点击「神经介入在线」可快速关注

刘丽,赤峰市医院神经内科主任、内蒙古医科大学赤峰临床医学院神经内科教研室主任,硕士研究生导师、副教授。中国卒中学会第一届理事会理事,中国卒中学会脑血流与代谢分会委员,中国卒中学会神经介入分会委员,中华预防医学会卒中预防与控制专业委员会介入学组委员,内蒙古医学会神经内科分会第七届委员会常务委员,赤峰市医药卫生学会神经内科专科委员会主任委员。

主
动脉夹层(aortic dissection)指主动脉腔内的血液从主动脉内膜撕裂口进入主动脉中膜,并沿主动脉长轴方向扩展,造成主动脉真假两腔分离的一种病理改变。因通常呈继发瘤样改变,故将其称为主动脉夹层动脉瘤。主动脉夹层的危险因素包括:高血压;先天性因素(Marfan综合征、Ehlers-Danlos综合征、家族性胸主动脉瘤,以及二叶主动脉瓣疾病等);结缔组织异常的遗传性先天性血汗管病;动脉粥样硬化。
主动脉夹层分型

Stanford分型:
-
A型:不论起源,所有累及升主动脉的夹层;包含De Bakey Ⅰ型和Ⅱ型。
-
B型:起源于胸降主动脉且未累及升主动脉;De Bakey Ⅲ型。
临床表现
特点
-
多样性,复杂性,易漏诊,易误诊
-
突发剧烈疼痛
-
血压变化
-
相关系统症状和体征
疼痛
约90%的急性主动脉夹层患者以突发前胸或胸背部持续性、撕裂样或刀割样剧痛起病。需要关注发生夹层动脉瘤而无疼痛的病例,疼痛部位与病变位置有关。Gaul等研究显示,仅2/3的患者出现典型的胸痛,94%患者出现疼痛症状而不伴有神经系统表现[2]。
血压变化
-主动脉夹层约95%以上合并高血压。
-两上肢或上下肢血压相差较大。
-低血压:心包填塞、血胸或冠状动脉供血受阻引起的心肌梗死。
-休克:夹层瘤破入胸膜腔大量内出血。
血汗管系统
主动脉瓣关闭不全和心力衰竭
急性心肌梗死
心脏压塞
神经系统表现
-
神经系统缺血症状:
1.主动脉夹层患者神经系统并发症的发病率在15%~40%,其中50%为一过性。
2.夹层累及颈动脉、无名动脉造成动脉缺血所致,患者可有头晕、一过性晕厥、精神失常,甚至发生缺血性脑卒中。
3.压迫颈交感神经节常出现Horner综合征。
4.压迫左侧喉返神经出现声音嘶哑。
5.向下延伸至第2腰椎水平,可累及脊髓前动脉,出现截瘫、大小便*禁失**。
-
神经系统症状为首发临床表现的Stanford A型主动脉夹层患者约为29%,其中包括缺血性卒中(1%)、脊髓缺血(1%)、缺血性神经病(11%)、晕厥(6%)、强直一阵挛性癫痫发作(3%)、缺氧性脑病(2%),另外可出现类似于短暂性全面性遗忘等。
-
疾病的总死亡率为23%,死亡率在伴有和不伴神经系统损害的患者中无明显差异。
-
国内学者研究发现主动脉夹层合并神经系统损害的发病率为30.7%。其中12.0%的患者以神经系统症状为首发。合并神经系统损害者病死率为36.4%,远高于不合并神经系统损害者。
其他系统临床表现
-
四肢缺血症状:累及腹主动脉或髂总动脉;脉搏减弱、消失,肢体发凉和发绀。
-
内脏缺血:肾动脉供血受累,血尿、少尿,肾功能异常;肠系膜上动脉受累,肠坏死,出血;肝动脉闭塞,黄疸及血清氨基酸转移酶升高。
-
夹层动脉瘤破裂:破入左侧胸膜腔引起胸腔积液;破入食管、气管内或腹腔,出现休克及呕血、咳血等症状及相应体征。

诊断
-
病史:急起胸背部撕裂样剧痛,伴有虚脱表现但血压下降不明显甚至增高,脉搏速弱甚至消失或两侧肢体动脉血压明显不等,突然出现主动脉瓣关闭不全或心脏压塞体征,急腹症或神经系统障碍,肾功能急剧减退伴血管阻塞。
-
辅助检查
-实验室检查:血常规、ESR、心肌酶、血清淀粉酶、BUN、Cr等。

-心电图:非特异性ST-T改变、左心室肥厚表现、急性心肌缺血甚至心肌梗死心电图改变。
-超声、CT、MRI、DSA
-CTA目前最常用的术前影像学评估方法,其敏感性达90%以上,特异性接近100%。其主要缺点是造影剂产生的副作用和主动脉搏动产生的伪影干扰。
治疗
即刻处理:
-
监测血流动力学指标。
-
绝对卧床,强效镇静与镇痛。
治疗原则:
-
急性期患者无论是否采取介入或手术治疗均应先给予强化的内科药物治疗。
-
升主动脉夹层,特别是波及主动脉瓣或心包内有渗液,宜行急诊外科手术。
-
降主动脉夹层急性期病情进展迅速,病变局部血管直径≥5cm或有血管并发症者,应争取介入治疗置入支架。夹层范围不大无特殊血管并发症时,可试行内科药物保守治疗,若一周不缓解或发生特殊并发症,应立即行介入或手术治疗。
药物治疗:
-
降压:迅速将收缩压降至<100~120mmHg,静滴硝普钠。
-
β受体拮抗剂:减慢心率至60~70次/分,静脉给药。
介入治疗
外科手术治疗
病例一
患者:男性,46岁,主诉“突发右侧肢体麻木无力、言语不清2h”,于2014年12月15日22时入院。
现病史:患者于入院前2h前无明显诱因出现右侧肢体麻木、活动不灵,后逐渐出现言语不清,病程中无意识障碍、抽搐,无头痛、恶心、呕吐,无饮水呛咳、吞咽困难,无头晕、视物旋转,无胸闷气短。
既往史:高血压病史10年,最高160/100mmHg,目前规律口服降压药物,血压未监测。脑出血病史4年,未遗留后遗症状。无糖尿病、心脏病病史,无手术外伤史。
入院查体:T为36.5℃,P为64次/分,R为18次/分,BP为94/47mmHg。意识清醒,言语欠清晰,双侧瞳孔等大等圆,直径约3.0mm,光反应灵敏,眼球各方向运动充分,眼震(-),双侧鼻唇沟基本对称,伸舌基本居中,咽反射查体不合作,颈软,四肢肌力5级,肌张力正常,腱反射对称(++),右侧巴宾斯基征(±),右下肢针刺觉减退,颈部血管听诊未闻及血管杂音,心肺听诊大致正常。
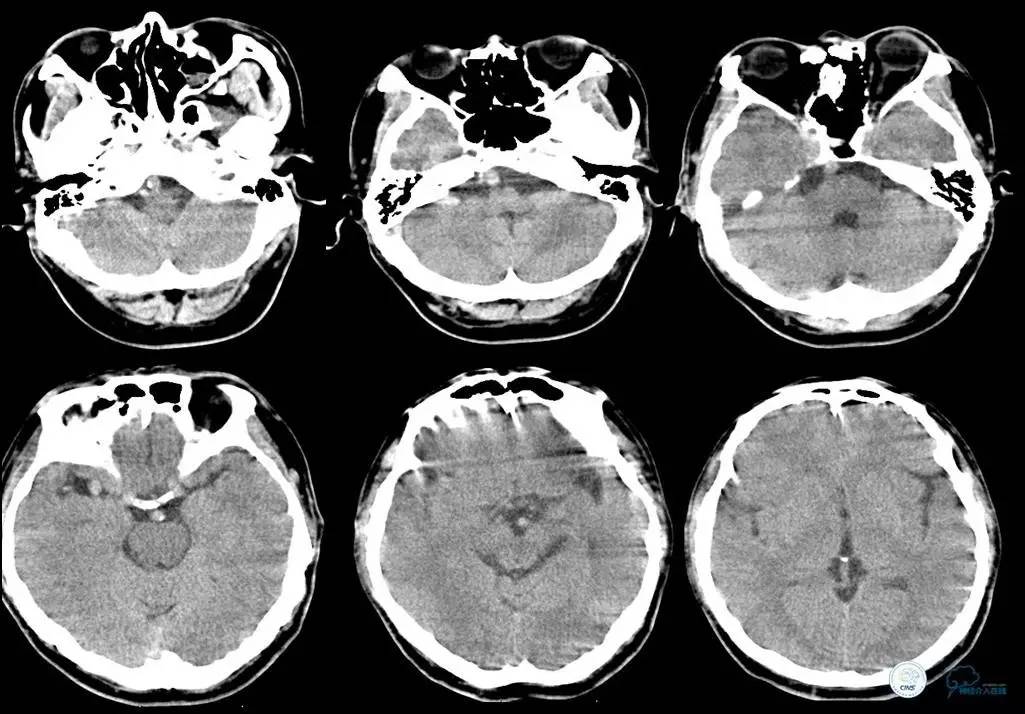
辅助检查:
▼头CT


▼心电图:窦性心律,T波异常,心肌缺血改变。

血常规:白细胞为16.45×109/L,中性粒细胞为84.99%。
离子:钾为3.21mmol/L,镁为1.13mmol/L。
血糖:12.3mmol/L。
心肌酶:乳酸脱氢酶为187IU/L,肌钙蛋白、肌红蛋白、CK、CK-MB均正常。
凝血四项:凝血酶原时间为15.3s,活化部分凝血酶原时间为43.0s。
-
2014年12月15日22时50分
患者言语不清、右侧肢体麻木无力等症状缓解,但四肢末端厥冷。心电监护示,SPO2为99%,P为65次/分,R为18次/分,BP为103/60mmHg。T为35.5℃。
初步诊断为短暂性脑缺血发作。追问患者家属病史,入院前曾有大汗,未进食,低血容量性休克不除外。补液纠正休克。
-
2014年12月16日00时20分
患者精神差,全身不适,右肩背部疼痛,呕吐3次,呕吐物为胃内容物,排便2次,无黑便,四肢末端冰冷较前缓解。心电监护示,SPO2为93%,P为62次/分,R为18次/分,BP为101/55mmHg。T为36.2℃。急查心肌酶示CK、CK-MB正常。
-
2014年12月16日05时
患者上腹部背部疼痛剧烈,予氯诺西康肌注。便血2次,鲜红色,量约30ml。心电监护示,SPO2为98%,P为67次/分,R为18次/分,BP为125/66mmHg。肝功能示,总蛋白为53g/L。肾功能示,尿素氮为10.6mmol/L,肌酐为170umol/L。血淀粉酶为113U/L。血常规示,血红蛋白为145.8g/L,中性粒细胞为14.33×109/L,白细胞为15.43×109/L,红细胞为4.42×1012/L。腹部超声示,胆囊结石。
肝胆外科会诊:急性胆囊炎可能性不大。
消化科会诊:考虑急性消化道出血,建议禁食水,暂口服凝血酶止血,予奥美拉唑抑酸。
-
2014年12月16日06时
上级医师急诊查房:神经系统查体同前,四肢血压偏低,85/55mmHg。
诊断:主动脉夹层?
意见:急查主动脉CT。
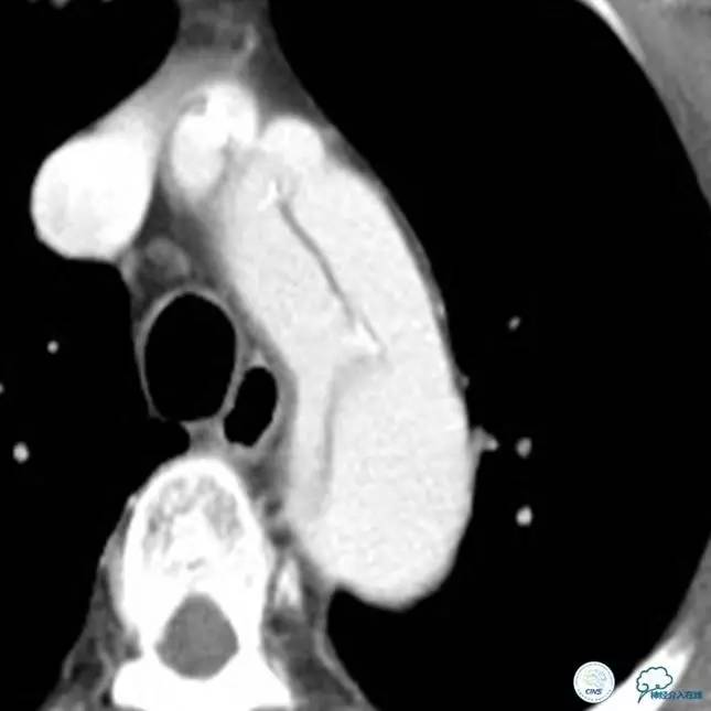
▼主动脉全程CT


诊断:
主动脉夹层 DeBakey Ⅰ型
短暂性脑缺血发作
急性心肌缺血
急性肾功能不全
急性肠系膜动脉缺血
处理意见:
继续监测血流动力学指标
绝对卧床、强效镇静与镇痛
急请血管外科会诊
病例二
患者:男性,70岁,主诉“胸闷、胸痛19h,言语不能、右侧肢体活动不灵3h”,于2015年10月06日入院。
现病史:患者于19h前出现胸闷、胸痛,持续不缓解,就诊于当地医院排除心肌梗死,患者胸痛时间较长,当地医院完善D-二聚体高(12.5),考虑肺栓塞,主动脉夹层不除外。于3h前出现言语不能,右侧肢体活动不灵,症状持续不缓解,无意识障碍、抽搐。
既往史:否认高血压、糖尿病、心脏病病史,否认手术外伤史。
入院查体:T为36.5℃,P为56次/分,R18次/分,右侧上肢BP为122/59mmHg(左侧未测)。意识清楚,运动性失语,查体欠合作。双侧瞳孔等大等圆,直径约3.0mm,对光反射灵敏,颈动脉听诊区未闻及杂音,心脏听诊可闻及杂音,肺部及腹部查体未见明显异常。右侧肢体肌力0级,右侧病理征(+)。
辅助检查:头CT未见异常。
初步诊断:
脑梗死——右颈内动脉系统
胸闷、胸痛待查,主动脉夹层?
治疗原则:急查主动脉CT。
▼主动脉全程CT


中间诊断:
主动脉夹层 De Bakey Ⅰ型
脑梗死
治疗原则:
继续监测血流动力学指标
绝对卧床、控制血压、强效镇静与镇痛
急请血管外科会诊
经验教训
1.若遇胸痛或胸痛不典型合并神经系统症状体征的患者,其临床症状体征不符合脑卒中的发展规律或单凭缺血性卒中无法解释时,要进行全面的体格检查以寻找线索,包括双侧血压测量、心音听诊、脉搏触诊、颈部杂音听诊等,并及时进行影像学诊断或排除主动脉夹层。
以下情况要高度警惕:
1)神经系统症状合并背痛、胸痛、腹痛。
2)神经系统症状合并尤其不明原因低血压!!
3)神经系统症状合并急性心肌缺血、下消化道出血、急性肾功能损害、急性肝功能异常等。
2.溶栓治疗:由于主动脉夹层急性起病,患者到院时间较短,若出现神经系统定位体征时,如进行溶栓治疗,可能会出现灾难性后果。
3.如有其他可疑主动脉夹层表现,一定先排除。
目前主动脉夹层相关指南未明确对这类患者是否进行溶栓治疗,国内外文献仅有少量主动脉夹层患者进行溶栓治疗的病例报道,但总病死率高达71%。在2007年重组组织型纤溶酶原激活剂(rt-PA)的研究中发现,有10例主动脉夹层患者使用rt-PA溶栓后死亡。
这提示主动脉夹层患者溶栓后具有较高的病死率,也进一步提示更为全面的溶栓前评估尤为重要,尤其要加强主动脉弓的评估。
作者:刘丽 安翼 赤峰市医院神经内科
【参考文献】
[1]Reul Gj, Cooley DA, Hallman GL, et al. Dissectinganeurysm of the descending aorta.Improved surgical results in 91 patients.ArchSurg, 1975,110:632-640.
[2]Gaul C, Dietrich W, Friedrich I, et al, Neurologicalsymptoms in type A aortic dissections[J]. Stroke, 2007, 38: 292-297.
[3]2014 ESC Guidelines on the diagnosis andtreatment of aortic diseases.
[4]Gaul C, Dietrich W, Friedrich I, et al. Neurologicalsymptoms in type A aortic sections[J]. Stroke, 2007, 38:292-297.

编辑 黄越
欢迎广大医生积极投稿,分享经典病例。
投稿邮箱:[email protected]