
特殊名称骨折具有高度概括的特点,方便记忆与沟通。本文汇总了肩肘、髋膝、手腕、足踝、脊柱等各个部分的骨折,记得收藏哦~ ( 点击可查看大图)
肩肘部骨折
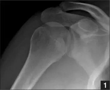
1. Hill-Sachs 损伤和反 Hill-Sachs 损伤
肩关节脱位时,肱骨头和关节盂发生撞击,肱骨头表面凹陷性骨折。
-
肩关节前脱位时发生的肱骨头后外侧凹陷性骨折,是经典的 Hill-Sachs 损伤(Hill-Sachs lesion);
-
而肩关节后脱位时发生的肱骨头前内侧凹陷性骨折,是反 Hill-Sachs 损伤(Reverse Hill-Sachs lesion/ McLaughlin lesion)。
正常肩关节(来源:Radiopaedia)
Hill-Sachs 损伤的 X 片(来源:Hill-Sachs Injuries of the Shoulder)
Hill-Sachs 损伤的 MR 片(来源:Hill-Sachs Injuries of the Shoulder)
Hill-Sachs 损伤的 CT 片 (来源:Hill-Sachs Injuries of the Shoulder)
正位片示肱骨头损伤(来源:Anatomical Reconstruction of Reverse Hill-Sachs Lesions Using the Underpinning Technique. Orthopedics May 2012 - Volume 35 · Issue 5: e752-e757)
侧位片示反 Hill-Sachs 损伤(来源:Anatomical Reconstruction of Reverse Hill-Sachs Lesions Using the Underpinning Technique. Orthopedics May 2012 - Volume 35 · Issue 5: e752-e757)
MRI 示反 Hill-Sachs 损伤程度 (来源:Anatomical Reconstruction of Reverse Hill-Sachs Lesions Using the Underpinning Technique. Orthopedics May 2012 - Volume 35 · Issue 5: e752-e757)
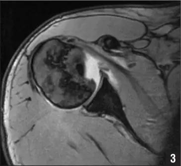
2. Bankart 损伤(Bankart lesion)
是指盂唇前下方在前下盂肱韧带复合体附着处的撕脱性损伤,是肩关节复发性前脱位最常见的原因和最重要的病理基础。
Bankart 损伤(来源:Radiology assistant)
Bankart 损伤的 MR 片 (来源:Radiology assistant)
3. 骨性 Bankart 损伤(Bony Bankart lesion)
下盂肱韧带盂唇复合体损伤同时伴有关节盂前下方的撕脱性骨折。由于关节盂前下方的骨质缺损,可以导致梨形的肩盂变为「倒梨形」结构,出现关节不稳的主要因素。
骨性 Bankart 损伤的 MR(左)和 CT(右)(来源:ShoulderDoc)
骨性 Bankart 损伤的 MR(左)和关节镜图(右)(来源:ShoulderDoc)
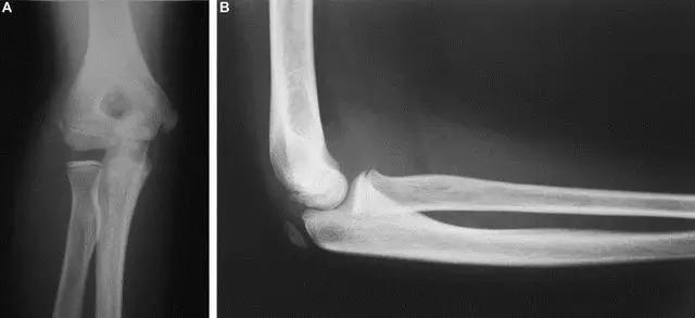
4. Holstein-Lewis 骨折
指肱骨远端 1/3 骨折伴桡神经嵌压。
Holstein-Lewis 骨折(来源:Humerus Holstein Lewis Fracture - Everything You Need To Know - Dr. Nabil Ebraheim)
5. Kocher-Lorenz 骨折
单纯肱骨小头骨折。
Kocher-Lorenz 骨折(来源:The often-missed Kocher-Lorenz elbow fracture. Revue de Chirurgie Orthopédique et Traumatologique, Volume 95, Issue 7, November 2009, Pages 658-661)
6. Hahn-steinthal 骨折
全肱骨小头骨折,为一种少见的关节内骨折,多见于成年人。常由于跌倒时手过度伸直或在屈肘时因桡骨小头撞击肱骨小头,并同时有外翻力存在时发病,亦可伴有滑车骨折与内侧副韧带的撕裂。X 线表现为全肱骨头骨折,向上移位。
Hahn-steinthal 骨折 X 片(来源:Hahn-Steinthal fracture: a case report.BioMed central Cases Journal20081:239)
Hahn-steinthal 骨折 CT 片(来源:Hahn-Steinthal fracture: a case report.BioMed central Cases Journal20081:239)
7. Posadas 骨折
经髁的肱骨骨折,伴有骨折碎块向前移位,以及因双髁骨折造成尺桡骨的脱位。
8. 肘关节恐怖三联征
特指伴有桡骨头和尺骨冠突骨折的肘关节后脱位,属于肘关节内复杂骨折脱位的一种类型。这类损伤均同时伴有肘内外侧副韧带的撕裂,但不伴有尺骨鹰嘴骨折。

9. Monteggia 骨折(孟氏骨折)
尺骨近端 1/3 骨折合并桡骨头半脱位。
(来源:Radiopaedia)
(来源:Radiopaedia)
成人 Monteggia 骨折
儿童 Monteggia 骨折
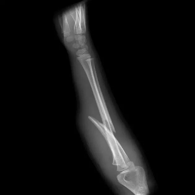
10. Galeazzi 骨折(盖氏骨折)
桡骨干下 1/3 骨折合并尺骨小头脱位。
盖氏骨折正侧位(来源:Orthobullets)
11. Nightstick 骨折(警棍骨折)
直接外伤造成尺骨单骨折。前臂单纯的尺骨骨折,通常是由钝伤造成。Nightstick 的意思是警棍,此伤害可因受到棍击时举起手来抵挡产生。
(来源:Radiopaedia)
(来源:Radiopaedia)
手腕部骨折
1. Barton 骨折
桡骨远端有移位的、不稳定的且经关节的桡骨远端骨折。可向掌侧也可向背侧移位。
(来源:radiology assistant)


2. Colles 骨折
桡骨远端骨折,伴有桡骨远端向背侧的移位,可以有或没有尺骨干的骨折。具有这几个特征:背侧粉碎、向背侧成角、向背侧移位且挠骨短缩的关节外骨折。
典型 colles 骨折,枪刺样、餐叉样畸形


3. Smith 骨折
桡骨远端骨折伴骨折远端向掌侧移位,也称为反 Colles 骨折。
来源:radiology assistant
4. Die-punch 骨折
远端桡骨的关节内骨折,伴有月骨陷窝背侧表面的压迫。也称月骨负荷骨折或模具冲压骨折,指挠骨的月骨对应面发生的向近侧的压缩骨折,有不与周围关节囊相连的游离关节面骨折块。
Die-punch 骨折(来源:radiology assistant)
Die-punch 骨折(来源:radiology assistant)
5. Chauffeur 骨折/ Hutchinson 骨折
桡骨干的斜形骨折,早期有机械性弯曲,进而通过逆性外力造成的斜形骨折。指桡骨茎突受舟骨撞击的剪切骨折形成带关节面的三角形骨折。

6. Bennett 骨折
第 1 掌骨基底的斜形骨折,掌骨近端形成轴向移位,掌侧边缘形成三角形的骨碎片。


(来源:Radiopaedia)
(来源:Radiopaedia)
7. Boxer's 骨折
第 5 掌骨颈骨折伴有掌骨头向掌侧移位。
(来源:Radiopaedia)
(来源:Radiopaedia)
8. Mallet Finger/Baseball finger
即锤状指。远节指间关节的屈曲畸形,是由附着远节指骨伸肌腱分离引起,也可由伸肌腱的直接损伤继发引起。或由远节指骨撕裂性骨折引起肌腱嵌入骨折端引起。
(来源:orthoinfo- AAOS)
(来源:Radiopaedia)
9. Essex-Lopresti 骨折
是桡骨头骨折伴有下尺桡关节脱位,导致骨间膜损伤,桡骨短缩。此种损伤,桡骨头骨折的诊断往往是明确的,容易忽视的是下尺桡关节脱位,特别是早期,下尺桡关节的症状不明显,X 线表示也不明显。
Essex-Lopresti 损伤。前后位(A)和侧位(B)示桡骨头关节内骨折(白色实线箭头);(C~E)伤后 1 个月复诊,患者诉腕关节疼痛,X 线(C,D)发现下尺桡关节脱位,(E)CT 进一步证实损伤的存在 (来源:Radiol Clin North Am. 2015 Jul;53(4):717-36)
10. Rolando 骨折
第一掌骨基底的 T 或 Y 型粉碎性骨折,可伴有关节半脱位。
(来源:AO foundation)
(来源:AO foundation)
11. Buttonhole deformity/Boutonnière deformity(纽扣畸形)
伸肌腱的中央腱束断裂,使近侧指间关节突出于侧束指间,表现为近侧指间关节屈曲,远侧指间关节过伸畸形。多发生于类风湿性关节炎后畸形。
(来源:OrthoInfo- AAOS)
(来源:Medscape)
髋膝部骨折
1. Duverney 骨折
髂骨翼的骨折,但没有骨盆环的分离移位。
(来源:radiopaedia)
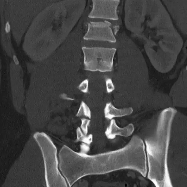
2. Malgaigne 骨折 (bucket handle 骨折,即桶柄骨折)
不稳定性骨盆骨折伴有前方和后方的骨折线累及髋关节。
(来源:radiopaedia)

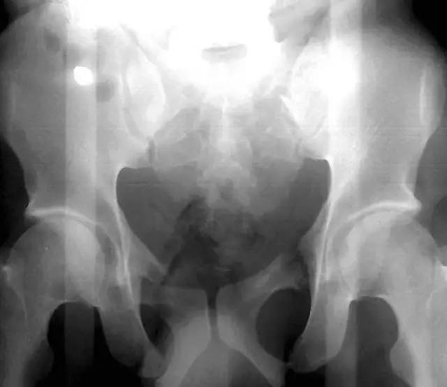
3. Straddle 骨折
双侧耻骨上下支骨折。
(来源:learning radiology)
4. Walther 骨折
经过耻骨支并延伸到骶髂关节的髋臼骨折。髋臼的内侧面向内移位。
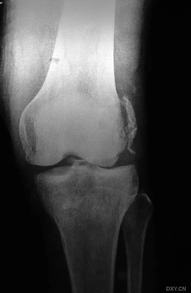
5. Hoffa 骨折
指股骨远端冠状面的骨折。
病例 1:一般股骨髁间、髁上粉碎骨折中含 Hoffa 骨折的不少见,但单纯后髁骨折则很少见。
正位片
侧位片
水平位 CT
第 2 例



第 3 例


6. Pipkin 骨折
股骨头骨折。1957 年,Pipkin G 在文献中对其进行详细的描述并分型,至今仍在很多文献中被采用。
(来源:radiopaedia)
-
Ⅰ型:骨折块在圆韧带的下方;
-
Ⅱ型:骨折块在圆韧带的上方;
-
Ⅲ型:Ⅰ、Ⅱ两型任意一种伴股骨颈骨折;
-
Ⅳ型:Ⅰ、Ⅱ两型任意一种伴髋臼骨折 。

7. 浮膝
特指股骨、胫腓骨同时骨折,膝关节上下无附着而得名。其它浮髋、浮肩与此同理。
(来源:Medscape)
浮膝的 Fraser's 分型(来源:Management of the Floating Knee in Polytrauma Patients. Open Orthop J. 2015 Jul 31;9:347-55.)
8. Segond 骨折和反向 Segond 骨折
(1)Segond 骨折
是发生在胫骨平台外侧的垂直撕脱性骨折。这种骨折在前后位 X 线片上显示最佳。屈曲位时膝关节受到内旋*力暴**作用,导致皮质骨撕脱性骨折,这种骨折常发生在运动员身上。
常引起股骨内髁和胫骨平台后内侧骨挫伤,75%~100% 的患者伴前交叉韧带断裂,33% 的患者伴外侧半月板损伤。
一位足球运动员的 Segond 骨折。A 正位片示关节线下方胫骨外侧皮质撕脱(箭头)。B MRI 冠状位 T1 加权像示附着于髂胫带的骨折碎片(空箭头)(来源:Radiol Clin N Am 53 (2015) 737–755,YU,Ohio)
(2)反向 Segond 骨折
胫骨平台内侧皮质骨撕脱性骨折,被称为内侧 Segond 骨折或反向 Segond 骨折。这种骨折的旋转机制与 Segond 骨折相反,该骨折与后交叉韧带断裂及内侧半月板损伤相关。
一位足球运动员的反向 Segond 骨折。A 正位片示关节线处的胫骨内侧见一细小骨折片(箭头)。B MRI 冠状位 T1 加权像示骨折片出现在内侧副韧带关节囊附着处(方框)(来源:Radiol Clin N Am 53 (2015) 737–755,YU,Ohio)
9. Pellegrini-Stieda 损伤
膝关节内侧副韧带附着处的内侧股骨髁的撕脱性骨折。
(来源:radiopaedia)
10. Gosselin 骨折
胫骨远端的 V 字形骨折,延伸至踝关节。
(来源:RadioGraphics)
11. Bumper 骨折 (保险杆骨折)
是汽车保险杠撞击膝关节外侧,导致的胫骨平台粉碎性骨折,伴有软骨面挫裂和腓骨头骨折。初诊,X 线上正侧位很容易轻忽平台的粉碎性,CT 平扫及重建可明确伤情,MRI 可了解副韧带及叉韧带情况。

足踝部骨折
正常足踝(来源:OrthoInfo-AAOS)
1. 三平面骨折(Triplane fracture )
即累及远端胫骨骨骺的骨折可因骨折线延入其他两个平面而变得复杂,因而称之。骨折由矢状面内的骨骺骨折,经生长板外侧面的轴位面内水平方向骨折,与冠状面内经干骺端到骨干的斜行骨折,自生长板的前侧面伸延至胫骨的后侧皮质。
三平面骨折示意图
图为一 12 岁女孩左踝典型的三平面骨折
三平面骨折 CT 片
三平面骨折 CT 重建
2. Tillaux 骨折
胫骨结节骨折,是足外旋外展时,胫腓前韧带牵拉引起的一种胫骨结节撕脱性骨折。斜位片上可见典型表现。
摔倒后胫骨结节骨折。A 正位片示一细小斜型骨折线(箭头);B 侧位片示正常;C 冠状位 CT 三维成像更清晰地显示了骨折线和骨折块大小(空箭头);D 矢状位 CT 多维重建图像示骨折位置(箭头)(来源:Radiol Clin N Am 53 (2015) 737–755,YU,Ohio)
3. Wagstaffe(Lefort)骨折
指下胫腓前韧带或距腓前韧带在腓骨附着点的撕脱骨折,是外踝前缘的纵形骨折。
Wagstaffe 将其分为 3 种类型:
Ⅰ型:下胫腓前韧带和距腓前韧带附着部位共同撕脱骨折。
Ⅱ型:下胫腓前韧带附着点以下腓骨斜形骨折,伴韧带附着点骨折,系由距骨撞击所致。
Ⅲ型:腓骨斜形骨折同Ⅱ型,同时伴有下胫腓前韧带于胫骨前结节撕脱骨折。

4. Dupuytren 骨折
腓骨远端骨折伴有远端胫腓韧带断裂,以及距骨侧方移位。又称 Pott's 骨折。
Dupuytren 骨折脱位被列为一种少见的 Lauge-Hansen 旋前-外展型损伤,属于三度损伤,即腓骨高位骨折、胫骨下端腓骨切迹部位撕脱骨折、三角韧带断裂同时有下胫腓分离。
一般地,包括内踝撕脱骨折或三角韧带损伤,下胫腓前韧带损伤或下胫腓韧带完全损伤或后踝撕脱骨折,外踝不同水平骨折,腓骨骨折部位高至中上 1/3 水平,此损伤距骨向外移位较大,下胫腓韧带及骨间膜广泛损伤。治疗:可先固定腓骨,用骨栓横行固定下胫腓关节,并同时修补三角韧带。
(来源:
The treatment of dupuytren's fracture-dislocation of the ankle)
(来源:The treatment of dupuytren's fracture-dislocation of the ankle)
5. Maisonneuve 骨折
腓骨近端骨折伴内踝骨折及三角韧带断裂。
(来源:Radiopaedia)
(来源:Radiopaedia)
6. Pilon 骨折
涉及负重关节面(胫距关节面)与胫骨远侧干骺端的骨折。其典型特征是干骺端存在不同程度的压缩、干骺端的压缩粉碎性骨折不稳定、原发性关节软骨损伤以及永久性关节面不平整导致预后不良。
pilon 骨折正位片
pilon 骨折侧位片
pilon 骨折三维 CT 表现
7. Bosworth 骨折
指踝关节骨折脱位,腓骨近端骨折片向后移位交锁于胫骨后面,闭合复位很难成功。踝关节遭受外旋*力暴**,腓骨脱位至胫骨后面,然后再骨折,近端骨片受阻于胫骨后嵴处,由于骨间膜及韧带紧张,腓骨肌腱被拉紧,腓骨近端骨片被牢牢地嵌于后侧,常需手术切开复位。
(来源:Bosworth fracture dislocation of the ankle. Hong Kong Journal of Orthopaedic Surgery 2001;5(2):113-116)
8. Aviator 骨折
飞行员骨折,是距骨颈骨折,在第一次世界大战期间被描述,是一种水平压力造成的骨折。
(来源:Dr. K. Lam Straight Talk: September 2015)
9. Chopart 骨折
骨折或移位累及足的 Chopart 关节。Chopart 关节又称跗横关节或跗中关节,是距舟关节和跟骰关节的统称。
(来源:Radiopaedia)
10. Cotton 骨折
是指伴有双踝及后踝的三踝骨折。
11. Shepherd 骨折
距骨后结节的骨折。
(来源:Talar process or tubercle [Shepherd’s fracture)
12. Cedell 骨折
距骨后内侧结节骨折。

Cedell 骨折的 CT 片 (来源:Fracture of the posterior medial tubercle of the talus :A case report and review of the literature. Acta Orthop. Belg., 2007, 73, 804-806)
13. Lisfranc 骨折
骨折累及到足的跗骨关节。跖跗关节位于足的前部,是构成足纵弓及横弓的重要结构。
第一跖骨与第一楔骨组成鞍状关节,整个跖跗关节的稳定性,有赖于第一跖跗关节的稳定性,一旦第一跖跗关节发生脱位,其他 4 个跖跗关节容易发生脱位。第一跖跗关节的关节囊有背侧和跖侧副韧带增强,其内缘尚有胫前肌腱附着。第一、二跖骨基部无韧带相连,第一楔骨与第二跖骨基部间有坚韧的 Lisfranc 韧带相连,有助于第一跖跗关节的稳定性。第二楔骨较短,第二跖骨位于第一、二楔骨之间成为外力作用的支点。因此第二跖骨基底易发生骨折。
Lisfranc 关节复合体(Lisfranc joint complex)示意图:first metatarsal 第一跖骨;second metatarsal 第二跖骨;Lisfranc joint 利斯弗朗关节;first,second and third cuneiforms 第一,二,三楔骨;cuboid 骰骨



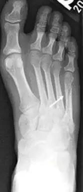
14.第五跖骨骨折
第五跖骨基底部骨折的不同类型:Stress 骨折;Jones 骨折:第五跖骨基底部以远 1 英寸内的骨折称为 Jones 骨折; Avulsion 骨折。

(来源:Radiopaedia)
Stress 骨折(来源:OrthoInfo-AAOS)
Jones 骨折正位片(来源:Radiopaedia)
Jones 骨折斜位片(来源:Radiopaedia)
第五跖骨骨折还有 dancer’s fracture。

dancer’s fracture 正位片(来源:footEducation)
dancer’s fracture 侧位片(来源:footEducation)
脊柱骨折
1. Burst 骨折
椎体轴向压力造成的骨折,通常发生骨折碎片向外侧的移位。可以发生在颈椎、胸椎或腰椎。

(来源:Radiopaedia)
2. Teardrop 骨折
特指颈椎椎体前下方带有骨折块者,包括屈曲型和伸展型。伸展型损伤指椎体前下缘或下一椎体前上角形成三角形骨块,提示椎体前方稳定结果破坏,治疗不宜伸展位。屈曲型指压缩致使椎体前方三角骨块被挤出如泪滴状,提示前后方稳定结构均遭破坏,常伴脊髓损伤。常需手术治疗。
伸展型 Teardrop 骨折(来源:Radiopaedia)
伸展型 Teardrop 骨折(来源:Radiopaedia)
3. Chance 骨折
胸腰段椎体的分离性骨折,伴随脊髓、神经根、椎体的水平方向的崩裂骨折。又称座带骨折(seatbelt fracture)。
由 Chance 于 1948 年首先描述此骨折,故文献又常称 Chance 骨折,为一种屈曲拉伸骨折。典型的损伤机制为汽车座带束于患者腰腹部,当高速行驶的汽车突然减速或撞车时,座带支点以上的躯干屈曲,前冲力还同时产生一个向前拉伸的力量。将椎体由后方向前撕裂,骨折线横过椎体、椎弓根和椎板,椎体后部的韧带完全撕裂。有时前纵韧带亦可撕裂,常合并有神经系统的症状。


(来源:Radiopaedia)
4. Clay-shoveler 骨折
铲土者骨折,是发生在低位颈椎或高位胸椎棘突(C7 或 T1 最多见)的一种撕脱骨折。损伤是由于工人企图向上扔一满铁铲的泥土,但是泥土粘住铁铲,引起一个突然的屈曲力量反作用于颈部引起的损伤,故命名。
图为铲土者骨折(C3~C5)的平片(A)及 CT 扫描(B)(来源:Radiopaedia)
5. Hangman 骨折
绞刑骨折,骨折通过第 2 颈椎椎体(轴位)神经弓。
(来源:Radiopaedia)

6. Jefferson 骨折
寰椎环的压缩性骨折,骨折是由枢椎压缩性外力引起,骨折多发生在寰椎前侧后侧以及侧方小关节。
第一颈椎双侧性前、后弓骨折,X 线片上很难发现骨折线,有时在正位片上看到 C1 关节突双侧性向外移位,侧位片上看到寰椎前后径增宽及椎前软组织肿胀阴影,CT 检查最为清楚,而 MRI 检查智能显示脊髓损伤情况。

A 图是稳定的 Jefferson 骨折(横韧带完整)轴位像。B 图是不稳定的 Jefferson 骨折(横韧带撕裂)轴位像
7. Anderson 骨折
又名齿状突骨折。1 型为齿突尖骨折。是由于翼状韧带及齿突尖韧带牵拉所致。2 型骨折为齿状突腰部的骨折,骨折线一般位于齿突和枢椎椎体交界处。3 型为骨折线下延至枢椎的椎体骨松质。也可延至枢椎侧块。实际上是经枢椎椎体的骨折。

除了之前总结的各个部位的特殊名称骨折,还有部分特殊名称骨折如下:
Greenstick 骨折
儿童的不完全性骨折,伴有骨折的压力侧部分皮质和骨膜的连接。

(来源:Radiopaedia)
Torus 骨折
儿童时期替代完全性骨折而形成的代偿性骨的压缩弯曲性骨折。又称 buckle fractures。

(来 源:Radiopaedia)
10. Robert Gillespie 骨折
该型骨折是由于足背屈时着地引起。胫骨后面裂开则胫骨前缘被压缩,形成向后成角。当拆除石膏后则成角畸形增加到不能接受的程度。预防措施:打管型石膏时足尽量跖屈则可避免。多见于儿童。

儿童骺 Salter-Harris 骨折
随着年轻人越来越多地参加对抗性运动,骨科医生遇到的青少年骨折也日渐频繁。来诊的常常是轮滑爱好者或者在球类竞技受伤。年轻患者骨骼多见「青枝骨折」,这就像嫩树枝可以折而不断。而骨骼生长板(即骺板)还没闭合的孩子,常常会出现骨骺损伤,对此损伤一般国际上通用 Salter Harris 分型。


来源:骨科时间
【版权声明】本平台属公益学习平台,转载系出于传递更多学习信息之目的,且已标明作者和出处,如不希望被传播的老师可与我们联系删除