫腓间韧带。
(二)骨折分型
踝部的损伤类型由许多因素决定。包括患者的年龄、骨质、足在损伤时所处的位置和方向、外力的大小和速度。Lauge-Hansen强调足在损伤时所处的位置和造成损伤外力的方向决定了损伤的类型。
踝部骨折的Lauge-Hansen分型:
1. 旋后—内收型
旋后是指距下关节内翻、胫距关节内旋和前足内收,此时第一跖骨及足心朝向头侧,第五跖骨向尾侧。此位置时踝外侧结构绷紧,在旋后和内收外力作用下,首先会造成外侧副韧带断裂或发生外踝撕脱骨折、横形骨折。骨折在下胫腓联合韧带下方,下胫腓韧带仍保持完整。进一步的内收距骨撞击关节内侧,结果造成与距骨内角垂直的骨折线,有时会造成胫骨远端内侧关节面压缩,也可能造成距骨软骨下压缩性骨折。旋后—内收型骨折分两度(图1)。

图1 旋后—内收型
2. 旋后—外旋型
当患足处在旋后位时,此时如受外力迫使躯体内旋,患足相对外旋下胫腓前联合韧带拉紧导致下胫腓前联合断裂,或前外结节撕脱骨折,后者更常见。韧带断裂或在止点撕脱,外力持续则腓骨发生螺旋形骨折。骨折线从前下至后上。
外力继续可使下胫腓后联合断裂,或后外结节撕脱骨折,有些病例距骨的外力可能直接作用到内踝而不发生后侧损伤。如外力很大最后内侧结构受累,三角韧带断裂或内踝骨折,距骨向外移位。
如果骨折在腓骨前结节以下,下胫腓前联合仍然完整。通常骨折在前结节水平或恰在前结节上方,下胫腓联合韧带部分或全部断裂。罕有旋后外旋骨折,腓骨骨折线在下胫腓联合韧带以上水平,伴有骨间膜和联合韧带损伤。旋后—外旋型骨折分四度(图2)。

图2 旋后—外旋型
3. 旋前—外展型
足旋前时,踝内侧结构紧张并损伤,三角韧带损伤或内踝撕脱骨折,外展外力使下胫腓联合韧带断裂或结节撕脱骨折,外踝骨折线在下胫腓联合上方伴骨间膜断裂。外踝骨折为斜形或部分横断伴粉碎性或伴楔形骨块。旋前—外展型骨折分三度(图3)。

图3 旋前—外展型
4. 旋前—外旋型
踝内侧首先损伤,继而下胫腓前联合韧带断裂或前结节撕脱骨折,随后腓骨骨折,骨折线位于胫腓联合上方。腓骨骨折线斜形,但从前上到后下。骨间韧带损伤。外力如继续可造成下胫腓后联合断裂,或胫骨后外侧撕脱骨折。
由于外旋也可能造成腓骨近端骨折。旋前-外旋型骨折分四度(图4)。Maisonneuve骨折是特殊的高位腓骨骨折,下胫腓分离,伴内踝骨折或三角韧带损伤。需固定下胫腓联合,也容易漏诊。

图4 旋前—外旋型
闭合复位适应证
适用于旋后-内收型、旋后-外旋型。此外旋前-外展型,旋前-外旋型Ⅰ度Ⅱ度也可保守治疗。
关注在诊疗过程中要严格区分骨折类型:
①旋后-外旋型外踝的骨折线一般位于下胫腓水平,自前下至后上。旋前-外旋型外踝骨折线一般位于下胫腓水平近端,有时可达腓骨小头,骨折呈斜形、螺旋形或蝶形(蝶形骨折通常位于后侧)。
②旋后-外旋型可伴或不伴下胫腓分离,而旋前外旋型伴有下胫腓分离。
复位技术
(一) 术前准备
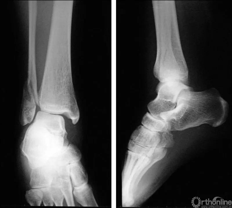
X线诊断:标准的踝关节影像学评估应包括3个位相:前后位(图5),踝穴位(内旋15°)(图6),侧位(图7)。

图5 前后位

图6 踝穴位(内旋15°)

图7 侧位
当踝关节严重损伤时内外踝及距骨将发生不同程度的移位(图8)。有时外踝骨折会伴有三角韧带的损伤,静态的X线摄片并不能准确地反映踝关节的稳定性,应力位片及MRI检查可完善对踝关节稳定性及韧带损伤的评估(图9)。此时应通过患肢损伤机制及放射资料准确判断踝关节损伤的类型以正确指导复位和固定。有时单纯内踝骨折可能是更为复杂的“Maisonneuve骨折”的一部分,该骨折还包括腓骨近端骨折及韧带联合损伤,故X线检查应投照整个胫腓骨。

图8 骨折移位明显合并有脱位

图9 应力位X线片(三角韧带断裂)
(二) 麻醉
一般采取股神经及坐骨神经麻醉。
(三) 复位手法
旋后—外旋型闭合复位,按外踝-内踝-后踝-下胫腓联合的顺序进行。
旋后—内收型按内踝-外踝的顺序进行。以旋后—外旋型Ⅳ度为例,患者仰卧,屈膝90°以使小腿三头肌放松。两助手分别握持大腿腘部与足部,按骨折畸形方向顺势牵引(牵引力量不能过大,以免加重损伤)。
牵引足部的助手将足内旋,矫正外旋畸形(图10)。术者双手拇指置于外踝骨折远端,其余四指环抱胫骨远端,在推远端向胫侧,拉胫骨远端向腓侧的同时,助手内翻背伸踝关节,纠正外踝及距骨的移位(图11)。

图10 牵引纠正外旋畸形

图11 纠正外踝及距骨的外侧移位
维持内旋-内翻-背伸位,然后以双手拇指顶住后踝骨折块,四指环抱胫骨远端,双拇指向远推挤,同时向下拉胫骨远端使后踝复位(图12)。

图12 纠正后踝移位
最后术者以拇指向后下方推挤内踝使其复位(图13)。两助手维持足与踝的内旋-内翻-背伸位准备固定。

图13 纠正内踝移位
旋后—内收型复位过程与旋后—外旋型复位过程相反按内踝-外踝的顺序进行手法复位。
固定
旋后—外旋型固定于内旋-内翻-背伸位,后侧以宽7.5cm的石膏绷带从膝下8cm至超足趾1cm做石膏托,胫前侧为达踝关节平面两直板,内外侧为具有内翻弧度的内翻夹板,并在下胫腓内外侧各加一大小相等的塔形垫(图14)。旋后—内收型固定于外旋-外翻-背伸位。

图14 旋后外旋型固定于内旋-内翻-背伸位
根据骨折愈合情况,固定5~6周改中立位夹板,下床锻炼1~2周。
复位标准
1. 完全恢复腓骨的长度、旋转评估腓骨长度方法
①正常情况下踝穴位片胫骨远端关节面软骨下骨与外踝的软骨下骨相连接,即Shenton线光滑连续,若出现台阶则说明腓骨短缩。
②外踝解剖复位后腓骨远端内侧与距骨外侧缘形成“圆币征”。同时根据腓骨骨折线远近端骨皮质的厚度来判断有无腓骨的旋转。
2. 完全恢复内踝间隙(距骨与内踝间隙)
正常应与胫距关节外侧间隙相等。内踝骨折断端移位应<2mm。
3. 恢复下胫腓联合体完整性
正位片胫腓骨重叠部分应>6mm。
4.后踝骨折胫骨下关节面后方台阶应<2mm。
来源:《闭合复位技术在四肢骨折治疗中的应用》
主编:张铁良
声明:此文内容及图片由供稿单位提供,仅供学习沟通,不代表骨科在线观点